Suppr超能文献

感染小鼠中叶片甲醇提取物及其溶剂萃取物的抗疟活性

Antimalarial Activity of Methanolic Extracts and Solvent Fractions of Leaves in Infected Mice.

作者信息

Adigo Shibeshi Melkamu, Fentahun Enyew Engdaw, Mequanint Adinew Getnet, Jemere Aragaw Tezera

机构信息

Awi Zone Health Department, Awi Zone, Injibara, Ethiopia.

Department of Human Anatomy, College of Medicine and Health Sciences, University of Gondar, Gondar, Ethiopia.

出版信息

J Exp Pharmacol. 2021 Feb 5;13:69-89. doi: 10.2147/JEP.S285117. eCollection 2021.

Abstract

BACKGROUND

Malaria is an infectious disease-causing mortality and morbidity in children and adults. Our study planned to measure the antimalarial activity of extract in vivo assays against in Swiss albino mice.

METHODS

was inoculated to healthy mice and methanolic crude extract and solvent fractions of at 100, 200, and 400mg/kg/day were administered. Percent parasitemia inhibition, percent change in weight, temperature, packed cell volume, and mean survival time were determined. Data were analyzed using one-way ANOVA followed by the post hoc Tukey HSD test with SPSS software version 24.0 and P < 0.05 considered as statistically significant.

RESULTS

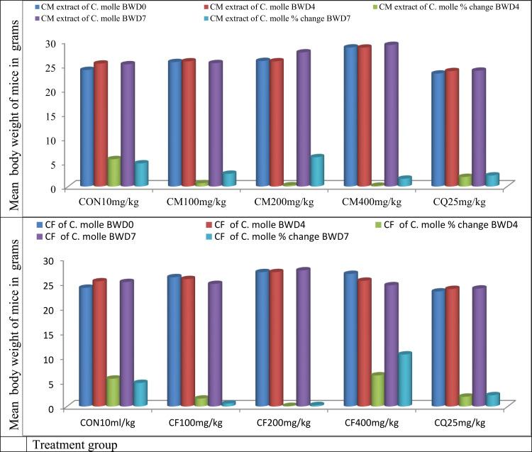
Chemosuppresive effect exerted by the methanolic crude extract ranged between 27 and 68%, chloroform fraction 52.93-67.73%, hexane fraction 23.61-44.97%, and aqueous fraction 29.48-51.13%. The curative effect of the crude extract was within the range of 25-49%, chloroform fraction 42.78-69.22%, and prophylactic effect of the crude extract was within the range of 51-76.2%% and chloroform fraction 46.57-71.96%. The utmost effect in all tests on chemosuppresive, curative, prophylactic, prevention of weight loss, temperature and packed cell volume, and an increase in mean survival time was observed at higher doses of the crude extract.

CONCLUSION

From this study, it will be concluded that crude extract of leaves has been shown promising antimalarial activity. The findings of this study may support the normal use of leaf as a part of the plant for malaria treatment.

摘要

背景

疟疾是一种在儿童和成人中导致死亡和发病的传染病。我们的研究计划在瑞士白化小鼠体内试验中测量提取物的抗疟活性。

方法

将其接种到健康小鼠体内,并给予100、200和400mg/kg/天的甲醇粗提物和溶剂部分。测定疟原虫血症抑制百分比、体重、体温、红细胞压积的变化百分比以及平均存活时间。使用单因素方差分析,随后用SPSS 24.0软件进行事后Tukey HSD检验进行数据分析,P<0.05被认为具有统计学意义。

结果

甲醇粗提物的化学抑制作用范围为27%至68%,氯仿部分为52.93%至67.73%,己烷部分为23.61%至44.97%,水部分为29.48%至51.13%。粗提物的治疗效果在25%至49%范围内,氯仿部分为42.78%至69.22%,粗提物的预防效果在51%至76.2%范围内,氯仿部分为46.57%至71.96%。在较高剂量的粗提物下,观察到在所有化学抑制、治疗、预防、防止体重减轻、体温和红细胞压积以及平均存活时间增加的测试中效果最佳。

结论

从这项研究可以得出结论,叶的粗提物已显示出有前景的抗疟活性。本研究结果可能支持将叶作为植物的一部分正常用于疟疾治疗。

https://cdn.ncbi.nlm.nih.gov/pmc/blobs/8227/7872902/eda695fbca9f/JEP-13-69-g0001.jpg

文献AI研究员

20分钟写一篇综述,助力文献阅读效率提升50倍。

立即体验

用中文搜PubMed

大模型驱动的PubMed中文搜索引擎

马上搜索

文档翻译

学术文献翻译模型,支持多种主流文档格式。

立即体验