Suppr超能文献

口腔移植物抗宿主病:影像学评价及口腔医生指导。

Oral Graft-Versus-Host Disease: A Pictorial Review and a Guide for Dental Practitioners.

机构信息

Division of Oral Medicine, Eastman Institute for Oral Health, University of Rochester Medical Center, Rochester, NY, USA.

Department of Hematology and Oncology, Wilmot Cancer Institute, University of Rochester Medical Center, Rochester, NY, USA.

出版信息

Int Dent J. 2021 Feb;71(1):9-20. doi: 10.1111/idj.12584. Epub 2021 Jan 12.

Abstract

INTRODUCTION

Graft-versus-host disease (GVHD) is a complication of haematopoietic stem cell transplantation (HSCT). GVHD may also develop following solid transplants or blood transfusions if white blood cells are transferred. GVHD affects multiple organs, including the oral tissues.

OBJECTIVE

This pictorial review provides a background of GVHD to dental practitioners, describes the most common oral manifestations of GVHD and highlights the main treatment modifications needed to deliver dental care to patients with GVHD.

METHODS

A narrative review enhanced with clinical photographs.

RESULTS

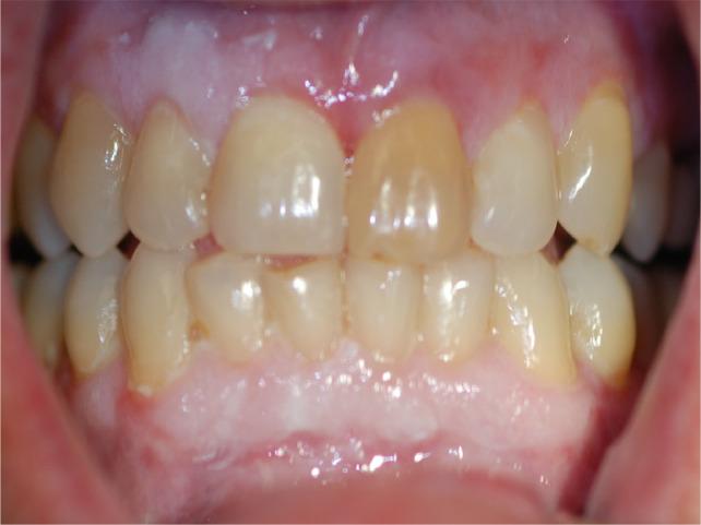
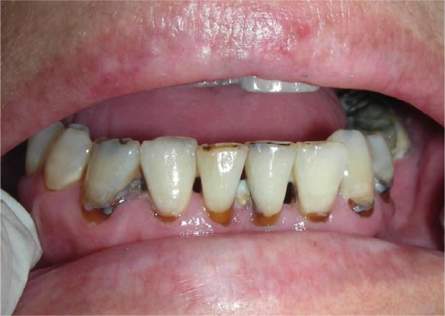
Acute GVHD may manifest in the oral mucosa; however, it often develops immediately following HSCT when routine dental treatment is postponed. Chronic GVHD may manifest in the oral mucosa, the salivary glands and the musculoskeletal compartment. It may indirectly affect the teeth and the oral flora, putting the patient at risk for infections. Importantly, GVHD poses an increased risk for oral cancer.

CONCLUSION

GVHD has a wide range of oral manifestations, some of which may affect dental treatment.

摘要

简介

移植物抗宿主病(GVHD)是造血干细胞移植(HSCT)的一种并发症。如果白细胞被转移,GVHD 也可能在实体器官移植或输血后发生。GVHD 影响多个器官,包括口腔组织。

目的

本图片综述为牙科医生提供 GVHD 的背景知识,描述 GVHD 最常见的口腔表现,并强调为 GVHD 患者提供口腔护理所需的主要治疗修改。

方法

通过临床照片增强的叙述性综述。

结果

急性 GVHD 可能在口腔黏膜中表现出来;然而,它通常在 HSCT 后立即发生,此时常规的牙科治疗被推迟。慢性 GVHD 可能在口腔黏膜、唾液腺和肌肉骨骼部位表现出来。它可能会间接影响牙齿和口腔菌群,使患者面临感染的风险。重要的是,GVHD 增加了口腔癌的风险。

结论

GVHD 有广泛的口腔表现,其中一些可能会影响牙科治疗。

https://cdn.ncbi.nlm.nih.gov/pmc/blobs/ca4e/9275209/77fa81bdf8c5/gr1.jpg

文献AI研究员

20分钟写一篇综述,助力文献阅读效率提升50倍。

立即体验

用中文搜PubMed

大模型驱动的PubMed中文搜索引擎

马上搜索

文档翻译

学术文献翻译模型,支持多种主流文档格式。

立即体验