Suppr超能文献

用人抗体对两种与非洲爪蟾转录因子TFIIIA相关的海拉细胞蛋白进行表征。

Characterization by human antibodies of two HeLa cell proteins which are related to Xenopus laevis transcription factor TFIIIA.

作者信息

Lagaye S, Barque J P, le Maire M, Denis H, Larsen C J

机构信息

U-301 INSERM, Centre Hayem, Hôpital Saint-Louis, Paris, France.

出版信息

Nucleic Acids Res. 1988 Mar 25;16(6):2473-87. doi: 10.1093/nar/16.6.2473.

Abstract

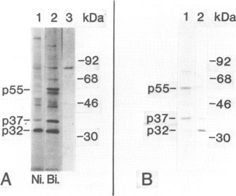
The sera of two patients with autoimmune disorders recognize in HeLa cell extracts two proteins with apparent molecular masses of 37,000 (p37) daltons and 32,000 daltons (p32). These proteins are non covalently associated with 5S RNA and sediment as 7-10 S particles in sucrose density gradients. Both proteins are antigenetically related to TFIIIA, a previously described protein of Xenopus laevis, which is known as a 5S RNA transcription factor and occurs in oocytes as a noncovalent complex with 5S RNA. Like TFIIIA, HeLa cell proteins p37 binds in vitro to 5S RNA and to cloned 5S RNA genes. These results suggest that protein p37 fulfils in HeLa cells a function similar to that of TFIIIA in amphibian oocytes, ie control of 5S RNA transcription.

摘要

两名自身免疫性疾病患者的血清在HeLa细胞提取物中识别出两种表观分子量分别为37,000道尔顿(p37)和32,000道尔顿(p32)的蛋白质。这些蛋白质与5S RNA非共价结合,并在蔗糖密度梯度中以7 - 10 S颗粒形式沉降。这两种蛋白质在抗原性上与非洲爪蟾中先前描述的TFIIIA相关,TFIIIA是一种已知的5S RNA转录因子,在卵母细胞中作为与5S RNA的非共价复合物存在。与TFIIIA一样,HeLa细胞蛋白p37在体外与5S RNA和克隆的5S RNA基因结合。这些结果表明,蛋白质p37在HeLa细胞中发挥的功能类似于两栖类卵母细胞中TFIIIA的功能,即控制5S RNA转录。

https://cdn.ncbi.nlm.nih.gov/pmc/blobs/d3ec/336384/f5b6c47b9bff/nar00149-0118-a.jpg

文献检索

告别复杂PubMed语法,用中文像聊天一样搜索,搜遍4000万医学文献。AI智能推荐,让科研检索更轻松。

立即免费搜索

文件翻译

保留排版,准确专业,支持PDF/Word/PPT等文件格式,支持 12+语言互译。

免费翻译文档

深度研究

AI帮你快速写综述,25分钟生成高质量综述,智能提取关键信息,辅助科研写作。

立即免费体验