• 文献检索
  • 文档翻译
  • 深度研究
  • 学术资讯
  • Suppr Zotero 插件Zotero 插件
  • 邀请有礼
  • 套餐&价格
  • 历史记录
应用&插件
Suppr Zotero 插件Zotero 插件浏览器插件Mac 客户端Windows 客户端微信小程序
定价
高级版会员购买积分包购买API积分包
服务
文献检索文档翻译深度研究API 文档MCP 服务
关于我们
关于 Suppr公司介绍联系我们用户协议隐私条款
关注我们

Suppr 超能文献

核心技术专利:CN118964589B侵权必究
粤ICP备2023148730 号-1Suppr @ 2026

文献检索

告别复杂PubMed语法,用中文像聊天一样搜索,搜遍4000万医学文献。AI智能推荐,让科研检索更轻松。

立即免费搜索

文件翻译

保留排版,准确专业,支持PDF/Word/PPT等文件格式,支持 12+语言互译。

免费翻译文档

深度研究

AI帮你快速写综述,25分钟生成高质量综述,智能提取关键信息,辅助科研写作。

立即免费体验

中国患者胃肠胰混合性神经内分泌-非神经内分泌肿瘤的临床病理特征及预后因素

Clinicopathological features and prognostic factors associated with gastroenteropancreatic mixed neuroendocrine non-neuroendocrine neoplasms in Chinese patients.

作者信息

Huang Yu-Chen, Yang Ning-Ning, Chen Hong-Chun, Huang Yuan-Li, Yan Wen-Tian, Yang Ru-Xue, Li Nan, Zhang Shan, Yang Pan-Pan, Feng Zhen-Zhong

机构信息

Department of Pathology, The First Affiliated Hospital of Bengbu Medical College, Bengbu 233000, Anhui Province, China.

Department of Pathology, The First Affiliated Hospital of Anhui Medical University, Hefei 230000, Anhui Province, China.

出版信息

World J Gastroenterol. 2021 Feb 21;27(7):624-640. doi: 10.3748/wjg.v27.i7.624.

DOI:10.3748/wjg.v27.i7.624
PMID:33642833
原文链接:https://pmc.ncbi.nlm.nih.gov/articles/PMC7901054/
Abstract

BACKGROUND

The incidence of mixed neuroendocrine-non-neuroendocrine neoplasms (MiNEN) is low. To improve our understanding of this rare tumor type and optimally guide clinical treatment, associated risk factors, clinical manifestations, and prognosis must be explored.

AIM

To identify risk factors that influence the prognosis of patients with gastroenteropancreatic MiNEN (GEP-MiNEN).

METHODS

We retrospectively analyzed the clinical data of 46 patients who were diagnosed with GEP-MiNEN at the First Affiliated Hospital of Bengbu Medical College (Anhui, China) between January 2013 and December 2017. Risk factors influencing the prognosis of the patients were assessed using Kaplan-Meier curves and cox regression models. We compared the results with 55 randomly selected patients with gastroenteropancreatic GEP neuroendocrine tumors, 47 with neuroendocrine carcinomas (NEC), and 58 with poorly differentiated adenocarcinoma.

RESULTS

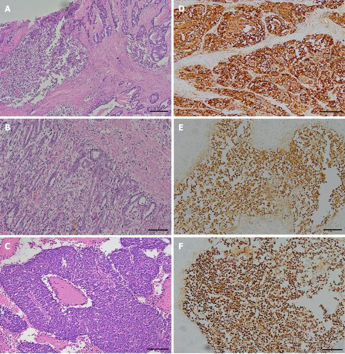
Among the 46 patients with GEP-MiNEN, thirty-five had gastric tumors, nine had intestinal tumors (four in the small intestine and five in the colon and rectum), and two had pancreatic tumors. The median age of the patients was 66 (41-84) years, and the male-to-female ratio was 2.83. Thirty-three (71.7%) patients had clinical stage III and IV cancers. Distant metastasis occurred in 14 patients, of which 13 had metastasis to the liver. The follow-up period was 11-72 mo, and the median overall survival was 30 mo. Ki-67 index ≥ 50%, high proportion of NEC, lymph node involvement, distant metastasis, and higher clinical stage were independent risk factors affecting the prognosis of patients with GEP-MiNEN. The median overall survival was shorter for patients with NEC than for those with MiNEN (14 mo 30 mo, = 0.001), but did not significantly differ from those with poorly differentiated adenocarcinoma and MiNEN (30 mo 18 mo, = 0.453).

CONCLUSION

A poor prognosis is associated with rare, aggressive GEP-MiNEN. Ki-67 index, tumor composition, lymph node involvement, distant metastasis, and clinical stage are important factors for patient prognosis.

摘要

背景

混合性神经内分泌-非神经内分泌肿瘤(MiNEN)的发病率较低。为了增进我们对这种罕见肿瘤类型的了解并优化临床治疗指导,必须探索相关危险因素、临床表现和预后情况。

目的

确定影响胃肠胰MiNEN(GEP-MiNEN)患者预后的危险因素。

方法

我们回顾性分析了2013年1月至2017年12月期间在蚌埠医学院第一附属医院(中国安徽)被诊断为GEP-MiNEN的46例患者的临床资料。使用Kaplan-Meier曲线和Cox回归模型评估影响患者预后的危险因素。我们将结果与55例随机选择的胃肠胰GEP神经内分泌肿瘤患者、47例神经内分泌癌(NEC)患者和58例低分化腺癌患者进行了比较。

结果

在46例GEP-MiNEN患者中,35例有胃部肿瘤,9例有肠道肿瘤(4例在小肠,5例在结肠和直肠),2例有胰腺肿瘤。患者的中位年龄为66(41-84)岁,男女比例为2.83。33例(71.7%)患者患有临床III期和IV期癌症。14例患者发生远处转移,其中13例转移至肝脏。随访时间为11-72个月,中位总生存期为30个月。Ki-67指数≥50%、NEC比例高、淋巴结受累、远处转移和更高的临床分期是影响GEP-MiNEN患者预后的独立危险因素。NEC患者的中位总生存期短于MiNEN患者(14个月对30个月,P = 0.001),但与低分化腺癌和MiNEN患者相比无显著差异(30个月对18个月,P = 0.453)。

结论

罕见的侵袭性GEP-MiNEN预后不良。Ki-67指数、肿瘤组成、淋巴结受累、远处转移和临床分期是影响患者预后的重要因素。

https://cdn.ncbi.nlm.nih.gov/pmc/blobs/79c4/7901054/14b0c971f08a/WJG-27-624-g002.jpg
https://cdn.ncbi.nlm.nih.gov/pmc/blobs/79c4/7901054/f1d4d6720771/WJG-27-624-g001.jpg
https://cdn.ncbi.nlm.nih.gov/pmc/blobs/79c4/7901054/14b0c971f08a/WJG-27-624-g002.jpg
https://cdn.ncbi.nlm.nih.gov/pmc/blobs/79c4/7901054/f1d4d6720771/WJG-27-624-g001.jpg
https://cdn.ncbi.nlm.nih.gov/pmc/blobs/79c4/7901054/14b0c971f08a/WJG-27-624-g002.jpg

相似文献

1
Clinicopathological features and prognostic factors associated with gastroenteropancreatic mixed neuroendocrine non-neuroendocrine neoplasms in Chinese patients.中国患者胃肠胰混合性神经内分泌-非神经内分泌肿瘤的临床病理特征及预后因素
World J Gastroenterol. 2021 Feb 21;27(7):624-640. doi: 10.3748/wjg.v27.i7.624.
2
Retrospective study on mixed neuroendocrine non-neuroendocrine neoplasms from five European centres.五个欧洲中心的混合神经内分泌-非神经内分泌肿瘤的回顾性研究。
World J Gastroenterol. 2019 Oct 21;25(39):5991-6005. doi: 10.3748/wjg.v25.i39.5991.
3
Clinicopathological features and prognosis of gastroenteropancreatic neuroendocrine neoplasms in a Chinese population: a large, retrospective single-centre study.中国人群胃肠胰神经内分泌肿瘤的临床病理特征及预后:一项大型回顾性单中心研究
BMC Endocr Disord. 2017 Jul 13;17(1):39. doi: 10.1186/s12902-017-0190-6.
4
[Analysis of clinicopathological characteristics, therapeutic strategy and prognosis of 501 patients with gastric neuroendocrine neoplasms attending a single center].[单中心501例胃神经内分泌肿瘤患者的临床病理特征、治疗策略及预后分析]
Zhonghua Wei Chang Wai Ke Za Zhi. 2023 May 25;26(5):459-466. doi: 10.3760/cma.j.cn441530-20220512-00212.
5
Clinical, pathological and prognostic characteristics of gastroenteropancreatic neuroendocrine neoplasms in China: a retrospective study.中国胃肠胰神经内分泌肿瘤的临床、病理及预后特征:一项回顾性研究
BMC Endocr Disord. 2014 Jul 8;14:54. doi: 10.1186/1472-6823-14-54.
6
Clinicopathologic characteristics and prognosis of gastroenteropancreatic neuroendocrine neoplasms: a multicenter study in South China.胃肠胰神经内分泌肿瘤的临床病理特征与预后:一项中国南方的多中心研究
Chin J Cancer. 2017 Jun 21;36(1):51. doi: 10.1186/s40880-017-0218-3.
7
Surgery of the primary tumour in 201 patients with high-grade gastroenteropancreatic neuroendocrine and mixed neuroendocrine-non-neuroendocrine neoplasms.201 例高级胃肠胰神经内分泌和混合神经内分泌-非神经内分泌肿瘤患者的原发肿瘤手术治疗。
J Neuroendocrinol. 2021 May;33(5):e12967. doi: 10.1111/jne.12967. Epub 2021 Mar 26.
8
Gastroenteropancreatic neuroendocrine carcinoma in children and adolescents: a population-based study.儿童和青少年胃肠胰神经内分泌癌:一项基于人群的研究。
J Cancer Res Clin Oncol. 2024 Jan 2;150(1):4. doi: 10.1007/s00432-023-05568-3.
9
Gastroenteropancreatic neuroendocrine neoplasms: a 10-year experience of a single center.胃肠胰神经内分泌肿瘤:单中心10年经验
Pol Arch Med Wewn. 2015;125(5):337-46. doi: 10.20452/pamw.2832. Epub 2015 Apr 29.
10
[Clinicopathological features and multivariate analysis of prognostic factors for patients with gastroenteropancreatic neuroendocrine tumors].胃肠胰神经内分泌肿瘤患者的临床病理特征及预后因素的多因素分析
Zhonghua Yi Xue Za Zhi. 2013 May 14;93(18):1411-4.

引用本文的文献

1
Long-term survival after chemotherapy combined immunotherapy for recurrent mixed neuroendocrine-non-neuroendocrine neoplasms of the common bile duct.化疗联合免疫疗法治疗胆总管复发性混合性神经内分泌-非神经内分泌肿瘤后的长期生存情况。
Clin J Gastroenterol. 2025 Apr 17. doi: 10.1007/s12328-025-02128-9.
2
Mixed neuroendocrine-non-neuroendocrine neoplasms (MiNEN) in the non-ampullary region of the duodenum: a case report.十二指肠非壶腹区域的混合性神经内分泌-非神经内分泌肿瘤(MiNEN):一例报告
J Surg Case Rep. 2025 Apr 5;2025(4):rjaf189. doi: 10.1093/jscr/rjaf189. eCollection 2025 Apr.
3
Survival and Metastatic Lymph Node Patterns in Gastric Carcinoma with Exocrine and Neuroendocrine Components.

本文引用的文献

1
Does Mixed Neuroendocrine-Nonneuroendocrine Neoplasm (MiNEN) of the Parathyroid Gland Exist? First Description of a Possible Case.甲状旁腺混合神经内分泌-非神经内分泌肿瘤(MiNEN)是否存在?首例疑似病例的描述。
Head Neck Pathol. 2021 Mar;15(1):381-387. doi: 10.1007/s12105-020-01178-4. Epub 2020 Jun 6.
2
Chromosomal and molecular pathway alterations in the neuroendocrine carcinoma and adenocarcinoma components of gastric mixed neuroendocrine-nonneuroendocrine neoplasm.胃混合性神经内分泌-非神经内分泌肿瘤中神经内分泌癌和腺癌成分的染色体和分子通路改变。
Mod Pathol. 2020 Dec;33(12):2602-2613. doi: 10.1038/s41379-020-0579-z. Epub 2020 May 27.
3
具有外分泌和神经内分泌成分的胃癌的生存及转移性淋巴结模式
Ann Surg Oncol. 2025 Jun;32(6):4292-4303. doi: 10.1245/s10434-024-16848-8. Epub 2025 Mar 25.
4
Development of a Nomogram-Based Online Calculator for Predicting Cancer-Specific Survival in Patients With Digestive Tract Mixed Neuroendocrine-Non-Neuroendocrine Neoplasms (MiNENs): An Analysis of the SEER Database.基于列线图的在线计算器的开发,用于预测消化道混合性神经内分泌-非神经内分泌肿瘤(MiNENs)患者的癌症特异性生存率:监测、流行病学和最终结果(SEER)数据库分析
Cancer Rep (Hoboken). 2025 Feb;8(2):e70156. doi: 10.1002/cnr2.70156.
5
Characterizing esophageal mixed neuroendocrine-non-neuroendocrine neoplasms: insights from a retrospective multicenter study of clinical outcomes and prognostic indicators.食管混合性神经内分泌-非神经内分泌肿瘤的特征:一项关于临床结局和预后指标的回顾性多中心研究的见解
Ther Adv Med Oncol. 2024 Dec 7;16:17588359241303066. doi: 10.1177/17588359241303066. eCollection 2024.
6
Mixed neuroendocrine and adenocarcinoma of gastrointestinal tract: A complex diagnosis and therapeutic challenge.胃肠道神经内分泌与腺癌混合型肿瘤:复杂的诊断与治疗挑战
World J Gastrointest Oncol. 2024 Jun 15;16(6):2295-2299. doi: 10.4251/wjgo.v16.i6.2295.
7
Gastric mixed neuroendocrine non-neuroendocrine neoplasms.胃混合性神经内分泌-非神经内分泌肿瘤
Front Oncol. 2024 Apr 8;14:1335760. doi: 10.3389/fonc.2024.1335760. eCollection 2024.
8
Clinicopathological characteristics of gastric neuroendocrine neoplasms: A comprehensive analysis.胃神经内分泌肿瘤的临床病理特征:全面分析。
Cancer Med. 2024 Feb;13(4):e7011. doi: 10.1002/cam4.7011.
9
Incidence, survival, and prognostic factors for patients with gastrointestinal mixed neuroendocrine non-neuroendocrine neoplasms: a SEER population-based study.胃肠道混合神经内分泌-非神经内分泌肿瘤患者的发病率、生存率和预后因素:一项 SEER 基于人群的研究。
J Cancer Res Clin Oncol. 2023 Nov;149(17):15657-15669. doi: 10.1007/s00432-023-05356-z. Epub 2023 Sep 1.
10
Mixed Neuroendocrine and Non-Neuroendocrine Neoplasm of Pancreas: What Do We Know, What Have We Learnt?胰腺混合性神经内分泌与非神经内分泌肿瘤:我们知道什么,学到了什么?
Gastrointest Tumors. 2023 Feb 8;10(1):14-18. doi: 10.1159/000528759. eCollection 2023 Jan-Dec.
Neoadjuvant chemotherapy improves the survival of patients with neuroendocrine carcinoma and mixed adenoneuroendocrine carcinoma of the stomach.
新辅助化疗可改善胃神经内分泌癌和混合性腺神经内分泌癌患者的生存。
J Cancer Res Clin Oncol. 2020 Aug;146(8):2135-2142. doi: 10.1007/s00432-020-03214-w. Epub 2020 Apr 18.
4
What is New in the 2019 World Health Organization (WHO) Classification of Tumors of the Digestive System: Review of Selected Updates on Neuroendocrine Neoplasms, Appendiceal Tumors, and Molecular Testing.2019 年世界卫生组织(WHO)消化系统肿瘤分类有哪些新变化:神经内分泌肿瘤、阑尾肿瘤和分子检测的部分更新介绍。
Arch Pathol Lab Med. 2021 Jun 1;145(6):664-677. doi: 10.5858/arpa.2019-0665-RA.
5
Gastrointestinal mixed adenoneuroendocrine carcinoma: a population level analysis of epidemiological trends.胃肠道混合性腺神经内分泌癌:一项基于人群水平的流行病学趋势分析
J Transl Med. 2020 Mar 14;18(1):128. doi: 10.1186/s12967-020-02293-0.
6
Histopathological Revision for Gastroenteropancreatic Neuroendocrine Neoplasms in Expert Centers: Does It Make the Difference?胃肠胰神经内分泌肿瘤在专家中心的组织病理修正:有区别吗?
Neuroendocrinology. 2021;111(1-2):170-177. doi: 10.1159/000507082. Epub 2020 Mar 11.
7
Successful Treatment of a Mixed Neuroendocrine-Nonneuroendocrine Neoplasm of the Colon with Metastases to the Thyroid Gland and Liver.成功治疗一例伴有甲状腺和肝脏转移的结肠混合性神经内分泌-非神经内分泌肿瘤
Case Rep Otolaryngol. 2020 Feb 13;2020:5927610. doi: 10.1155/2020/5927610. eCollection 2020.
8
Mixed Neuroendocrine Non-Neuroendocrine Neoplasms: A Systematic Review of a Controversial and Underestimated Diagnosis.混合性神经内分泌-非神经内分泌肿瘤:对一种有争议且被低估的诊断的系统评价
J Clin Med. 2020 Jan 19;9(1):273. doi: 10.3390/jcm9010273.
9
Comparative analysis of colorectal mixed adenoneuroendocrine carcinoma and adenocarcinoma with neuroendocrine differentiation: a population-based study.结直肠混合性腺神经内分泌癌与伴神经内分泌分化的腺癌的比较分析:一项基于人群的研究。
Int J Clin Exp Pathol. 2019 Mar 1;12(3):922-932. eCollection 2019.
10
Gastrointestinal mixed adenoneuroendocrine carcinoma (MANEC): An immunohistochemistry study of 13 microsatellite stable cases.胃肠道混合性腺神经内分泌癌 (MANEC):13 例微卫星稳定病例的免疫组织化学研究。
Pathol Res Pract. 2019 Dec;215(12):152697. doi: 10.1016/j.prp.2019.152697. Epub 2019 Oct 23.