Suppr超能文献

海洋apiside,一种海洋天然产物,作用于氟康唑耐药的鞘脂途径。

Oceanapiside, a Marine Natural Product, Targets the Sphingolipid Pathway of Fluconazole-Resistant .

作者信息

Dalisay Doralyn S, Rogers Evan W, Molinski Tadeusz F

机构信息

Department of Chemistry and Biochemistry, University of California, San Diego, 9500 Gilman Drive, La Jolla, CA 92093, USA.

Center for Chemical Biology and Biotechnology (C2B2) and Department of Biology, College of Liberal Arts, Sciences and Education, University of San Agustin, Iloilo City 5000, Philippines.

出版信息

Mar Drugs. 2021 Feb 26;19(3):126. doi: 10.3390/md19030126.

Abstract

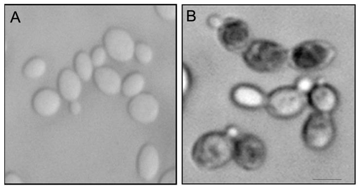
Oceanapiside (OPS), a marine natural product with a novel bifunctional sphingolipid structure, is fungicidal against fluconazole-resistant at 10 μg/mL (15.4 μM). The fungicidal effect was observed at 3 to 4 h after exposure to cells. Cytological and morphological studies revealed that OPS affects the budding patterns of treated yeast cells with a significant increase in the number of cells with single small buds. In addition, this budding morphology was found to be sensitive in the presence of OPS. Moreover, the number of cells with single medium-sized buds and cells with single large buds were decreased significantly, indicating that fewer cells were transformed to these budding patterns, suggestive of inhibition of polarized growth. OPS was also observed to disrupt the organized actin assembly in , which correlates with inhibition of budding and polarized growth. It was also demonstrated that phytosphingosine (PHS) reversed the antifungal activity of oceanapiside. We quantified the amount of long chain-bases (LCBs) and phytoceramide from the crude extracts of treated cells using LC-ESI-MS. PHS concentration was elevated in extracts of cells treated with OPS when compared with cells treated with miconazole and amphotericin B. Elevated levels of PHS in OPS-treated cells confirms that OPS affects the pathway at a step downstream of PHS synthesis. These results also demonstrated that OPS has a mechanism of action different to those of miconazole and amphotericin B and interdicts fungal sphingolipid metabolism by specifically inhibiting the step converting PHS to phytoceramide.

摘要

海洋apiside(OPS)是一种具有新型双功能鞘脂结构的海洋天然产物,对氟康唑耐药菌在10μg/mL(15.4μM)时具有杀菌作用。在接触细胞3至4小时后观察到杀菌效果。细胞学和形态学研究表明,OPS会影响处理过的酵母细胞的出芽模式,单个小芽细胞的数量显著增加。此外,发现这种出芽形态在OPS存在下很敏感。而且,单个中等大小芽的细胞和单个大芽的细胞数量显著减少,这表明转化为这些出芽模式的细胞较少,提示极化生长受到抑制。还观察到OPS会破坏酵母中有序的肌动蛋白组装,这与出芽和极化生长的抑制相关。还证明了植物鞘氨醇(PHS)可逆转海洋apiside的抗真菌活性。我们使用LC-ESI-MS对处理过的细胞粗提物中的长链碱基(LCB)和植物神经酰胺的量进行了定量。与用咪康唑和两性霉素B处理的细胞相比,用OPS处理的细胞提取物中PHS浓度升高。OPS处理的细胞中PHS水平升高证实OPS在PHS合成下游的一个步骤影响该途径。这些结果还表明,OPS具有与咪康唑和两性霉素B不同的作用机制,通过特异性抑制将PHS转化为植物神经酰胺的步骤来阻断真菌鞘脂代谢。

https://cdn.ncbi.nlm.nih.gov/pmc/blobs/69c8/7996939/86ca53c177a0/marinedrugs-19-00126-g001.jpg

文献检索

告别复杂PubMed语法,用中文像聊天一样搜索,搜遍4000万医学文献。AI智能推荐,让科研检索更轻松。

立即免费搜索

文件翻译

保留排版,准确专业,支持PDF/Word/PPT等文件格式,支持 12+语言互译。

免费翻译文档

深度研究

AI帮你快速写综述,25分钟生成高质量综述,智能提取关键信息,辅助科研写作。

立即免费体验