Suppr超能文献

豚鼠对II型胶原蛋白的免疫反应:与同源II型胶原蛋白的交叉反应性差导致对胶原诱导性关节炎具有抗性。

The immune response of guinea-pigs to type II collagen: poor cross-reactivity with homologous type II collagen accounts for resistance to collagen-induced arthritis.

作者信息

Hernandez A D, Cremer M A, Townes A S, Stuart J M, Kang A H

机构信息

Veterans Administration Medical Center, Memphis 38104.

出版信息

Immunology. 1988 Apr;63(4):619-24.

Abstract

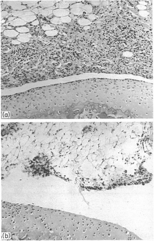
In order to determine the susceptibility of guinea-pigs to collagen-induced arthritis (CIA), Hartley and Strain 13 guinea-pigs were immunized with heterologous or homologous type II collagen. None of the animals developed CIA. Because immunity to type II collagen plays a critical role in CIA, we characterized the guinea-pig's immune response to determine the basis for this resistance. Guinea-pigs develop cellular and humoral reactivity to heterologous type II collagen similar to that of CIA-susceptible rats. The reactions distinguish type I from type II collagen but not among several heterologous type II collagens. The cell-mediated immune (CMI) response was specific for determinants on the primary amino acid structure of collagen, whether native or denatured collagen was used for immunization; however, the humoral response was specific for the form of the molecule used for immunization. Guinea-pigs differ from CIA-susceptible rats in that immunization with homologous or heterologous type II collagen fails to induce significant cross-reactive immunity with the homologous antigen. A transient arthritis could be induced in animals immunized with heterologous type II collagen by injecting them intra-articularly with heterologous but not with homologous type II collagen. Our results show that the disparity between immunity to type II collagen and the susceptibility to develop CIA in guinea-pigs is due to their poor cross-reactive immune response to autologous type II collagen.

摘要

为了确定豚鼠对胶原诱导性关节炎(CIA)的易感性,用异源或同源II型胶原对哈特利豚鼠和13号品系豚鼠进行免疫。没有一只动物发生CIA。由于对II型胶原的免疫在CIA中起关键作用,我们对豚鼠的免疫反应进行了表征,以确定这种抗性的基础。豚鼠对异源II型胶原产生细胞和体液反应,类似于对CIA敏感的大鼠。这些反应能区分I型和II型胶原,但不能区分几种异源II型胶原。无论使用天然还是变性胶原进行免疫,细胞介导免疫(CMI)反应对胶原一级氨基酸结构上的决定簇具有特异性;然而,体液反应对用于免疫的分子形式具有特异性。豚鼠与对CIA敏感的大鼠不同,用同源或异源II型胶原免疫不能诱导与同源抗原产生显著的交叉反应性免疫。通过向用异源II型胶原免疫的动物关节内注射异源而非同源II型胶原,可诱导短暂性关节炎。我们的结果表明,豚鼠对II型胶原的免疫与发生CIA的易感性之间的差异是由于它们对自身II型胶原的交叉反应性免疫反应较差。

https://cdn.ncbi.nlm.nih.gov/pmc/blobs/e400/1454793/d695a4ef277c/immunology00161-0057-a.jpg

文献检索

告别复杂PubMed语法,用中文像聊天一样搜索,搜遍4000万医学文献。AI智能推荐,让科研检索更轻松。

立即免费搜索

文件翻译

保留排版,准确专业,支持PDF/Word/PPT等文件格式,支持 12+语言互译。

免费翻译文档

深度研究

AI帮你快速写综述,25分钟生成高质量综述,智能提取关键信息,辅助科研写作。

立即免费体验