Suppr超能文献

核医学成像在评估和降低放射性治疗正常组织毒性方面的潜力不断增加。

The increasing potential of nuclear medicine imaging for the evaluation and reduction of normal tissue toxicity from radiation treatments.

机构信息

Department of Nuclear Medicine, The Netherlands Cancer Institute, Plesmanlaan 121, 1066 CX, Amsterdam, The Netherlands.

Department of Radiation Oncology, The Netherlands Cancer Institute, Amsterdam, The Netherlands.

出版信息

Eur J Nucl Med Mol Imaging. 2021 Nov;48(12):3762-3775. doi: 10.1007/s00259-021-05284-5. Epub 2021 Mar 9.

Abstract

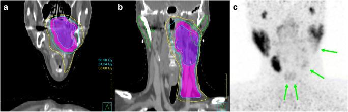
Radiation therapy is an effective treatment modality for a variety of cancers. Despite several advances in delivery techniques, its main drawback remains the deposition of dose in normal tissues which can result in toxicity. Common practices of evaluating toxicity, using questionnaires and grading systems, provide little underlying information beyond subjective scores, and this can limit further optimization of treatment strategies. Nuclear medicine imaging techniques can be utilised to directly measure regional baseline function and function loss from internal/external radiation therapy within normal tissues in an in vivo setting with high spatial resolution. This can be correlated with dose delivered by radiotherapy techniques to establish objective dose-effect relationships, and can also be used in the treatment planning step to spare normal tissues more efficiently. Toxicity in radionuclide therapy typically occurs due to undesired off-target uptake in normal tissues. Molecular imaging using diagnostic analogues of therapeutic radionuclides can be used to test various interventional protective strategies that can potentially reduce this normal tissue uptake without compromising tumour uptake. We provide an overview of the existing literature on these applications of nuclear medicine imaging in diverse normal tissue types utilising various tracers, and discuss its future potential.

摘要

放射治疗是治疗多种癌症的有效方法。尽管在传递技术方面取得了一些进展,但它的主要缺点仍然是在正常组织中沉积剂量,这可能导致毒性。常用的毒性评估方法,如问卷调查和分级系统,除了主观评分外,几乎没有提供任何基本信息,这可能限制了治疗策略的进一步优化。核医学成像技术可用于在体内环境中以高空间分辨率直接测量正常组织内的区域基线功能和内部/外部放射治疗引起的功能丧失。这可以与放射治疗技术所给予的剂量相关联,以建立客观的剂量-效应关系,也可以在治疗计划步骤中更有效地保护正常组织。放射性核素治疗的毒性通常是由于正常组织中不希望的非靶区摄取引起的。使用治疗性放射性核素的诊断类似物进行分子成像,可用于测试各种介入性保护策略,这些策略可以在不影响肿瘤摄取的情况下减少正常组织摄取。我们概述了利用各种示踪剂在不同正常组织类型中核医学成像的现有文献,并讨论了其未来的潜力。

https://cdn.ncbi.nlm.nih.gov/pmc/blobs/0fb5/8484246/027990c1ac1f/259_2021_5284_Fig1_HTML.jpg

文献检索

告别复杂PubMed语法,用中文像聊天一样搜索,搜遍4000万医学文献。AI智能推荐,让科研检索更轻松。

立即免费搜索

文件翻译

保留排版,准确专业,支持PDF/Word/PPT等文件格式,支持 12+语言互译。

免费翻译文档

深度研究

AI帮你快速写综述,25分钟生成高质量综述,智能提取关键信息,辅助科研写作。

立即免费体验