• 文献检索
  • 文档翻译
  • 深度研究
  • 学术资讯
  • Suppr Zotero 插件Zotero 插件
  • 邀请有礼
  • 套餐&价格
  • 历史记录
应用&插件
Suppr Zotero 插件Zotero 插件浏览器插件Mac 客户端Windows 客户端微信小程序
定价
高级版会员购买积分包购买API积分包
服务
文献检索文档翻译深度研究API 文档MCP 服务
关于我们
关于 Suppr公司介绍联系我们用户协议隐私条款
关注我们

Suppr 超能文献

核心技术专利:CN118964589B侵权必究
粤ICP备2023148730 号-1Suppr @ 2026

文献检索

告别复杂PubMed语法,用中文像聊天一样搜索,搜遍4000万医学文献。AI智能推荐,让科研检索更轻松。

立即免费搜索

文件翻译

保留排版,准确专业,支持PDF/Word/PPT等文件格式,支持 12+语言互译。

免费翻译文档

深度研究

AI帮你快速写综述,25分钟生成高质量综述,智能提取关键信息,辅助科研写作。

立即免费体验

白尾鹿()对严重急性呼吸综合征冠状病毒2(SARS-CoV-2)的易感性。

Susceptibility of white-tailed deer () to SARS-CoV-2.

作者信息

Palmer Mitchell V, Martins Mathias, Falkenberg Shollie, Buckley Alexandra, Caserta Leonardo C, Mitchell Patrick K, Cassmann Eric D, Rollins Alicia, Zylich Nancy C, Renshaw Randall W, Guarino Cassandra, Wagner Bettina, Lager Kelly, Diel Diego G

机构信息

Infectious Bacterial Diseases Research Unit, National Animal Disease Center, USDA, Agricultural Research Service, Ames, Iowa, USA

Department of Population Medicine and Diagnostic Sciences, Animal Health Diagnostic Center, College of Veterinary Medicine, Cornell University, Ithaca, New York, USA.

出版信息

J Virol. 2021 May 10;95(11). doi: 10.1128/JVI.00083-21. Epub 2021 Mar 10.

DOI:10.1128/JVI.00083-21
PMID:33692203
原文链接:https://pmc.ncbi.nlm.nih.gov/articles/PMC8139686/
Abstract

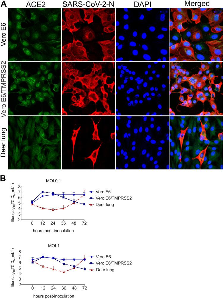
The origin of severe acute respiratory syndrome coronavirus 2 (SARS-CoV-2), the virus causing the global coronavirus disease 19 (COVID-19) pandemic, remains a mystery. Current evidence suggests a likely spillover into humans from an animal reservoir. Understanding the host range and identifying animal species that are susceptible to SARS-CoV-2 infection may help to elucidate the origin of the virus and the mechanisms underlying cross-species transmission to humans. Here we demonstrated that white-tailed deer (), an animal species in which the angiotensin converting enzyme 2 (ACE2) - the SARS-CoV-2 receptor - shares a high degree of similarity to humans, are highly susceptible to infection. Intranasal inoculation of deer fawns with SARS-CoV-2 resulted in established subclinical viral infection and shedding of infectious virus in nasal secretions. Notably, infected animals transmitted the virus to non-inoculated contact deer. Viral RNA was detected in multiple tissues 21 days post-inoculation (pi). All inoculated and indirect contact animals seroconverted and developed neutralizing antibodies as early as day 7 pi. The work provides important insights into the animal host range of SARS-CoV-2 and identifies white-tailed deer as a susceptible wild animal species to the virus.Given the presumed zoonotic origin of SARS-CoV-2, the human-animal-environment interface of COVID-19 pandemic is an area of great scientific and public- and animal-health interest. Identification of animal species that are susceptible to infection by SARS-CoV-2 may help to elucidate the potential origin of the virus, identify potential reservoirs or intermediate hosts, and define the mechanisms underlying cross-species transmission to humans. Additionally, it may also provide information and help to prevent potential reverse zoonosis that could lead to the establishment of a new wildlife hosts. Our data show that upon intranasal inoculation, white-tailed deer became subclinically infected and shed infectious SARS-CoV-2 in nasal secretions and feces. Importantly, indirect contact animals were infected and shed infectious virus, indicating efficient SARS-CoV-2 transmission from inoculated animals. These findings support the inclusion of wild cervid species in investigations conducted to assess potential reservoirs or sources of SARS-CoV-2 of infection.

摘要

导致全球冠状病毒病19(COVID-19)大流行的严重急性呼吸综合征冠状病毒2(SARS-CoV-2)的起源仍是一个谜。目前的证据表明,它可能是从动物宿主溢出传染给人类的。了解宿主范围并确定易感染SARS-CoV-2的动物物种,可能有助于阐明病毒的起源以及跨物种传播给人类的潜在机制。在此,我们证明了白尾鹿,一种其血管紧张素转换酶2(ACE2)——SARS-CoV-2的受体——与人类具有高度相似性的动物,对感染高度易感。用SARS-CoV-2对小鹿进行鼻内接种导致了隐匿性病毒感染的建立,并在鼻分泌物中排出传染性病毒。值得注意的是,受感染的动物将病毒传播给了未接种的接触鹿。接种后21天(pi)在多个组织中检测到病毒RNA。所有接种和间接接触的动物最早在接种后第7天就发生了血清转化并产生了中和抗体。这项研究为SARS-CoV-2的动物宿主范围提供了重要见解,并确定白尾鹿是该病毒易感的野生动物物种。鉴于SARS-CoV-2推测为人畜共患起源,COVID-19大流行的人-动物-环境界面是一个具有重大科学以及公共和动物健康意义的领域。确定易感染SARS-CoV-2的动物物种可能有助于阐明病毒的潜在起源,确定潜在宿主或中间宿主,并明确跨物种传播给人类的潜在机制。此外,它还可能提供信息并有助于预防可能导致新的野生动物宿主形成的潜在反向人畜共患病。我们的数据表明,经鼻内接种后,白尾鹿发生了隐匿性感染,并在鼻分泌物和粪便中排出传染性SARS-CoV-2。重要的是,间接接触的动物被感染并排出传染性病毒,表明接种动物能有效传播SARS-CoV-2。这些发现支持将野生鹿科物种纳入评估SARS-CoV-2潜在宿主或感染源的调查中。

https://cdn.ncbi.nlm.nih.gov/pmc/blobs/3fc9/8139686/af91cfce45ea/JVI.00083-21-f0007.jpg
https://cdn.ncbi.nlm.nih.gov/pmc/blobs/3fc9/8139686/ea023782dcb2/JVI.00083-21-f0001.jpg
https://cdn.ncbi.nlm.nih.gov/pmc/blobs/3fc9/8139686/f0480a06cb71/JVI.00083-21-f0002.jpg
https://cdn.ncbi.nlm.nih.gov/pmc/blobs/3fc9/8139686/dd3e2e7fa9cd/JVI.00083-21-f0003.jpg
https://cdn.ncbi.nlm.nih.gov/pmc/blobs/3fc9/8139686/c989b82fd2c3/JVI.00083-21-f0004.jpg
https://cdn.ncbi.nlm.nih.gov/pmc/blobs/3fc9/8139686/0539f8842a24/JVI.00083-21-f0005.jpg
https://cdn.ncbi.nlm.nih.gov/pmc/blobs/3fc9/8139686/46669e92c3aa/JVI.00083-21-f0006.jpg
https://cdn.ncbi.nlm.nih.gov/pmc/blobs/3fc9/8139686/15f83b000665/JVI.00083-21-f0008.jpg
https://cdn.ncbi.nlm.nih.gov/pmc/blobs/3fc9/8139686/af91cfce45ea/JVI.00083-21-f0007.jpg
https://cdn.ncbi.nlm.nih.gov/pmc/blobs/3fc9/8139686/ea023782dcb2/JVI.00083-21-f0001.jpg
https://cdn.ncbi.nlm.nih.gov/pmc/blobs/3fc9/8139686/f0480a06cb71/JVI.00083-21-f0002.jpg
https://cdn.ncbi.nlm.nih.gov/pmc/blobs/3fc9/8139686/dd3e2e7fa9cd/JVI.00083-21-f0003.jpg
https://cdn.ncbi.nlm.nih.gov/pmc/blobs/3fc9/8139686/c989b82fd2c3/JVI.00083-21-f0004.jpg
https://cdn.ncbi.nlm.nih.gov/pmc/blobs/3fc9/8139686/0539f8842a24/JVI.00083-21-f0005.jpg
https://cdn.ncbi.nlm.nih.gov/pmc/blobs/3fc9/8139686/46669e92c3aa/JVI.00083-21-f0006.jpg
https://cdn.ncbi.nlm.nih.gov/pmc/blobs/3fc9/8139686/15f83b000665/JVI.00083-21-f0008.jpg
https://cdn.ncbi.nlm.nih.gov/pmc/blobs/3fc9/8139686/af91cfce45ea/JVI.00083-21-f0007.jpg

相似文献

1
Susceptibility of white-tailed deer () to SARS-CoV-2.白尾鹿()对严重急性呼吸综合征冠状病毒2(SARS-CoV-2)的易感性。
J Virol. 2021 May 10;95(11). doi: 10.1128/JVI.00083-21. Epub 2021 Mar 10.
2
From Deer-to-Deer: SARS-CoV-2 is efficiently transmitted and presents broad tissue tropism and replication sites in white-tailed deer.鹿与鹿之间:严重急性呼吸综合征冠状病毒2(SARS-CoV-2)能在白尾鹿中高效传播,并呈现出广泛的组织嗜性和复制位点。
PLoS Pathog. 2022 Mar 21;18(3):e1010197. doi: 10.1371/journal.ppat.1010197. eCollection 2022 Mar.
3
High Seroprevalence of SARS-CoV-2 in White-Tailed Deer (Odocoileus virginianus) at One of Three Captive Cervid Facilities in Texas.德克萨斯州三家圈养鹿场之一的白尾鹿(Odocoileus virginianus)中 SARS-CoV-2 的高血清阳性率。
Microbiol Spectr. 2022 Apr 27;10(2):e0057622. doi: 10.1128/spectrum.00576-22. Epub 2022 Mar 23.
4
Infection and transmission of ancestral SARS-CoV-2 and its alpha variant in pregnant white-tailed deer.原始严重急性呼吸综合征冠状病毒2(SARS-CoV-2)及其α变异株在怀孕白尾鹿中的感染与传播
bioRxiv. 2021 Aug 24:2021.08.15.456341. doi: 10.1101/2021.08.15.456341.
5
Detection of SARS-CoV-2 Omicron variant (B.1.1.529) infection of white-tailed deer.检测白尾鹿感染严重急性呼吸综合征冠状病毒2奥密克戎变种(B.1.1.529)的情况。
bioRxiv. 2022 Feb 7:2022.02.04.479189. doi: 10.1101/2022.02.04.479189.
6
Infection and transmission of ancestral SARS-CoV-2 and its alpha variant in pregnant white-tailed deer.在怀孕白尾鹿中感染和传播祖先 SARS-CoV-2 及其 alpha 变体。
Emerg Microbes Infect. 2022 Dec;11(1):95-112. doi: 10.1080/22221751.2021.2012528.
7
Multiple Introductions of SARS-CoV-2 Alpha and Delta Variants into White-Tailed Deer in Pennsylvania.宾夕法尼亚州白尾鹿中多种 SARS-CoV-2 Alpha 和 Delta 变异株的引入。
mBio. 2022 Oct 26;13(5):e0210122. doi: 10.1128/mbio.02101-22. Epub 2022 Aug 24.
8
Experimental infection of white-tailed deer fawns (Odocoileus virginianus) with bovine viral diarrhea virus type-1 isolated from free-ranging white-tailed deer.用从自由放养的白尾鹿中分离出的1型牛病毒性腹泻病毒对白尾鹿幼崽(弗吉尼亚白尾鹿)进行实验性感染。
J Wildl Dis. 2009 Jul;45(3):653-60. doi: 10.7589/0090-3558-45.3.653.
9
SARS-CoV-2 exposure in wild white-tailed deer ().野生白尾鹿感染严重急性呼吸综合征冠状病毒2(SARS-CoV-2)() 。 (你提供的原文括号里内容缺失,翻译可能不太完整准确,你可补充完整后继续让我翻译 )
Proc Natl Acad Sci U S A. 2021 Nov 23;118(47). doi: 10.1073/pnas.2114828118.
10
Structural basis of white-tailed deer, , ACE2 recognizing all the SARS-CoV-2 variants of concern with high affinity.白尾鹿ACE2与所有值得关注的SARS-CoV-2变体高亲和力识别的结构基础。
J Virol. 2023 Sep 28;97(9):e0050523. doi: 10.1128/jvi.00505-23. Epub 2023 Sep 7.

引用本文的文献

1
Peripheral transcriptional responses to experimental SARS-CoV-2 inoculation in North American elk cows and calves.北美麋鹿母牛和幼崽对实验性接种严重急性呼吸综合征冠状病毒2的外周转录反应。
BMC Genomics. 2025 Aug 28;26(1):781. doi: 10.1186/s12864-025-11956-5.
2
The recurrent Spike A222V mutation in SARS-CoV-2 enhances replication in primary deer lung cells.严重急性呼吸综合征冠状病毒2(SARS-CoV-2)中反复出现的刺突蛋白A222V突变增强了在原代鹿肺细胞中的复制。
Virus Evol. 2025 Aug 5;11(1):veaf059. doi: 10.1093/ve/veaf059. eCollection 2025.
3
Digital Immunoassay for Rapid Detection of SARS-CoV-2 exposure in a Broad Spectrum of Animals.

本文引用的文献

1
Replication, pathogenicity, and transmission of SARS-CoV-2 in minks.严重急性呼吸综合征冠状病毒2(SARS-CoV-2)在水貂中的复制、致病性及传播
Natl Sci Rev. 2020 Dec 8;8(3):nwaa291. doi: 10.1093/nsr/nwaa291. eCollection 2021 Mar.
2
SARS-CoV-2 infection, neuropathogenesis and transmission among deer mice: Implications for spillback to New World rodents.SARS-CoV-2 感染、鹿鼠中的神经发病机制和传播:对新出现的新世界啮齿动物的溢出的影响。
PLoS Pathog. 2021 May 19;17(5):e1009585. doi: 10.1371/journal.ppat.1009585. eCollection 2021 May.
3
Summary of Guidance for Public Health Strategies to Address High Levels of Community Transmission of SARS-CoV-2 and Related Deaths, December 2020.
用于快速检测多种动物中SARS-CoV-2暴露情况的数字免疫测定法。
IEEE Sens J. 2025 Jul 15;25(14):26599-26607. doi: 10.1109/jsen.2025.3575008. Epub 2025 Jun 4.
4
Characterization of key spike RBD residues influencing SARS-CoV-2 variant adaptation to avian ACE2.影响SARS-CoV-2变体适应禽血管紧张素转换酶2的关键刺突受体结合结构域残基的特征分析。
Front Cell Infect Microbiol. 2025 Jul 29;15:1631926. doi: 10.3389/fcimb.2025.1631926. eCollection 2025.
5
Retrospective case study of the impacts of multiple One Health oriented biocontainment research facilities during the SARS-CoV-2 pandemic.严重急性呼吸综合征冠状病毒2(SARS-CoV-2)大流行期间多个以一体化健康为导向的生物安全研究设施影响的回顾性案例研究。
One Health. 2025 May 2;20:101061. doi: 10.1016/j.onehlt.2025.101061. eCollection 2025 Jun.
6
SARS-CoV-2 Neutralizing Antibodies in Free-Ranging Fallow Deer () and Red Deer () in Suburban and Rural Areas in Spain.西班牙城郊和农村地区自由放养的黇鹿()和马鹿()体内的新型冠状病毒2型中和抗体
Transbound Emerg Dis. 2023 Aug 17;2023:3324790. doi: 10.1155/2023/3324790. eCollection 2023.
7
Landscape-Scale Epidemiological Dynamics of SARS-CoV-2 in White-Tailed Deer.白尾鹿中新冠病毒的景观尺度流行病学动态
Transbound Emerg Dis. 2024 Feb 10;2024:7589509. doi: 10.1155/2024/7589509. eCollection 2024.
8
No Evidence of SARS-CoV-2 Infection in Urban Wildlife of Hokkaido, Japan.日本北海道城市野生动物中未发现感染严重急性呼吸综合征冠状病毒2(SARS-CoV-2)的证据。
Transbound Emerg Dis. 2024 Aug 13;2024:1204825. doi: 10.1155/2024/1204825. eCollection 2024.
9
Survey of white-footed mice (Peromyscus leucopus) in Connecticut, USA reveals low SARS-CoV-2 seroprevalence and infection with divergent betacoronaviruses.对美国康涅狄格州白足鼠(白足鼠属)的调查显示,严重急性呼吸综合征冠状病毒2(SARS-CoV-2)血清阳性率较低,且感染了不同的β冠状病毒。
Npj Viruses. 2023 Dec 13;1(1):10. doi: 10.1038/s44298-023-00010-4.
10
Presence of anti-SARS-CoV-2 antibodies in European bison (Bison bonasus) in Poland, 2019-2023.2019 - 2023年波兰欧洲野牛(Bison bonasus)体内抗SARS-CoV-2抗体的存在情况
BMC Vet Res. 2025 Feb 28;21(1):120. doi: 10.1186/s12917-025-04593-3.
2020 年 12 月:公共卫生策略应对 SARS-CoV-2 社区高传播水平和相关死亡的指导摘要。
MMWR Morb Mortal Wkly Rep. 2020 Dec 11;69(49):1860-1867. doi: 10.15585/mmwr.mm6949e2.
4
Detection and Characterization of Bat Sarbecovirus Phylogenetically Related to SARS-CoV-2, Japan.日本与严重急性呼吸综合征冠状病毒2(SARS-CoV-2)在系统发育上相关的蝙蝠Sarbecovirus的检测与特征分析
Emerg Infect Dis. 2020 Dec;26(12):3025-3029. doi: 10.3201/eid2612.203386.
5
SARS-CoV-2 Transmission between Mink (Neovison vison) and Humans, Denmark.丹麦的水貂(Neovison vison)与人之间的 SARS-CoV-2 传播。
Emerg Infect Dis. 2021 Feb;27(2):547-551. doi: 10.3201/eid2702.203794. Epub 2020 Nov 18.
6
Transmission of SARS-CoV-2 on mink farms between humans and mink and back to humans.人间-水貂-人间传播 SARS-CoV-2。
Science. 2021 Jan 8;371(6525):172-177. doi: 10.1126/science.abe5901. Epub 2020 Nov 10.
7
Susceptibility of Raccoon Dogs for Experimental SARS-CoV-2 Infection.貉对实验性 SARS-CoV-2 感染的易感性。
Emerg Infect Dis. 2020 Dec;26(12):2982-2985. doi: 10.3201/eid2612.203733. Epub 2020 Oct 22.
8
From People to : Natural SARS-CoV-2 Infection in Tigers and Lions at the Bronx Zoo.从人到:布朗克斯动物园的老虎和狮子中自然发生的 SARS-CoV-2 感染。
mBio. 2020 Oct 13;11(5):e02220-20. doi: 10.1128/mBio.02220-20.
9
Experimental Infection of Cattle with SARS-CoV-2.实验感染 SARS-CoV-2 病毒的牛。
Emerg Infect Dis. 2020 Dec;26(12):2979-2981. doi: 10.3201/eid2612.203799. Epub 2020 Oct 9.
10
SARS-CoV-2 infection, disease and transmission in domestic cats.SARS-CoV-2 感染、疾病与传播于家猫。
Emerg Microbes Infect. 2020 Dec;9(1):2322-2332. doi: 10.1080/22221751.2020.1833687.