Suppr超能文献

孕期无症状重度风湿性二尖瓣狭窄的管理:一例报告

Managing asymptomatic severe rheumatic mitral stenosis in pregnancy: a case report.

作者信息

Eng-Frost Joanne, Sinhal Ajay, Ilton Marcus, Wing-Lun Edwina

机构信息

Department of Cardiology, Level 6, Flinders Medical Centre, Flinders Drive, Bedford Park, SA 5042, Australia.

Department of Cardiology, Royal Darwin Hospital, 105 Rocklands Drive, Tiwi, NT 0810, Australia.

出版信息

Eur Heart J Case Rep. 2021 Feb 28;5(3):ytab010. doi: 10.1093/ehjcr/ytab010. eCollection 2021 Mar.

Abstract

BACKGROUND

Rheumatic heart disease (RHD) is a disease of disparity most prevalent in developing countries and among immigrant populations. Mitral stenosis (MS) is a common sequalae of RHD and affects females disproportionately more than males. Rheumatic MS remains a significant management challenge as severe MS is usually poorly tolerated in pregnancy due to haemodynamic changes and increased cardiovascular demands of progressing pregnancy. Pregnancy remains contraindicated in current management guidelines based on expert consensus, due to a paucity of evidence-based literature.

CASE SUMMARY

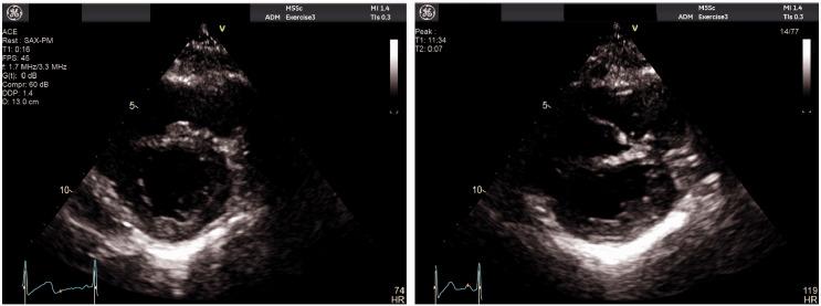
A 28-year-old aboriginal woman with known severe MS was found to be pregnant during routine health review, despite contraceptive efforts. Echocardiography demonstrated mean mitral valve (MV) gradient 14 mmHg; stress echocardiography demonstrated increased MV gradient 28-32 mmHg at peak exercise and post-exercise pulmonary artery pressure 56 + 3 mmHg with marked dynamic D-shaped septal flattening. Left ventricular systolic function remained preserved. She remained remarkably asymptomatic and underwent successful elective induction of labour at 34 weeks. Postpartum, she remained euvolaemic despite worsening MV gradients and new atrial fibrillation (AF). She subsequently underwent balloon mitral valvuloplasty with good result.

DISCUSSION

Severe rheumatic MS in pregnancy carries significant morbidity and mortality, due to an already fragile predisposition towards heart failure development compounded by altered haemodynamics. Pregnancy avoidance and valvular intervention prior to conception or in the second trimester remain the mainstay of MS management; however, we present an encouraging case of successful near-term pregnancy with minimal complications in a medically managed asymptomatic patient with critical MS, who subsequently underwent valvular intervention post-partum.

摘要

背景

风湿性心脏病(RHD)是一种在发展中国家和移民人群中最为普遍的差异性疾病。二尖瓣狭窄(MS)是RHD的常见后遗症,女性受影响的比例远高于男性。风湿性MS仍然是一个重大的管理挑战,因为由于血流动力学变化和妊娠进展导致心血管需求增加,严重MS在妊娠期间通常耐受性较差。由于缺乏循证文献,目前基于专家共识的管理指南中仍将妊娠列为禁忌。

病例摘要

一名28岁患有严重MS的原住民女性在常规健康检查中被发现怀孕,尽管采取了避孕措施。超声心动图显示二尖瓣(MV)平均梯度为14 mmHg;负荷超声心动图显示运动峰值时MV梯度增加至28 - 32 mmHg,运动后肺动脉压为56 + 3 mmHg,伴有明显的动态D形室间隔扁平。左心室收缩功能保持正常。她一直没有明显症状,并在34周时成功进行了择期引产。产后,尽管MV梯度恶化且出现新的心房颤动(AF),但她仍保持血容量正常。随后她接受了球囊二尖瓣成形术,效果良好。

讨论

妊娠合并严重风湿性MS具有显著的发病率和死亡率,这是由于心力衰竭发展的脆弱易感性已经存在,再加上血流动力学改变。避免妊娠以及在受孕前或孕中期进行瓣膜干预仍然是MS管理的主要方法;然而,我们展示了一个令人鼓舞的病例,一名患有严重MS的无症状患者在医学管理下成功接近足月妊娠,并发症极少,随后在产后接受了瓣膜干预。

https://cdn.ncbi.nlm.nih.gov/pmc/blobs/b0fb/7930898/67daf9c9d973/ytab010f1.jpg

文献检索

告别复杂PubMed语法,用中文像聊天一样搜索,搜遍4000万医学文献。AI智能推荐,让科研检索更轻松。

立即免费搜索

文件翻译

保留排版,准确专业,支持PDF/Word/PPT等文件格式,支持 12+语言互译。

免费翻译文档

深度研究

AI帮你快速写综述,25分钟生成高质量综述,智能提取关键信息,辅助科研写作。

立即免费体验