Zou Wen, Li Xing, Li Na, Guo Tianwei, Cai Yongfu, Yang Xiaoqin, Liang Jie, Sun Yong, Fan Yujiang
National Engineering Research Center for Biomaterials, Sichuan University, 29 Wangjiang Road, Chengdu 610064, Sichuan, China.
Sichuan Testing Centre for Biomaterials and Medical Devices, 29 Wangjiang Road, Chengdu 610064, Sichuan, China.
Regen Biomater. 2020 Sep 30;8(1):rbaa040. doi: 10.1093/rb/rbaa040. eCollection 2021 Feb 1.
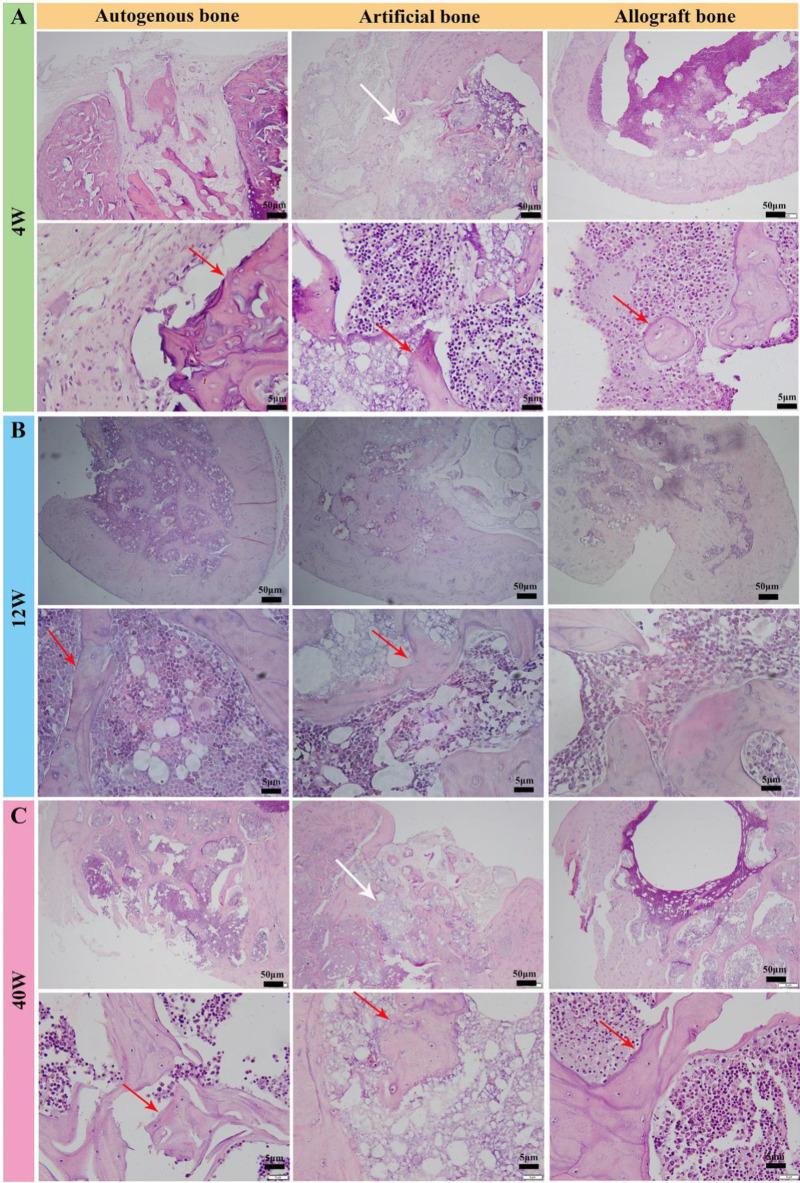
Repair and reconstruction of large bone defect were often difficult, and bone substitute materials, including autogenous bone, allogenic bone and artificial bone, were common treatment strategies. The key to elucidate the clinical effect of these bone repair materials was to study their osteogenic capacity and immunotoxicological compatibility. In this paper, the mechanical properties, micro-CT imaging analysis, digital image analysis and histological slice analysis of the three bone grafts were investigated and compared after different time points of implantation in rat femur defect model. Autogenous bone and biphasic calcium phosphate particular artificial bone containing 61.4% HA and 38.6% β-tricalcium phosphate with 61.64% porosity and 0.8617 ± 0.0068 g/cm density ( ≤ 2 mm) had similar and strong bone repair ability, but autogenous bone implant materials caused greater secondary damage to experimental animals; allogenic bone exhibited poor bone defect repair ability. At the early stage of implantation, the immunological indexes such as Immunoglobulin G, Immunoglobulin M concentration and CD4 cells' population of allogenic bone significantly increased in compared with those of autologous bone and artificial bone. Although the repair process of artificial bone was relatively inefficient than autologous bone graft, the low immunotoxicological indexes and acceptable therapeutic effects endowed it as an excellent alternative material to solve the problems with insufficient source and secondary trauma of autogenous bone.
大骨缺损的修复和重建往往具有挑战性,而骨替代材料,包括自体骨、异体骨和人工骨,是常见的治疗策略。阐明这些骨修复材料临床效果的关键在于研究它们的成骨能力和免疫毒理学相容性。本文在大鼠股骨缺损模型中植入三种骨移植物的不同时间点后,对其力学性能、显微CT成像分析、数字图像分析和组织切片分析进行了研究和比较。自体骨和含有61.4%羟基磷灰石(HA)和38.6%β-磷酸三钙、孔隙率为61.64%、密度为0.8617±0.0068 g/cm(≤2 mm)的双相磷酸钙特定人工骨具有相似且较强的骨修复能力,但自体骨植入材料对实验动物造成了更大的二次损伤;异体骨表现出较差的骨缺损修复能力。在植入早期,异体骨的免疫球蛋白G、免疫球蛋白M浓度和CD4细胞数量等免疫指标与自体骨和人工骨相比显著升高。虽然人工骨的修复过程相对自体骨移植效率较低,但其低免疫毒理学指标和可接受的治疗效果使其成为解决自体骨来源不足和二次创伤问题的优良替代材料。