• 文献检索
  • 文档翻译
  • 深度研究
  • 学术资讯
  • Suppr Zotero 插件Zotero 插件
  • 邀请有礼
  • 套餐&价格
  • 历史记录
应用&插件
Suppr Zotero 插件Zotero 插件浏览器插件Mac 客户端Windows 客户端微信小程序
定价
高级版会员购买积分包购买API积分包
服务
文献检索文档翻译深度研究API 文档MCP 服务
关于我们
关于 Suppr公司介绍联系我们用户协议隐私条款
关注我们

Suppr 超能文献

核心技术专利:CN118964589B侵权必究
粤ICP备2023148730 号-1Suppr @ 2026

文献检索

告别复杂PubMed语法,用中文像聊天一样搜索,搜遍4000万医学文献。AI智能推荐,让科研检索更轻松。

立即免费搜索

文件翻译

保留排版,准确专业,支持PDF/Word/PPT等文件格式,支持 12+语言互译。

免费翻译文档

深度研究

AI帮你快速写综述,25分钟生成高质量综述,智能提取关键信息,辅助科研写作。

立即免费体验

联合初始胸部CT与临床变量鉴别2019冠状病毒病(COVID-19)肺炎和流感肺炎。

Combining initial chest CT with clinical variables in differentiating coronavirus disease 2019 (COVID-19) pneumonia from influenza pneumonia.

作者信息

Zhao Shuang, Huang Zixing, Zeng Hanjiang, Chen Zhixia, Luo Fengming, Zhang Chongwei, Song Bin

机构信息

Department of Radiology, West China Hospital, Sichuan University, Chengdu, Sichuan, China.

Department of Respiratory and Critical Care Medicine, West China Hospital, Sichuan University, Chengdu, Sichuan, China.

出版信息

Sci Rep. 2021 Mar 19;11(1):6422. doi: 10.1038/s41598-021-85779-1.

DOI:10.1038/s41598-021-85779-1
PMID:33742041
原文链接:https://pmc.ncbi.nlm.nih.gov/articles/PMC7979799/
Abstract

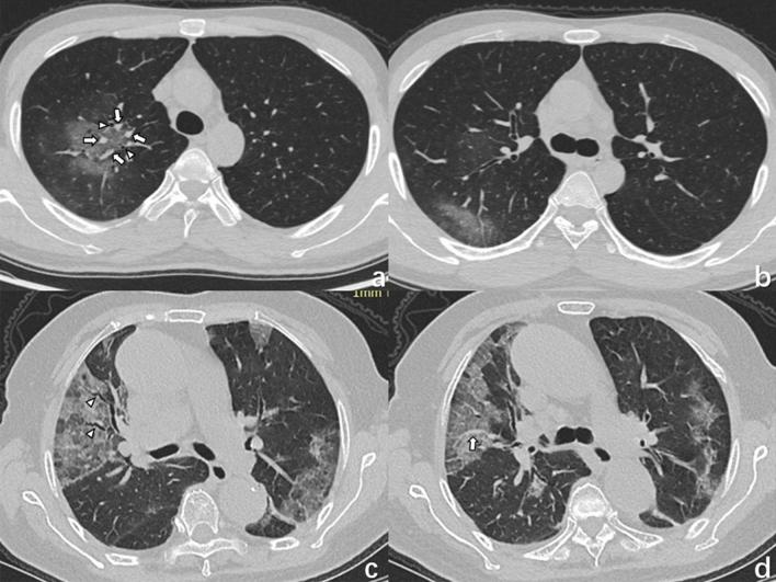
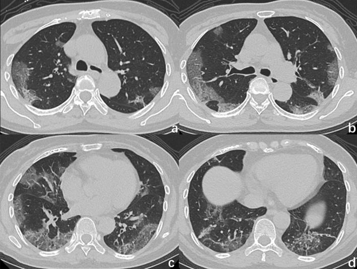
Coronavirus disease 2019 (COVID-19) has spread in more than 100 countries and regions around the world, raising grave global concerns. COVID-19 has a similar pattern of infection, clinical symptoms, and chest imaging findings to influenza pneumonia. In this retrospective study, we analysed clinical and chest CT data of 24 patients with COVID-19 and 79 patients with influenza pneumonia. Univariate analysis demonstrated that the temperature, systolic pressure, cough and sputum production could distinguish COVID-19 from influenza pneumonia. The diagnostic sensitivity and specificity for the clinical features are 0.783 and 0.747, and the AUC value is 0.819. Univariate analysis demonstrates that nine CT features, central-peripheral distribution, superior-inferior distribution, anterior-posterior distribution, patches of GGO, GGO nodule, vascular enlargement in GGO, air bronchogram, bronchiectasis within focus, interlobular septal thickening, could distinguish COVID-19 from influenza pneumonia. The diagnostic sensitivity and specificity for the CT features are 0.750 and 0.962, and the AUC value is 0.927. Finally, a multivariate logistic regression model combined the variables from the clinical variables and CT features models was made. The combined model contained six features: systolic blood pressure, sputum production, vascular enlargement in the GGO, GGO nodule, central-peripheral distribution and bronchiectasis within focus. The diagnostic sensitivity and specificity for the combined features are 0.87 and 0.96, and the AUC value is 0.961. In conclusion, some CT features or clinical variables can differentiate COVID-19 from influenza pneumonia. Moreover, CT features combined with clinical variables had higher diagnostic performance.

摘要

2019冠状病毒病(COVID-19)已在全球100多个国家和地区传播,引起了全球的严重关注。COVID-19在感染模式、临床症状和胸部影像学表现方面与流感肺炎相似。在这项回顾性研究中,我们分析了24例COVID-19患者和79例流感肺炎患者的临床及胸部CT数据。单因素分析表明,体温、收缩压、咳嗽和咳痰情况可将COVID-19与流感肺炎区分开来。临床特征的诊断敏感性和特异性分别为0.783和0.747,AUC值为0.819。单因素分析表明,9个CT特征,即中央-外周分布、上下分布、前后分布、磨玻璃影(GGO)斑片、GGO结节、GGO内血管增粗、空气支气管征、病灶内支气管扩张、小叶间隔增厚,可将COVID-19与流感肺炎区分开来。CT特征的诊断敏感性和特异性分别为0.750和0.962,AUC值为0.927。最后,构建了一个多因素逻辑回归模型,该模型结合了临床变量模型和CT特征模型中的变量。联合模型包含6个特征:收缩压、咳痰、GGO内血管增粗、GGO结节、中央-外周分布和病灶内支气管扩张。联合特征的诊断敏感性和特异性分别为0.87和0.96,AUC值为0.961。总之,一些CT特征或临床变量可将COVID-19与流感肺炎区分开来。此外,CT特征与临床变量相结合具有更高的诊断效能。

https://cdn.ncbi.nlm.nih.gov/pmc/blobs/6c8f/7979799/3a32c5a26328/41598_2021_85779_Fig4_HTML.jpg
https://cdn.ncbi.nlm.nih.gov/pmc/blobs/6c8f/7979799/442335d78c61/41598_2021_85779_Fig1_HTML.jpg
https://cdn.ncbi.nlm.nih.gov/pmc/blobs/6c8f/7979799/6dcf620e574c/41598_2021_85779_Fig2_HTML.jpg
https://cdn.ncbi.nlm.nih.gov/pmc/blobs/6c8f/7979799/5765b9ad96e6/41598_2021_85779_Fig3_HTML.jpg
https://cdn.ncbi.nlm.nih.gov/pmc/blobs/6c8f/7979799/3a32c5a26328/41598_2021_85779_Fig4_HTML.jpg
https://cdn.ncbi.nlm.nih.gov/pmc/blobs/6c8f/7979799/442335d78c61/41598_2021_85779_Fig1_HTML.jpg
https://cdn.ncbi.nlm.nih.gov/pmc/blobs/6c8f/7979799/6dcf620e574c/41598_2021_85779_Fig2_HTML.jpg
https://cdn.ncbi.nlm.nih.gov/pmc/blobs/6c8f/7979799/5765b9ad96e6/41598_2021_85779_Fig3_HTML.jpg
https://cdn.ncbi.nlm.nih.gov/pmc/blobs/6c8f/7979799/3a32c5a26328/41598_2021_85779_Fig4_HTML.jpg

相似文献

1
Combining initial chest CT with clinical variables in differentiating coronavirus disease 2019 (COVID-19) pneumonia from influenza pneumonia.联合初始胸部CT与临床变量鉴别2019冠状病毒病(COVID-19)肺炎和流感肺炎。
Sci Rep. 2021 Mar 19;11(1):6422. doi: 10.1038/s41598-021-85779-1.
2
COVID-19 pneumonia: CT findings of 122 patients and differentiation from influenza pneumonia.新型冠状病毒肺炎:122例患者的CT表现及与流感肺炎的鉴别诊断
Eur Radiol. 2020 Oct;30(10):5463-5469. doi: 10.1007/s00330-020-06928-0. Epub 2020 May 12.
3
Characteristic CT findings distinguishing 2019 novel coronavirus disease (COVID-19) from influenza pneumonia.鉴别 2019 新型冠状病毒病(COVID-19)与流感肺炎的特征性 CT 表现。
Eur Radiol. 2020 Sep;30(9):4910-4917. doi: 10.1007/s00330-020-06880-z. Epub 2020 Apr 22.
4
A Comparison of Clinical and Chest CT Findings in Patients With Influenza A (H1N1) Virus Infection and Coronavirus Disease (COVID-19).甲型流感病毒(H1N1)感染与新型冠状病毒肺炎(COVID-19)患者的临床和胸部 CT 表现比较。
AJR Am J Roentgenol. 2020 Nov;215(5):1065-1071. doi: 10.2214/AJR.20.23214. Epub 2020 May 26.
5
CT Manifestations of Coronavirus Disease (COVID-19) Pneumonia and Influenza Virus Pneumonia: A Comparative Study.COVID-19 肺炎与流感病毒肺炎的 CT 表现:一项对比研究。
AJR Am J Roentgenol. 2021 Jan;216(1):71-79. doi: 10.2214/AJR.20.23304. Epub 2020 Jul 9.
6
CT-based radiomics combined with signs: a valuable tool to help radiologist discriminate COVID-19 and influenza pneumonia.基于 CT 的放射组学结合征象:有助于放射科医生鉴别 COVID-19 和流感肺炎的有价值工具。
BMC Med Imaging. 2021 Feb 17;21(1):31. doi: 10.1186/s12880-021-00564-w.
7
Comparative Analysis of Early-Stage Clinical Features Between COVID-19 and Influenza A H1N1 Virus Pneumonia.新型冠状病毒肺炎与甲型 H1N1 流感病毒肺炎的早期临床特征比较分析。
Front Public Health. 2020 May 15;8:206. doi: 10.3389/fpubh.2020.00206. eCollection 2020.
8
Comparison of Chest CT Findings of COVID-19, Influenza, and Organizing Pneumonia: A Multireader Study.COVID-19、流感和机化性肺炎的胸部 CT 表现比较:一项多读者研究。
AJR Am J Roentgenol. 2021 Nov;217(5):1093-1102. doi: 10.2214/AJR.21.25640. Epub 2021 Apr 14.
9
CT Features of Coronavirus Disease 2019 (COVID-19) Pneumonia in 62 Patients in Wuhan, China.中国武汉 62 例 2019 年冠状病毒病(COVID-19)肺炎的 CT 特征。
AJR Am J Roentgenol. 2020 Jun;214(6):1287-1294. doi: 10.2214/AJR.20.22975. Epub 2020 Mar 5.
10
A rapid screening classifier for diagnosing COVID-19.用于诊断 COVID-19 的快速筛选分类器。
Int J Biol Sci. 2021 Jan 9;17(2):539-548. doi: 10.7150/ijbs.53982. eCollection 2021.

引用本文的文献

1
Differences of the Chest Images Between Coronavirus Disease 2019 (COVID-19) Patients and Influenza Patients: A Systematic Review and Meta-analysis.2019冠状病毒病(COVID-19)患者与流感患者胸部影像的差异:一项系统评价与荟萃分析
Int J Med Sci. 2025 Jan 13;22(3):641-650. doi: 10.7150/ijms.98194. eCollection 2025.
2
Differences in clinical characteristics between coronavirus disease 2019 (COVID-19) and influenza: a systematic review and meta-analysis.2019冠状病毒病(COVID-19)与流感临床特征的差异:一项系统综述和荟萃分析
NPJ Prim Care Respir Med. 2025 Jan 28;35(1):8. doi: 10.1038/s41533-025-00414-0.
3
Comparison of temporal evolution of computed tomography imaging features in COVID-19 and influenza infections in a multicenter cohort study.

本文引用的文献

1
The pulmonary pathology of COVID-19.COVID-19 的肺部病理学。
Virchows Arch. 2021 Jan;478(1):137-150. doi: 10.1007/s00428-021-03053-1. Epub 2021 Feb 19.
2
Pathogenesis of Multiple Organ Injury in COVID-19 and Potential Therapeutic Strategies.新型冠状病毒肺炎多器官损伤的发病机制及潜在治疗策略
Front Physiol. 2021 Jan 28;12:593223. doi: 10.3389/fphys.2021.593223. eCollection 2021.
3
Cytokine Storm and Mucus Hypersecretion in COVID-19: Review of Mechanisms.新冠病毒肺炎中的细胞因子风暴与黏液高分泌:机制综述
一项多中心队列研究中COVID-19与流感感染的计算机断层扫描成像特征的时间演变比较。
Eur J Radiol Open. 2022;9:100431. doi: 10.1016/j.ejro.2022.100431. Epub 2022 Jun 24.
J Inflamm Res. 2021 Jan 22;14:175-189. doi: 10.2147/JIR.S271292. eCollection 2021.
4
Radiological, epidemiological and clinical patterns of pulmonary viral infections.肺部病毒感染的放射学、流行病学和临床特征。
Eur J Radiol. 2021 Mar;136:109548. doi: 10.1016/j.ejrad.2021.109548. Epub 2021 Jan 14.
5
The Immunopathological and Histological Landscape of COVID-19-Mediated Lung Injury.新型冠状病毒病介导的肺损伤的免疫病理和组织学特征。
Int J Mol Sci. 2021 Jan 19;22(2):974. doi: 10.3390/ijms22020974.
6
Anatomical and Pathological Observation and Analysis of SARS and COVID-19: Microthrombosis Is the Main Cause of Death.SARS与新型冠状病毒肺炎的解剖学及病理学观察与分析:微血栓形成是主要死因
Biol Proced Online. 2021 Jan 20;23(1):4. doi: 10.1186/s12575-021-00142-y.
7
Lung Pathology in COVID-19: A Systematic Review.2019冠状病毒病的肺部病理学:一项系统综述
Int J Appl Basic Med Res. 2020 Oct-Dec;10(4):226-233. doi: 10.4103/ijabmr.IJABMR_381_20. Epub 2020 Oct 7.
8
Histopathology features of the lung in COVID-19 patients.COVID-19患者肺部的组织病理学特征。
Diagn Histopathol (Oxf). 2021 Mar;27(3):123-127. doi: 10.1016/j.mpdhp.2020.11.009. Epub 2020 Dec 4.
9
A comprehensive review of histopathological findings of infections induced by COVID-19.新型冠状病毒肺炎所致感染的组织病理学发现综合综述。
Cell Mol Biol (Noisy-le-grand). 2020 Oct 31;66(7):143-151.
10
COVID-19 pulmonary pathology: a multi-institutional autopsy cohort from Italy and New York City.COVID-19 肺部病理学:来自意大利和纽约市的多机构尸检队列研究。
Mod Pathol. 2020 Nov;33(11):2156-2168. doi: 10.1038/s41379-020-00661-1. Epub 2020 Sep 2.