Suppr超能文献

对抗诊断确认偏倚:囊性纤维化、变应性支气管肺曲霉病,还是两者皆有?

Fighting diagnostic confirmation bias: Cystic fibrosis, allergic bronchopulmonary aspergillus, or both?

作者信息

Choi Patricia, Bauler Laura, Gregoire-Bottex M Myrtha

机构信息

Department of Pediatric and Adolescent Medicine Western Michigan University Homer Stryker M.D. School of Medicine Kalamazoo MI USA.

Present address: Department of Internal Medicine Spectrum Health/Michigan State University Grand Rapids MI USA.

出版信息

Clin Case Rep. 2021 Jan 15;9(3):1379-1382. doi: 10.1002/ccr3.3781. eCollection 2021 Mar.

Abstract

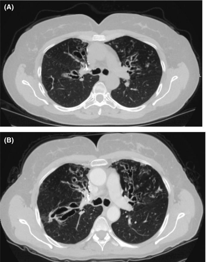
As diagnostic algorithms for cystic fibrosis (CF) continue to evolve, education of general practitioners is essential to prevent delayed diagnosis of CF and allow prompt referral to CF centers. For patients suffering from allergic bronchopulmonary aspergillosis (ABPA), CF should be at the top of the differential diagnosis.

摘要

随着囊性纤维化(CF)诊断算法的不断发展,对全科医生进行培训对于防止CF诊断延误并及时转诊至CF中心至关重要。对于患有变应性支气管肺曲霉病(ABPA)的患者,CF应列为鉴别诊断的首要考虑。

https://cdn.ncbi.nlm.nih.gov/pmc/blobs/019b/7981717/34d71b1b5ede/CCR3-9-1379-g002.jpg

文献检索

告别复杂PubMed语法,用中文像聊天一样搜索,搜遍4000万医学文献。AI智能推荐,让科研检索更轻松。

立即免费搜索

文件翻译

保留排版,准确专业,支持PDF/Word/PPT等文件格式,支持 12+语言互译。

免费翻译文档

深度研究

AI帮你快速写综述,25分钟生成高质量综述,智能提取关键信息,辅助科研写作。

立即免费体验