Fan Xiao-Chuan, Ma Lin-Sha, Chen Li, Singh Diwakar, Rausch-Fan Xiaohui, Huang Xiao-Feng
Department of Stomatology, Beijing Friendship Hospital, Capital Medical University, Beijing 100050, China.
Department of Orthodontics, Beijing Stomatological Hospital & School of Stomatology, Capital Medical University, Beijing 100050, China.
Diagnostics (Basel). 2021 Mar 18;11(3):541. doi: 10.3390/diagnostics11030541.
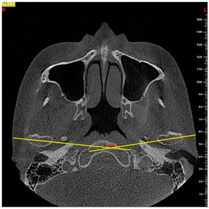
(1) Background-The aim of the present study was to evaluate the correlation between the temporomandibular joint (TMJ) osseous morphology of normal skeletal pattern individuals with different dental malocclusions by using cone-beam computed tomography (CBCT). (2) Methods-The CBCT images of bilateral TMJs in 67 subjects with skeletal class I and average mandibular angle (26 males and 41 females, age range 20-49 years) were evaluated in this study. The subjects were divided into class I, class II division 1, and class II division 2 according to the molar relationship and retroclination of the maxillary incisors. Angular and linear measurements of TMJ were evaluated and the differences between the groups were statistically analyzed. (3) Results-Intragroup comparisons showed statistical differences for articular eminence inclination, the width of the glenoid fossa, the ratio of the width of the glenoid fossa to the depth of the glenoid fossa, the condylar angle, and the intercondylar angle between the malocclusion groups. The measurements of the glenoid fossa shape showed no significant difference between the left and right sides. Females showed more differences in the morphological parameters of TMJ between the three malocclusion groups than the males. (4) Conclusion-The present study revealed differences in the TMJ osseous morphology between dental class I and class II malocclusions in the normal skeletal pattern.
(1) 背景——本研究的目的是通过使用锥形束计算机断层扫描(CBCT)来评估不同牙颌面畸形的正常骨骼型个体的颞下颌关节(TMJ)骨形态之间的相关性。(2) 方法——本研究评估了67名骨骼I类且下颌角平均的受试者(26名男性和41名女性,年龄范围20 - 49岁)双侧TMJ的CBCT图像。根据磨牙关系和上颌切牙的后倾度将受试者分为I类、II类1分类和II类2分类。对TMJ进行角度和线性测量,并对组间差异进行统计学分析。(3) 结果——组内比较显示,错牙合组之间在关节结节倾斜度、关节窝宽度、关节窝宽度与关节窝深度之比、髁突角和髁间角方面存在统计学差异。关节窝形状的测量在左右两侧之间无显著差异。女性在三个错牙合组之间TMJ形态参数的差异比男性更多。(4) 结论——本研究揭示了正常骨骼型中牙I类和II类错牙合之间TMJ骨形态的差异。