Ghosh Abhisek, Sirinukunwattana Korsuk, Khalid Alham Nasullah, Browning Lisa, Colling Richard, Protheroe Andrew, Protheroe Emily, Jones Stephanie, Aberdeen Alan, Rittscher Jens, Verrill Clare
Department of Cellular Pathology, Oxford University Hospitals NHS Foundation Trust, John Radcliffe Hospital, Oxford OX3 9DU, UK.
Nuffield Department of Clinical and Laboratory Sciences, Oxford University, John Radcliffe Hospital, Oxford OX3 9DU, UK.
Cancers (Basel). 2021 Mar 16;13(6):1325. doi: 10.3390/cancers13061325.
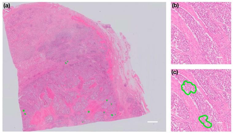
Testicular cancer is the most common cancer in men aged from 15 to 34 years. Lymphovascular invasion refers to the presence of tumours within endothelial-lined lymphatic or vascular channels, and has been shown to have prognostic significance in testicular germ cell tumours. In non-seminomatous tumours, lymphovascular invasion is the most powerful prognostic factor for stage 1 disease. For the pathologist, searching multiple slides for lymphovascular invasion can be highly time-consuming. The aim of this retrospective study was to develop and assess an artificial intelligence algorithm that can identify areas suspicious for lymphovascular invasion in histological digital whole slide images. Areas of possible lymphovascular invasion were annotated in a total of 184 whole slide images of haematoxylin and eosin (H&E) stained tissue from 19 patients with testicular germ cell tumours, including a mixture of seminoma and non-seminomatous cases. Following consensus review by specialist uropathologists, we trained a deep learning classifier for automatic segmentation of areas suspicious for lymphovascular invasion. The classifier identified 34 areas within a validation set of 118 whole slide images from 10 patients, each of which was reviewed by three expert pathologists to form a majority consensus. The precision was 0.68 for areas which were considered to be appropriate to flag, and 0.56 for areas considered to be definite lymphovascular invasion. An artificial intelligence tool which highlights areas of possible lymphovascular invasion to reporting pathologists, who then make a final judgement on its presence or absence, has been demonstrated as feasible in this proof-of-concept study. Further development is required before clinical deployment.
睾丸癌是15至34岁男性中最常见的癌症。淋巴管浸润是指肿瘤存在于内皮衬里的淋巴管或血管通道内,并且已被证明在睾丸生殖细胞肿瘤中具有预后意义。在非精原细胞瘤中,淋巴管浸润是I期疾病最有力的预后因素。对于病理学家来说,在多张切片中寻找淋巴管浸润可能非常耗时。这项回顾性研究的目的是开发和评估一种人工智能算法,该算法可以在组织学数字全切片图像中识别可疑的淋巴管浸润区域。在来自19例睾丸生殖细胞肿瘤患者的总共184张苏木精和伊红(H&E)染色组织的全切片图像中,标注了可能的淋巴管浸润区域,其中包括精原细胞瘤和非精原细胞瘤病例的混合。在经过专科泌尿病理学家的共识审查后,我们训练了一个深度学习分类器,用于自动分割可疑的淋巴管浸润区域。该分类器在来自10名患者的118张全切片图像的验证集中识别出34个区域,每个区域由三名专家病理学家进行审查以形成多数共识。对于被认为适合标记的区域,精度为0.68,对于被认为是明确的淋巴管浸润区域,精度为0.56。在这项概念验证研究中,一种向报告病理学家突出显示可能的淋巴管浸润区域,然后由其对其是否存在做出最终判断的人工智能工具已被证明是可行的。在临床应用之前还需要进一步开发。