Suppr超能文献

一例具有肾小球样特征并显示包膜黏液变性的潜在恶性不确定的滤泡性肿瘤(FT-UMP)

A Case of Follicular Tumor of Uncertain Malignant Potential (FT-UMP) with Glomeruloid Features Showing Capsular Mucinous Degeneration.

作者信息

Cabibi Daniela, Mondello Andrea, Florena Ada Maria, Rimi Giulia, Giannone Antonino Giulio, Cipolla Calogero, Valerio Maria Rosaria, Graceffa Giuseppa

机构信息

Department of Sciences for the Promotion of Health and Mother and Child Care, Anatomic Pathology, University of Palermo, Via Giovanni Pascoli, 6, 90133 Palermo, Italy.

Department of Surgical, Oncological and Oral Sciences, Via del Vespro 129, 90127 Palermo, Italy.

出版信息

Case Rep Pathol. 2021 Mar 11;2021:1686025. doi: 10.1155/2021/1686025. eCollection 2021.

Abstract

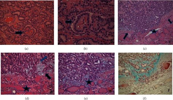
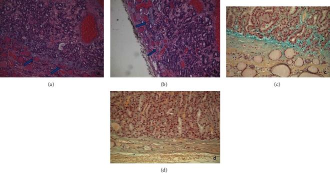
The most recent revision of the introduced a new variant of follicular thyroid carcinoma (FTC). It is characterized by a "glomeruloid" architectural pattern of growth. We present a case of follicular tumor with glomeruloid features, with Alcian Blue positive mucinous stromal degeneration in foci of questionable capsular microinvasion. At our knowledge, this the second case of glomeruloid follicular tumor in the literature and the first case in which Alcian Blue staining was used to investigate capsular invasion. Moreover, RAS mutation further supports that this is a variant of follicular tumor with uncertain malignant potential.

摘要

最近对[相关内容]的修订引入了滤泡性甲状腺癌(FTC)的一种新变体。其特征为“肾小球样”生长结构模式。我们报告一例具有肾小球样特征的滤泡性肿瘤病例,在可疑包膜微浸润灶中有阿尔辛蓝阳性黏液性间质变性。据我们所知,这是文献中第二例肾小球样滤泡性肿瘤病例,也是第一例使用阿尔辛蓝染色来研究包膜侵犯的病例。此外,RAS突变进一步支持这是一种具有不确定恶性潜能的滤泡性肿瘤变体。

https://cdn.ncbi.nlm.nih.gov/pmc/blobs/7673/8016592/ca54d775b31b/CRIPA2021-1686025.001.jpg

文献检索

告别复杂PubMed语法,用中文像聊天一样搜索,搜遍4000万医学文献。AI智能推荐,让科研检索更轻松。

立即免费搜索

文件翻译

保留排版,准确专业,支持PDF/Word/PPT等文件格式,支持 12+语言互译。

免费翻译文档

深度研究

AI帮你快速写综述,25分钟生成高质量综述,智能提取关键信息,辅助科研写作。

立即免费体验