• 文献检索
  • 文档翻译
  • 深度研究
  • 学术资讯
  • Suppr Zotero 插件Zotero 插件
  • 邀请有礼
  • 套餐&价格
  • 历史记录
应用&插件
Suppr Zotero 插件Zotero 插件浏览器插件Mac 客户端Windows 客户端微信小程序
定价
高级版会员购买积分包购买API积分包
服务
文献检索文档翻译深度研究API 文档MCP 服务
关于我们
关于 Suppr公司介绍联系我们用户协议隐私条款
关注我们

Suppr 超能文献

核心技术专利:CN118964589B侵权必究
粤ICP备2023148730 号-1Suppr @ 2026

文献检索

告别复杂PubMed语法,用中文像聊天一样搜索,搜遍4000万医学文献。AI智能推荐,让科研检索更轻松。

立即免费搜索

文件翻译

保留排版,准确专业,支持PDF/Word/PPT等文件格式,支持 12+语言互译。

免费翻译文档

深度研究

AI帮你快速写综述,25分钟生成高质量综述,智能提取关键信息,辅助科研写作。

立即免费体验

Tracheoesophageal Fistula in a COVID-19 Ventilated Patient: A Challenging Therapeutic Decision.

作者信息

Rosati Riccardo, De Nardi Paola, Dell'Acqua Antonio, Calvi Maria Rosa, Elmore Ugo, Scarparo Elena, Beretta Luigi

机构信息

Gastrointestinal Surgery, IRCCS San Raffaele Scientific Institute, Milan, Italy.

School of Medicine, Vita-Salute San Raffaele University, Milan, Italy.

出版信息

Case Rep Surg. 2021 Mar 30;2021:6645518. doi: 10.1155/2021/6645518. eCollection 2021.

DOI:10.1155/2021/6645518
PMID:33833892
原文链接:https://pmc.ncbi.nlm.nih.gov/articles/PMC8014238/
Abstract

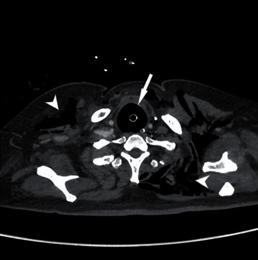
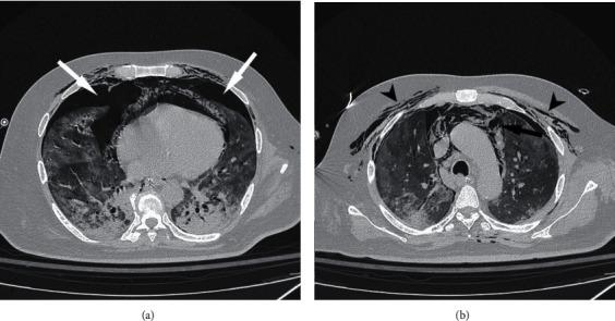
COVID-19 associated severe respiratory failure frequently requires admission to an intensive care unit, tracheal intubation, and mechanical ventilation. Among the risks of prolonged mechanical ventilation under these conditions, there is the development of tracheoesophageal fistula. We describe a case of a severe COVID-19 associated respiratory failure, who developed a tracheoesophageal fistula. We hypothesized that one of the mechanisms for tracheoesophageal fistula, along with other local and general risk factors, is the local infection due to the location of the virus itself in the tracheobronchial tree. The patient was managed successfully with surgical intervention. This case highlights the increased risk of this potentially life-threatening complication among the COVID-19 patient cohort and suggests a management strategy.

摘要
https://cdn.ncbi.nlm.nih.gov/pmc/blobs/2c85/8014238/94372e58ede1/CRIS2021-6645518.003.jpg
https://cdn.ncbi.nlm.nih.gov/pmc/blobs/2c85/8014238/4d346df252ca/CRIS2021-6645518.001.jpg
https://cdn.ncbi.nlm.nih.gov/pmc/blobs/2c85/8014238/9118d9ac8c0e/CRIS2021-6645518.002.jpg
https://cdn.ncbi.nlm.nih.gov/pmc/blobs/2c85/8014238/94372e58ede1/CRIS2021-6645518.003.jpg
https://cdn.ncbi.nlm.nih.gov/pmc/blobs/2c85/8014238/4d346df252ca/CRIS2021-6645518.001.jpg
https://cdn.ncbi.nlm.nih.gov/pmc/blobs/2c85/8014238/9118d9ac8c0e/CRIS2021-6645518.002.jpg
https://cdn.ncbi.nlm.nih.gov/pmc/blobs/2c85/8014238/94372e58ede1/CRIS2021-6645518.003.jpg

相似文献

1
Tracheoesophageal Fistula in a COVID-19 Ventilated Patient: A Challenging Therapeutic Decision.
Case Rep Surg. 2021 Mar 30;2021:6645518. doi: 10.1155/2021/6645518. eCollection 2021.
2
Tracheoesophageal fistula in a COVID-19 patient.一名新冠肺炎患者出现气管食管瘘。
Saudi J Anaesth. 2021 Oct-Dec;15(4):447-449. doi: 10.4103/sja.sja_294_21. Epub 2021 Sep 2.
3
Early presentation of postintubation tracheoesophageal fistula: Perioperative anesthetic management.
J Anaesthesiol Clin Pharmacol. 2012 Jan;28(1):114-6. doi: 10.4103/0970-9185.92460.
4
Tracheoesophageal fistula--a complication of prolonged tracheal intubation.气管食管瘘——长期气管插管的一种并发症。
J Med Life. 2014 Oct-Dec;7(4):516-21.
5
Surgical treatment of tracheoesophageal fistula in a patient with severe acute respiratory syndrome complicated with extensive pulmonary fibrosis.
J Formos Med Assoc. 2004 Dec;103(12):932-4.
6
Tracheoesophageal fistula.气管食管瘘
Chest Surg Clin N Am. 2003 May;13(2):271-89. doi: 10.1016/s1052-3359(03)00030-9.
7
Endoscopic Occlusion of Tracheoesophageal Fistula in Ventilated Patients Using an Amplatzer Septal Occluder.使用Amplatzer房间隔封堵器对通气患者的气管食管瘘进行内镜封堵
Indian J Otolaryngol Head Neck Surg. 2015 Jun;67(2):196-9. doi: 10.1007/s12070-015-0842-7. Epub 2015 Mar 11.
8
Surgery and perioperative management for post-intubation tracheoesophageal fistula: case series analysis.气管插管后气管食管瘘的手术及围手术期管理:病例系列分析
J Thorac Dis. 2017 Feb;9(2):278-286. doi: 10.21037/jtd.2017.02.17.
9
Management of acquired nonmalignant tracheoesophageal fistula.后天性非恶性气管食管瘘的管理
Ann Thorac Surg. 1991 Oct;52(4):759-65. doi: 10.1016/0003-4975(91)91207-c.
10
A novel intubation technique for tracheoesophageal fistula in adults.一种用于成人气管食管瘘的新型插管技术。
Can J Anaesth. 1999 Jul;46(7):688-91. doi: 10.1007/BF03013960.

引用本文的文献

1
Developing an innovative interventional approach for stenting trachea.开发一种用于气管支架置入的创新介入方法。
BMJ Surg Interv Health Technol. 2025 May 8;7(1):e000180. doi: 10.1136/bmjsit-2022-000180. eCollection 2025.
2
Not only acute respiratory failure: COVID-19 and the post-intubation/tracheostomy upper airways lesions.不仅是急性呼吸衰竭:新型冠状病毒肺炎与插管/气管切开术后上气道病变
Front Surg. 2023 Mar 31;10:1150254. doi: 10.3389/fsurg.2023.1150254. eCollection 2023.
3
Tracheoesophageal fistulas in coronavirus disease 2019 pandemic: A case report.

本文引用的文献

1
Severe acute respiratory syndrome coronavirus-2 (SARS-CoV-2) and coronavirus disease 19 (COVID-19) - anatomic pathology perspective on current knowledge.严重急性呼吸综合征冠状病毒 2 型(SARS-CoV-2)和 2019 冠状病毒病(COVID-19)——当前知识的解剖病理学视角。
Diagn Pathol. 2020 Aug 14;15(1):103. doi: 10.1186/s13000-020-01017-8.
2
Systematic review of international guidelines for tracheostomy in COVID-19 patients.COVID-19 患者气管切开术国际指南的系统评价。
Oral Oncol. 2020 Sep;108:104844. doi: 10.1016/j.oraloncology.2020.104844. Epub 2020 Jun 5.
3
Use of Tracheostomy During the COVID-19 Pandemic: American College of Chest Physicians/American Association for Bronchology and Interventional Pulmonology/Association of Interventional Pulmonology Program Directors Expert Panel Report.
2019冠状病毒病大流行期间的气管食管瘘:一例报告。
World J Gastrointest Endosc. 2022 Oct 16;14(10):628-635. doi: 10.4253/wjge.v14.i10.628.
4
Tracheo-esophageal fistula and pleural empyema in the course of SARS-CoV-2 infection-A case report.新型冠状病毒肺炎感染过程中并发气管食管瘘和胸腔积脓——一例报告
Clin Case Rep. 2022 Oct 3;10(10):e6400. doi: 10.1002/ccr3.6400. eCollection 2022 Oct.
5
Implanting jejunostomy tube as conservative management of tracheoesophageal fistula in a COVID-19 patient.为一名新冠肺炎患者植入空肠造瘘管作为气管食管瘘的保守治疗方法。
Clin Case Rep. 2021 Dec 4;9(12):e05151. doi: 10.1002/ccr3.5151. eCollection 2021 Dec.
COVID-19 大流行期间的气管切开术使用:美国胸科医师学会/美国支气管镜和介入肺脏病学会/介入肺脏病学项目主任协会专家小组报告。
Chest. 2020 Oct;158(4):1499-1514. doi: 10.1016/j.chest.2020.05.571. Epub 2020 Jun 6.
4
Mortality and pulmonary complications in patients undergoing surgery with perioperative SARS-CoV-2 infection: an international cohort study.围手术期 SARS-CoV-2 感染患者的死亡率和肺部并发症:一项国际队列研究。
Lancet. 2020 Jul 4;396(10243):27-38. doi: 10.1016/S0140-6736(20)31182-X. Epub 2020 May 29.
5
Pneumomediastinum following intubation in COVID-19 patients: a case series.COVID-19 患者插管后出现纵隔气肿:病例系列。
Anaesthesia. 2020 Aug;75(8):1076-1081. doi: 10.1111/anae.15113. Epub 2020 Jun 11.
6
A Novel Coronavirus from Patients with Pneumonia in China, 2019.2019 年中国肺炎患者中的一种新型冠状病毒。
N Engl J Med. 2020 Feb 20;382(8):727-733. doi: 10.1056/NEJMoa2001017. Epub 2020 Jan 24.
7
Management of Acquired Benign Tracheoesophageal Fistulae.后天性良性气管食管瘘的管理
Thorac Surg Clin. 2018 Aug;28(3):385-392. doi: 10.1016/j.thorsurg.2018.05.004.
8
Complications of airway management.气道管理的并发症。
Respir Care. 2014 Jun;59(6):1006-19; discussion 1019-21. doi: 10.4187/respcare.02884.
9
Surgical management of acquired nonmalignant tracheoesophageal and bronchoesophageal fistulae.后天性非恶性气管食管及支气管食管瘘的外科治疗。
Ann Thorac Surg. 2010 Sep;90(3):914-8; discussion 919. doi: 10.1016/j.athoracsur.2010.05.061.
10
Review of tracheo-esophageal fistula associated with endotracheal intubation.
J Surg Educ. 2007 Jul-Aug;64(4):237-40. doi: 10.1016/j.jsurg.2007.05.004.