• 文献检索
  • 文档翻译
  • 深度研究
  • 学术资讯
  • Suppr Zotero 插件Zotero 插件
  • 邀请有礼
  • 套餐&价格
  • 历史记录
应用&插件
Suppr Zotero 插件Zotero 插件浏览器插件Mac 客户端Windows 客户端微信小程序
定价
高级版会员购买积分包购买API积分包
服务
文献检索文档翻译深度研究API 文档MCP 服务
关于我们
关于 Suppr公司介绍联系我们用户协议隐私条款
关注我们

Suppr 超能文献

核心技术专利:CN118964589B侵权必究
粤ICP备2023148730 号-1Suppr @ 2026

文献检索

告别复杂PubMed语法,用中文像聊天一样搜索,搜遍4000万医学文献。AI智能推荐,让科研检索更轻松。

立即免费搜索

文件翻译

保留排版,准确专业,支持PDF/Word/PPT等文件格式,支持 12+语言互译。

免费翻译文档

深度研究

AI帮你快速写综述,25分钟生成高质量综述,智能提取关键信息,辅助科研写作。

立即免费体验

种植体对邻牙造成损伤的长期临床结果。

Long term clinical result of implant induced injury on the adjacent tooth.

作者信息

Yi Yang-Jin, Park In-Woo, Ku Jeong-Kui, Jo Deuk-Won, Han Jung-Suk, Kim Young-Kyun

机构信息

Department of Prosthodontics, Section of Dentistry, Seoul National University Bundang Hospital, 82, Gumi-ro 173 beon-gil, Bundang-gu, Seongnam, Korea.

Department of Dentistry and Dental Research Institute, School of Dentistry, Seoul National University, 101, Daehak-ro Jongno-gu, Seoul, Korea.

出版信息

Sci Rep. 2021 Apr 12;11(1):7913. doi: 10.1038/s41598-021-87062-9.

DOI:10.1038/s41598-021-87062-9
PMID:33846470
原文链接:https://pmc.ncbi.nlm.nih.gov/articles/PMC8041840/
Abstract

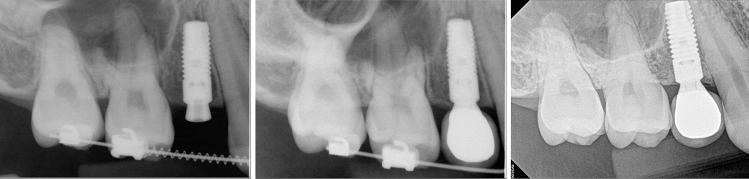
The purpose of the retrospective study was to investigate the long-term result of implant-induced injury on the adjacent tooth. The subjects of this retrospective study were patients who had received implants and had tooth injury; direct invasion of root (group I), root surface contact (group II), or < 1 mm distance of the implant from the root (group III). Clinical and pathological changes were periodically examined using radiographs and intra-oral examinations. Paired t-tests and chi-square tests were used to evaluate the implant stability quotient (ISQ) of implant and tooth complications, respectively (α = 0.05). A total of 32 implants and teeth in 28 patients were observed for average 122.7 (± 31.7, minimum 86) months. Seven teeth, three of which were subsequently extracted, needed root canal treatment. Finally, 90.6% of the injured teeth remained functional. Complications were significant and varied according to the group, with group I showing higher events than the others. The ISQs increased significantly. One implant in group I resulted in osseointegration failure. The implant survival rate was 96.9%. In conclusion, it was found even when a tooth is injured by an implant, immediate extraction is unnecessary, and the osseointegration of the invading implant is also predictable.

摘要

这项回顾性研究的目的是调查种植体对邻牙造成损伤的长期结果。该回顾性研究的对象是接受过种植体植入且存在牙齿损伤的患者;包括牙根直接受侵(I组)、牙根表面接触(II组)或种植体与牙根距离<1mm(III组)。通过X线片和口腔内检查定期观察临床和病理变化。分别采用配对t检验和卡方检验评估种植体的种植体稳定性商数(ISQ)和牙齿并发症(α=0.05)。共观察了28例患者的32颗种植体和牙齿,平均观察时间为122.7(±31.7,最短86)个月。7颗牙齿需要进行根管治疗,其中3颗随后被拔除。最后,90.6%的受伤牙齿仍保持功能。并发症明显且因组而异,I组的并发症发生率高于其他组。ISQ值显著增加。I组中有1颗种植体发生骨结合失败。种植体存活率为96.9%。总之,研究发现即使牙齿受到种植体损伤,也无需立即拔除,侵入性种植体的骨结合情况也是可预测的。

https://cdn.ncbi.nlm.nih.gov/pmc/blobs/1a2c/8041840/990243ec4a13/41598_2021_87062_Fig4_HTML.jpg
https://cdn.ncbi.nlm.nih.gov/pmc/blobs/1a2c/8041840/0d1cdfc0d127/41598_2021_87062_Fig1_HTML.jpg
https://cdn.ncbi.nlm.nih.gov/pmc/blobs/1a2c/8041840/88cfc0485953/41598_2021_87062_Fig2_HTML.jpg
https://cdn.ncbi.nlm.nih.gov/pmc/blobs/1a2c/8041840/6b44dd8af82f/41598_2021_87062_Fig3_HTML.jpg
https://cdn.ncbi.nlm.nih.gov/pmc/blobs/1a2c/8041840/990243ec4a13/41598_2021_87062_Fig4_HTML.jpg
https://cdn.ncbi.nlm.nih.gov/pmc/blobs/1a2c/8041840/0d1cdfc0d127/41598_2021_87062_Fig1_HTML.jpg
https://cdn.ncbi.nlm.nih.gov/pmc/blobs/1a2c/8041840/88cfc0485953/41598_2021_87062_Fig2_HTML.jpg
https://cdn.ncbi.nlm.nih.gov/pmc/blobs/1a2c/8041840/6b44dd8af82f/41598_2021_87062_Fig3_HTML.jpg
https://cdn.ncbi.nlm.nih.gov/pmc/blobs/1a2c/8041840/990243ec4a13/41598_2021_87062_Fig4_HTML.jpg

相似文献

1
Long term clinical result of implant induced injury on the adjacent tooth.种植体对邻牙造成损伤的长期临床结果。
Sci Rep. 2021 Apr 12;11(1):7913. doi: 10.1038/s41598-021-87062-9.
2
Posterior implant single-tooth replacement and status of adjacent teeth during a 10-year period: a retrospective report.后牙种植单颗牙修复及邻牙在10年期间的状况:一项回顾性报告。
J Periodontol. 2008 Dec;79(12):2378-82. doi: 10.1902/jop.2008.080188.
3
Survival Rates of Implants That Have Compromised the Adjacent Teeth and the Associated Complications: An Opg Retrospective Study.影响邻牙的种植体存活率及相关并发症:一项口腔全景片回顾性研究
J Oral Implantol. 2022 Oct 1;48(5):375-385. doi: 10.1563/aaid-joi-D-20-00263.
4
Prevalence of Decay and Tooth Condition Changes Adjacent to Restored Dental Implants: A Retrospective Radiographic Study.修复牙种植体周围牙体组织衰变及状况变化的流行率:一项回顾性放射学研究。
J Oral Implantol. 2024 Oct 1;50(5):474-480. doi: 10.1563/aaid-joi-D-24-00044.
5
The effect of single tooth implant restorations on the survival, morbidity, pulpal, and periapical health of adjacent teeth: A chart review.单颗牙种植修复对邻牙的生存、发病率、牙髓和根尖周健康的影响:一项图表回顾。
Clin Implant Dent Relat Res. 2018 Aug;20(4):479-482. doi: 10.1111/cid.12626. Epub 2018 Jun 19.
6
The consequences and outcomes associated with dental implants encroaching on adjacent teeth.种植体侵犯相邻牙齿的后果和结局。
Clin Implant Dent Relat Res. 2021 Dec;23(6):851-856. doi: 10.1111/cid.13047. Epub 2021 Oct 7.
7
Effect of posterior implant restorations on adjacent teeth and tissues: A case-control study.种植体修复对邻牙及邻接组织的影响:一项病例对照研究。
Clin Implant Dent Relat Res. 2023 Jun;25(3):473-480. doi: 10.1111/cid.13207. Epub 2023 Apr 24.
8
Dental implants: early versus standard two-stage loading (animal study).牙种植体:早期与标准两阶段加载(动物研究)。
J Oral Implantol. 2014 Feb;40(1):84-93. doi: 10.1563/AAID-JOI-D-10-00202. Epub 2012 Jan 3.
9
A retrospective radiographic study on the effect of natural tooth-implant proximity and an introduction to the concept of a bone-loading platform switch.一项关于天然牙与种植体相邻关系影响的回顾性影像学研究及骨加载平台转换概念介绍。
Int J Oral Maxillofac Implants. 2014 Nov-Dec;29(6):1412-24. doi: 10.11607/jomi.3699.
10
Implant stability measurements for implants placed at the time of extraction: a cohort, prospective clinical trial.拔牙时同期植入种植体的稳定性测量:一项队列前瞻性临床试验。
J Periodontol. 2005 Mar;76(3):391-7. doi: 10.1902/jop.2005.76.3.391.

引用本文的文献

1
Evaluation of virtual handles for dental implant manipulation in virtual reality implant planning procedure.评估虚拟现实中牙科种植体操作的虚拟手柄在虚拟种植体规划程序中的应用。
Int J Comput Assist Radiol Surg. 2022 Sep;17(9):1723-1730. doi: 10.1007/s11548-022-02693-1. Epub 2022 Jun 22.
2
Evaluation of voice commands for mode change in virtual reality implant planning procedure.虚拟现实植入规划程序中模式更改的语音命令评估。
Int J Comput Assist Radiol Surg. 2022 Nov;17(11):1981-1989. doi: 10.1007/s11548-022-02685-1. Epub 2022 Jun 15.
3
Long-term evaluation of the prognosis of super hydrophilic surface treated CA implants: a retrospective clinical study.

本文引用的文献

1
Positioning errors of dental implants and their associations with adjacent structures and anatomical variations: A CBCT-based study.牙种植体的位置误差及其与相邻结构和解剖变异的关联:一项基于锥形束计算机断层扫描的研究。
Imaging Sci Dent. 2020 Dec;50(4):281-290. doi: 10.5624/isd.2020.50.4.281. Epub 2020 Dec 15.
2
Dental roots' and surrounding structures' response after contact with orthodontic mini implants: A systematic literature review.正畸微型种植体接触后牙根及周围结构的反应:一项系统的文献综述。
Stomatologija. 2018;20(3):73-81.
3
Healing of root and surrounding periodontium after root damage with miniscrew implants: a histomorphologic study in dogs.
超亲水表面处理 CA 种植体预后的长期评估:回顾性临床研究。
BMC Oral Health. 2022 Mar 29;22(1):97. doi: 10.1186/s12903-022-02142-0.
微螺钉种植体对牙根及周围牙周组织损伤后的愈合:犬的组织形态学研究。
Clin Oral Investig. 2018 Mar;22(2):1103-1111. doi: 10.1007/s00784-017-2194-z. Epub 2017 Aug 31.
4
Implant Injury Case Series and Review of the Literature Part 1: Inferior Alveolar Nerve Injury.种植体损伤病例系列及文献综述 第1部分:下牙槽神经损伤
J Oral Implantol. 2015 Aug;41(4):e144-51. doi: 10.1563/aaid-joi-D-14-00022. Epub 2014 Jun 19.
5
Prognosis and evaluation of tooth damage caused by implant fixtures.种植体固定装置所致牙齿损伤的预后与评估
J Korean Assoc Oral Maxillofac Surg. 2013 Jun;39(3):144-7. doi: 10.5125/jkaoms.2013.39.3.144. Epub 2013 Jun 25.
6
Root damage and repair in patients with temporary skeletal anchorage devices.患者临时骨锚固装置中的根损伤和修复。
Am J Orthod Dentofacial Orthop. 2012 May;141(5):547-55. doi: 10.1016/j.ajodo.2011.11.014.
7
Histologic evaluation of root-surface healing after root contact or approximation during placement of mini-implants.种植体植入过程中,根面接触或接近对根面愈合的组织学评估。
Am J Orthod Dentofacial Orthop. 2011 Jun;139(6):752-60. doi: 10.1016/j.ajodo.2009.06.042.
8
Healing of the roots and surrounding structures after intentional damage with miniscrew implants.微型螺钉种植体故意损伤后牙根及周围结构的愈合情况。
Am J Orthod Dentofacial Orthop. 2009 Mar;135(3):292-301. doi: 10.1016/j.ajodo.2008.06.023.
9
Effects of intentional damage of the roots and surrounding structures with miniscrew implants.微螺钉种植体对牙根及周围结构的故意损伤的影响
Am J Orthod Dentofacial Orthop. 2009 Mar;135(3):280.e1-9; discussion 280-1. doi: 10.1016/j.ajodo.2008.06.022.
10
Stability of mini-screws invading the dental roots and their impact on the paradental tissues in beagles.
Angle Orthod. 2009 Mar;79(2):248-55. doi: 10.2319/122007-413.1.