Suppr超能文献

格雷夫斯眼眶病患者行眶下内侧壁减压术及内侧壁联合外侧壁平衡减压术后的眼球运动变化:一项随机前瞻性对照研究

Ocular motility changes after inferomedial wall and balanced medial plus lateral wall orbital decompression in Graves' orbitopathy: a randomized prospective comparative study.

作者信息

Leite Cristiane de Almeida, Pereira Thaís de Sousa, Chiang Jeane, Moritz Rodrigo Bernal, Gonçalves Allan Christian Pieroni, Monteiro Mário Luiz Ribeiro

机构信息

Laboratorio de Investigacao em Oftalmologia (LIM 33), Divisao de Oftalmologia, Faculdade de Medicina FMUSP, Universidade de Sao Paulo, Sao Paulo, SP, BR.

出版信息

Clinics (Sao Paulo). 2021 Apr 9;76:e2592. doi: 10.6061/clinics/2021/e2592. eCollection 2021.

Abstract

OBJECTIVES

To compare the surgical outcomes of inferomedial wall orbital decompression (IM-OD) and balanced medial plus lateral wall orbital decompression (ML-OD) in patients with inactive Graves' orbitopathy (GO) with regard to exophthalmos reduction and ocular motility abnormalities.

METHODS

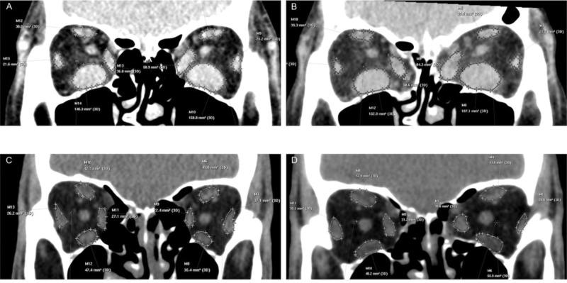
Forty-two patients with inactive GO eligible for OD were randomly assigned to either the IM-OD or ML-OD groups. Pre and postoperative evaluations included Hertel exophthalmometry, sensory, and motor extraocular motility assessment, standardized photographs in the nine gaze positions, and computed tomography (CT) of the orbits. ClinicalTrials.gov: NCT03278964.

RESULTS

Exophthalmometry reduction was statistically significant in both groups (p<0.001), but was greater in the ML-OD group (p=0.010). New-onset esotropia occurred in 11.1% and 23.5% of patients who underwent IM-OD and ML-OD, respectively, with no statistically significant difference in the frequency of pre and postoperative strabismus in either group. The mean increase in preoperative esotropia was 24±6.9 and 12±8.8 prism diopters in patients who underwent IM-OD and ML-OD, respectively. In the IM-OD group, abduction and elevation worsened at the first (p<0.05) and third (p<0.05) postoperative visits but were restored at 6 months. The versions did not change postoperatively with ML-OD. The preoperative CT-measured medial rectus muscle area predicted new-onset strabismus (p=0.023). Significant postoperative medial rectus muscle enlargement occurred in both groups (p<0.001). Restriction in elevation and abduction was significantly associated with enlarged inferior (p=0.007) and medial rectus muscle areas (p=0.002).

CONCLUSIONS

IM-OD is as safe as ML-OD with regard to new-onset strabismus, and represents a good alternative for patients who do not require significant exophthalmos reduction. ML-OD offers greater exophthalmos reduction and smoother postoperative recovery. Patients with preoperative enlarged medial rectus muscle on CT are at risk for new-onset esotropia, and preoperative esotropia is likely to increase after OD.

摘要

目的

比较下内侧壁眼眶减压术(IM-OD)和内侧壁联合外侧壁平衡眼眶减压术(ML-OD)对静止期Graves眼病(GO)患者眼球突出度降低和眼球运动异常的手术效果。

方法

42例符合眼眶减压术条件的静止期GO患者被随机分为IM-OD组或ML-OD组。术前和术后评估包括Hertel眼球突出计测量、感觉和运动性眼外肌运动评估、九个注视位置的标准化照片以及眼眶计算机断层扫描(CT)。ClinicalTrials.gov:NCT03278964。

结果

两组患者的眼球突出度降低均具有统计学意义(p<0.001),但ML-OD组降低幅度更大(p=0.010)。接受IM-OD和ML-OD的患者分别有11.1%和23.5%发生了新发内斜视,两组术前和术后斜视发生率无统计学差异。接受IM-OD和ML-OD的患者术前内斜视平均增加量分别为24±6.9和12±8.8棱镜度。在IM-OD组,术后第一次(p<0.05)和第三次(p<0.05)随访时外展和上抬功能恶化,但在6个月时恢复。ML-OD术后各方向运动功能未发生改变。术前CT测量的内直肌面积可预测新发斜视(p=0.023)。两组术后内直肌均有明显增大(p<0.001)。上抬和外展受限与下直肌(p=0.007)和内直肌面积增大(p=0.002)显著相关。

结论

在新发斜视方面,IM-OD与ML-OD一样安全,对于不需要显著降低眼球突出度的患者是一个很好的选择。ML-OD能更大程度地降低眼球突出度,术后恢复更平稳。术前CT显示内直肌增大的患者有新发内斜视的风险,眼眶减压术后术前的内斜视可能会加重。

https://cdn.ncbi.nlm.nih.gov/pmc/blobs/e0ab/8009066/20df4c7434ac/cln-76-e2592-g001.jpg

文献检索

告别复杂PubMed语法,用中文像聊天一样搜索,搜遍4000万医学文献。AI智能推荐,让科研检索更轻松。

立即免费搜索

文件翻译

保留排版,准确专业,支持PDF/Word/PPT等文件格式,支持 12+语言互译。

免费翻译文档

深度研究

AI帮你快速写综述,25分钟生成高质量综述,智能提取关键信息,辅助科研写作。

立即免费体验