Suppr超能文献

恶唑酮诱导的胃肠道疾病会增强小鼠中AA淀粉样变性的经口传播。

Oxazolone-induced gastrointestinal disorders enhance the oral transmission of AA amyloidosis in mice.

作者信息

Kobayashi Hiroto, Iwaide Susumu, Ujike Naoki, Murakami Tomoaki

机构信息

Laboratory of Veterinary Toxicology, Cooperative Department of Veterinary Medicine, Tokyo University of Agriculture and Technology, 3-5-8 Saiwai-cho, Fuchu, Tokyo 183-8509, Japan.

出版信息

J Vet Med Sci. 2021 Jun 9;83(6):935-939. doi: 10.1292/jvms.21-0022. Epub 2021 Apr 20.

Abstract

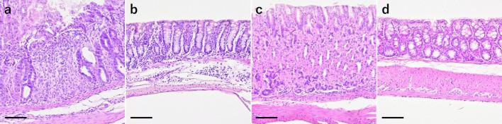
Amyloid A (AA) amyloidosis is a lethal disease characterized by systemic AA amyloid deposition, and is reported in many animal species. Despite experiments have shown that AA amyloidosis can be transmitted orally, horizontal transmission and cross-species transmission are concerns, the transmission mechanism has been unknown. In this study, we examined the oral transmission efficiency of AA amyloidosis using oxazolone-induced gastrointestinal disorder mice. As a result, the upper or lower gastrointestinal disorder groups developed more severe amyloid deposition in systemic tissues than the group without gastrointestinal disorders. The results of this study suggest that gastrointestinal damage promotes the oral transmission of AA amyloidosis.

摘要

淀粉样蛋白A(AA)淀粉样变性是一种以全身性AA淀粉样蛋白沉积为特征的致死性疾病,在许多动物物种中都有报道。尽管实验表明AA淀粉样变性可经口传播,但水平传播和跨物种传播仍令人担忧,其传播机制一直不明。在本研究中,我们使用恶唑酮诱导的胃肠功能紊乱小鼠检测了AA淀粉样变性的经口传播效率。结果显示,与无胃肠功能紊乱的组相比,上消化道或下消化道功能紊乱组在全身组织中出现了更严重的淀粉样蛋白沉积。本研究结果表明,胃肠道损伤促进了AA淀粉样变性的经口传播。

https://cdn.ncbi.nlm.nih.gov/pmc/blobs/c692/8267199/746d0d5c17eb/jvms-83-935-g001.jpg

相似文献

1
Oxazolone-induced gastrointestinal disorders enhance the oral transmission of AA amyloidosis in mice.
J Vet Med Sci. 2021 Jun 9;83(6):935-939. doi: 10.1292/jvms.21-0022. Epub 2021 Apr 20.
2
Experimental model of oral transmissible AA amyloidosis in quails.
Avian Pathol. 2019 Dec;48(6):521-527. doi: 10.1080/03079457.2019.1632414. Epub 2019 Aug 28.
3
Transmission of systemic AA amyloidosis in animals.
Vet Pathol. 2014 Mar;51(2):363-71. doi: 10.1177/0300985813511128. Epub 2013 Nov 26.
4
Systemic AA amyloidosis as a prion-like disorder.
Virus Res. 2015 Sep 2;207:76-81. doi: 10.1016/j.virusres.2014.12.019. Epub 2014 Dec 19.
6
Spontaneous, Experimentally Induced, and Transmissible AA Amyloidosis in Japanese Quail ( Coturnix japonica).
Vet Pathol. 2017 Nov;54(6):912-921. doi: 10.1177/0300985817723692. Epub 2017 Aug 16.
7
Serum amyloid A and protein AA: molecular mechanisms of a transmissible amyloidosis.
FEBS Lett. 2009 Aug 20;583(16):2685-90. doi: 10.1016/j.febslet.2009.04.026. Epub 2009 Apr 23.
8
Species-barrier on the cross-species oral transmission of bovine AA amyloidosis in mice.
J Vet Med Sci. 2021 Jul 10;83(6):962-967. doi: 10.1292/jvms.20-0713. Epub 2021 Apr 28.
9
AA-amyloidosis in cats (Felis catus) housed in shelters.
PLoS One. 2023 Mar 29;18(3):e0281822. doi: 10.1371/journal.pone.0281822. eCollection 2023.

引用本文的文献

1
Surveillance of amyloid A deposits in commercial beef liver and assessment of food hygiene risks.
J Vet Med Sci. 2025 Aug 1;87(8):887-893. doi: 10.1292/jvms.25-0177. Epub 2025 Jun 12.
2
Local administration of amyloid enhancing factor initiates in situ amyloid A deposition followed by systemic lesions in mice.
Exp Anim. 2023 May 17;72(2):218-223. doi: 10.1538/expanim.22-0125. Epub 2022 Nov 23.

本文引用的文献

1
AA Amyloid Deposition in the Central and Peripheral Nervous Systems in Flamingos.
Vet Pathol. 2020 Sep;57(5):700-705. doi: 10.1177/0300985820939976. Epub 2020 Jul 17.
2
Experimental model of oral transmissible AA amyloidosis in quails.
Avian Pathol. 2019 Dec;48(6):521-527. doi: 10.1080/03079457.2019.1632414. Epub 2019 Aug 28.
3
A guide to histomorphological evaluation of intestinal inflammation in mouse models.
Int J Clin Exp Pathol. 2014 Jul 15;7(8):4557-76. eCollection 2014.
4
Transmission of systemic AA amyloidosis in animals.
Vet Pathol. 2014 Mar;51(2):363-71. doi: 10.1177/0300985813511128. Epub 2013 Nov 26.
5
Experimental induction and oral transmission of avian AA amyloidosis in vaccinated white hens.
Amyloid. 2013 Jun;20(2):80-5. doi: 10.3109/13506129.2013.783474. Epub 2013 Apr 2.
6
M cell-depletion blocks oral prion disease pathogenesis.
Mucosal Immunol. 2012 Mar;5(2):216-25. doi: 10.1038/mi.2011.68. Epub 2012 Feb 1.
7
Minor oral lesions facilitate transmission of chronic wasting disease.
J Virol. 2011 Feb;85(3):1396-9. doi: 10.1128/JVI.01655-10. Epub 2010 Nov 17.
8
Susceptibility to AA amyloidosis in rheumatic diseases: a critical overview.
Arthritis Rheum. 2009 Oct 15;61(10):1435-40. doi: 10.1002/art.24735.
9
Bacterial colitis increases susceptibility to oral prion disease.
J Infect Dis. 2009 Jan 15;199(2):243-52. doi: 10.1086/595791.
10

文献AI研究员

20分钟写一篇综述,助力文献阅读效率提升50倍。

立即体验

用中文搜PubMed

大模型驱动的PubMed中文搜索引擎

马上搜索

文档翻译

学术文献翻译模型,支持多种主流文档格式。

立即体验