• 文献检索
  • 文档翻译
  • 深度研究
  • 学术资讯
  • Suppr Zotero 插件Zotero 插件
  • 邀请有礼
  • 套餐&价格
  • 历史记录
应用&插件
Suppr Zotero 插件Zotero 插件浏览器插件Mac 客户端Windows 客户端微信小程序
定价
高级版会员购买积分包购买API积分包
服务
文献检索文档翻译深度研究API 文档MCP 服务
关于我们
关于 Suppr公司介绍联系我们用户协议隐私条款
关注我们

Suppr 超能文献

核心技术专利:CN118964589B侵权必究
粤ICP备2023148730 号-1Suppr @ 2026

文献检索

告别复杂PubMed语法,用中文像聊天一样搜索,搜遍4000万医学文献。AI智能推荐,让科研检索更轻松。

立即免费搜索

文件翻译

保留排版,准确专业,支持PDF/Word/PPT等文件格式,支持 12+语言互译。

免费翻译文档

深度研究

AI帮你快速写综述,25分钟生成高质量综述,智能提取关键信息,辅助科研写作。

立即免费体验

小麦-黑麦和小麦-坑3Ns(3D)代换系异同的分子细胞遗传学与农艺学特征分析

Molecular Cytogenetic and Agronomic Characterization of the Similarities and Differences Between Wheat- Trin. and Wheat- Keng 3Ns (3D) Substitution Lines.

作者信息

Li Jiachuang, Li Jiaojiao, Cheng Xueni, Zhao Li, Yang Zujun, Wu Jun, Yang Qunhui, Chen Xinhong, Zhao Jixin

机构信息

Shaanxi Key Laboratory of Plant Genetic Engineering Breeding, College of Agronomy, Northwest A&F University, Xianyang, China.

College of Life Sciences, Northwest A&F University, Xianyang, China.

出版信息

Front Plant Sci. 2021 Mar 31;12:644896. doi: 10.3389/fpls.2021.644896. eCollection 2021.

DOI:10.3389/fpls.2021.644896
PMID:33897735
原文链接:https://pmc.ncbi.nlm.nih.gov/articles/PMC8061751/
Abstract

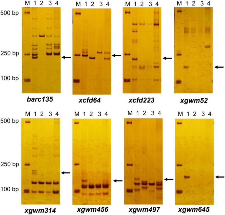
Keng (2 = 2 = 14, NsNs) and Trin. (2 = 4 = 28, NsNsXmXm) are valuable resources for wheat breeding improvement as they share the Ns genome, which contains diverse resistance genes. To explore the behaviors and traits of Ns chromosomes from the two species in wheat background, a series of wheat- and wheat- substitution lines were developed. In the present study, line DH109 (F progeny of wheat- heptaploid line H8911 × durum wheat Trs-372) and line DM131 (F progeny of wheat- octoploid line M842 × durum wheat Trs-372) were selected. Cytological observation combined with genomic hybridization experiments showed that DH109 and DM131 each had 20 pairs of wheat chromosomes plus a pair of alien chromosomes (Ns chromosome), and the pair of alien chromosomes showed stable inheritance. Multiple molecular markers and wheat 55K SNP array demonstrated that a pair of wheat 3D chromosome in DH109 and in DM131 was substituted by a pair of 3Ns chromosome and a pair of 3Ns chromosome, respectively. Fluorescence hybridization (FISH) analysis confirmed that wheat 3D chromosomes were absent from DH109 and DM131, and chromosomal FISH karyotypes of wheat 3D, 3Ns, and 3Ns were different. Moreover, the two lines had many differences in agronomic traits. Comparing with their wheat parents, DH109 expressed superior resistance to powdery mildew and fusarium head blight, whereas DM131 had powdery mildew resistance, longer spike, and more tiller number. Therefore, Ns genome from and might have some different effects. The two novel wheat-alien substitution lines provide new ideas and resources for disease resistance and high-yield breeding on further utilization of 3Ns chromosomes of or .

摘要

肯氏草(2n = 2x = 14,NsNs)和三芒草(2n = 4x = 28,NsNsXmXm)是小麦育种改良的宝贵资源,因为它们共享Ns基因组,该基因组包含多种抗性基因。为了探究这两个物种的Ns染色体在小麦背景中的行为和特征,培育了一系列小麦-肯氏草和小麦-三芒草代换系。在本研究中,选择了DH109系(小麦-七倍体品系H8911×硬粒小麦Trs-372的F子代)和DM131系(小麦-八倍体品系M842×硬粒小麦Trs-372的F子代)。细胞学观察结合基因组杂交实验表明,DH109和DM131各有20对小麦染色体加一对外源染色体(Ns染色体),且这对外源染色体表现出稳定遗传。多个分子标记和小麦55K SNP芯片表明,DH109和DM131中的一对小麦3D染色体分别被一对3Ns染色体和一对3Ns染色体所取代。荧光原位杂交(FISH)分析证实,DH109和DM131中没有小麦3D染色体,且小麦3D、3Ns和3Ns的染色体FISH核型不同。此外,这两个品系在农艺性状上有许多差异。与它们的小麦亲本相比,DH109对白粉病和赤霉病表现出较强抗性,而DM131具有抗白粉病、穗长较长和分蘖数较多的特点。因此,肯氏草和三芒草的Ns基因组可能有一些不同的效应。这两个新型小麦-外源代换系为进一步利用肯氏草或三芒草的3Ns染色体进行抗病和高产育种提供了新的思路和资源。

https://cdn.ncbi.nlm.nih.gov/pmc/blobs/0430/8061751/08674aa97fdf/fpls-12-644896-g009.jpg
https://cdn.ncbi.nlm.nih.gov/pmc/blobs/0430/8061751/dcbf7bfd9df6/fpls-12-644896-g001.jpg
https://cdn.ncbi.nlm.nih.gov/pmc/blobs/0430/8061751/7b5f7014febc/fpls-12-644896-g002.jpg
https://cdn.ncbi.nlm.nih.gov/pmc/blobs/0430/8061751/ba9fe10cc725/fpls-12-644896-g003.jpg
https://cdn.ncbi.nlm.nih.gov/pmc/blobs/0430/8061751/42efb4ee0386/fpls-12-644896-g004.jpg
https://cdn.ncbi.nlm.nih.gov/pmc/blobs/0430/8061751/de4831a1427c/fpls-12-644896-g005.jpg
https://cdn.ncbi.nlm.nih.gov/pmc/blobs/0430/8061751/40d407fdfdd5/fpls-12-644896-g006.jpg
https://cdn.ncbi.nlm.nih.gov/pmc/blobs/0430/8061751/f4acf9a9b486/fpls-12-644896-g007.jpg
https://cdn.ncbi.nlm.nih.gov/pmc/blobs/0430/8061751/51672ea62fb6/fpls-12-644896-g008.jpg
https://cdn.ncbi.nlm.nih.gov/pmc/blobs/0430/8061751/08674aa97fdf/fpls-12-644896-g009.jpg
https://cdn.ncbi.nlm.nih.gov/pmc/blobs/0430/8061751/dcbf7bfd9df6/fpls-12-644896-g001.jpg
https://cdn.ncbi.nlm.nih.gov/pmc/blobs/0430/8061751/7b5f7014febc/fpls-12-644896-g002.jpg
https://cdn.ncbi.nlm.nih.gov/pmc/blobs/0430/8061751/ba9fe10cc725/fpls-12-644896-g003.jpg
https://cdn.ncbi.nlm.nih.gov/pmc/blobs/0430/8061751/42efb4ee0386/fpls-12-644896-g004.jpg
https://cdn.ncbi.nlm.nih.gov/pmc/blobs/0430/8061751/de4831a1427c/fpls-12-644896-g005.jpg
https://cdn.ncbi.nlm.nih.gov/pmc/blobs/0430/8061751/40d407fdfdd5/fpls-12-644896-g006.jpg
https://cdn.ncbi.nlm.nih.gov/pmc/blobs/0430/8061751/f4acf9a9b486/fpls-12-644896-g007.jpg
https://cdn.ncbi.nlm.nih.gov/pmc/blobs/0430/8061751/51672ea62fb6/fpls-12-644896-g008.jpg
https://cdn.ncbi.nlm.nih.gov/pmc/blobs/0430/8061751/08674aa97fdf/fpls-12-644896-g009.jpg

相似文献

1
Molecular Cytogenetic and Agronomic Characterization of the Similarities and Differences Between Wheat- Trin. and Wheat- Keng 3Ns (3D) Substitution Lines.小麦-黑麦和小麦-坑3Ns(3D)代换系异同的分子细胞遗传学与农艺学特征分析
Front Plant Sci. 2021 Mar 31;12:644896. doi: 10.3389/fpls.2021.644896. eCollection 2021.
2
Molecular cytogenetic characterization of a novel wheat-Psathyrostachys huashanica Keng T3DS-5NsL•5NsS and T5DL-3DS•3DL dual translocation line with powdery mildew resistance.小麦-华山新麦草 3DS-5NsL•5NsS 和 5DL-3DS•3DL 双易位系的分子细胞遗传学特征及其抗白粉病性
BMC Plant Biol. 2020 Apr 15;20(1):163. doi: 10.1186/s12870-020-02366-8.
3
Cytogenetic and molecular identification of a wheat-Leymus mollis alien multiple substitution line from octoploid Tritileymus x Triticum durum.八倍体小偃麦×硬粒小麦的小麦-滨麦异源多代换系的细胞遗传学和分子鉴定
Genet Mol Res. 2014 May 23;13(2):3903-13. doi: 10.4238/2014.May.23.1.
4
Molecular cytogenetic characterization of a wheat - Leymus mollis 3D(3Ns) substitution line with resistance to leaf rust.具有抗叶锈病能力的小麦-滨麦3D(3Ns)代换系的分子细胞遗传学特征
J Genet Genomics. 2014 Apr 20;41(4):205-14. doi: 10.1016/j.jgg.2013.11.008. Epub 2013 Dec 28.
5
Cytogenetic and Molecular Marker Analyses of a Novel Wheat- 7Ns Disomic Addition Line with Powdery Mildew Resistance.新型小麦-7Ns 易位系抗白粉病的细胞遗传学和分子标记分析。
Int J Mol Sci. 2022 Sep 7;23(18):10285. doi: 10.3390/ijms231810285.
6
The addition of Psathyrostachys Huashanica Keng 6Ns large segment chromosomes has positive impact on stripe rust resistance and plant spikelet number of common wheat.华山新麦草 6Ns 大片段染色体的添加对普通小麦的条锈病抗性和小穗数有积极影响。
BMC Plant Biol. 2024 Jul 18;24(1):685. doi: 10.1186/s12870-024-05395-9.
7
Isolation and characterization of a wheat--Psathyrostachys huashanica 'Keng' 3Ns disomic addition line with resistance to stripe rust.小麦-华山新麦草 3Ns 二体附加系的抗条锈病鉴定与分析。
Genome. 2014 Jan;57(1):37-44. doi: 10.1139/gen-2013-0199. Epub 2014 Jan 2.
8
Cytogenetic identification and molecular marker development of a novel wheat- 4Ns(4D) alien disomic substitution line with resistance to stripe rust and Fusarium head blight.一种对条锈病和赤霉病具有抗性的新型小麦-4Ns(4D)异源二体代换系的细胞遗传学鉴定及分子标记开发
Front Plant Sci. 2022 Nov 1;13:1012939. doi: 10.3389/fpls.2022.1012939. eCollection 2022.
9
Molecular Cytological Analysis and Specific Marker Development in Wheat- Keng 3Ns Additional Line with Elongated Glume.小麦长芒 3Ns 附加系的分子细胞遗传学分析及特异标记的开发。
Int J Mol Sci. 2023 Apr 4;24(7):6726. doi: 10.3390/ijms24076726.
10
Development and application of specific FISH probes for karyotyping Psathyrostachys huashanica chromosomes.华山新麦草染色体核型特异 FISH 探针的开发与应用。
BMC Genomics. 2022 Apr 18;23(1):309. doi: 10.1186/s12864-022-08516-6.

引用本文的文献

1
Integrated review of : From phylogenetic research to wheat breeding application.综述:从系统发育研究到小麦育种应用
Mol Breed. 2025 Apr 8;45(4):42. doi: 10.1007/s11032-025-01563-3. eCollection 2025 Apr.
2
The addition of Psathyrostachys Huashanica Keng 6Ns large segment chromosomes has positive impact on stripe rust resistance and plant spikelet number of common wheat.华山新麦草 6Ns 大片段染色体的添加对普通小麦的条锈病抗性和小穗数有积极影响。
BMC Plant Biol. 2024 Jul 18;24(1):685. doi: 10.1186/s12870-024-05395-9.
3
Genome evolution and initial breeding of the Triticeae grass dominating the Eurasian Steppe.

本文引用的文献

1
Molecular cytogenetic characterization of a novel wheat-Psathyrostachys huashanica Keng T3DS-5NsL•5NsS and T5DL-3DS•3DL dual translocation line with powdery mildew resistance.小麦-华山新麦草 3DS-5NsL•5NsS 和 5DL-3DS•3DL 双易位系的分子细胞遗传学特征及其抗白粉病性
BMC Plant Biol. 2020 Apr 15;20(1):163. doi: 10.1186/s12870-020-02366-8.
2
The production of wheat - 1S chromosome substitution lines harboring alien novel high-molecular-weight glutenin subunits.小麦 1S 染色体代换系的创制及其携带的外源新型高分子量谷蛋白亚基。
Genome. 2020 Mar;63(3):155-167. doi: 10.1139/gen-2019-0106. Epub 2019 Dec 17.
3
主宰欧亚草原的禾本科牧草的基因组进化和初步选育。
Proc Natl Acad Sci U S A. 2023 Oct 31;120(44):e2308984120. doi: 10.1073/pnas.2308984120. Epub 2023 Oct 24.
4
Cytogenetic and Molecular Marker Analyses of a Novel Wheat- 7Ns Disomic Addition Line with Powdery Mildew Resistance.新型小麦-7Ns 易位系抗白粉病的细胞遗传学和分子标记分析。
Int J Mol Sci. 2022 Sep 7;23(18):10285. doi: 10.3390/ijms231810285.
5
Identification of a Wheat- 7Ns Ditelosomic Addition Line Conferring Early Maturation by Cytological Analysis and Newly Developed Molecular and FISH Markers.通过细胞学分析以及新开发的分子和荧光原位杂交标记鉴定赋予早熟特性的小麦-7Ns二体代换附加系
Front Plant Sci. 2021 Dec 9;12:784001. doi: 10.3389/fpls.2021.784001. eCollection 2021.
Physical Mapping of a Novel Locus Conferring Leaf Rust Resistance on the Long Arm of Chromosome 2P.
位于2P染色体长臂上的一个赋予叶锈病抗性的新基因座的物理图谱。
Front Plant Sci. 2018 Jun 18;9:817. doi: 10.3389/fpls.2018.00817. eCollection 2018.
4
Structural chromosome rearrangements and polymorphisms identified in Chinese wheat cultivars by high-resolution multiplex oligonucleotide FISH.利用高分辨率多重寡核苷酸荧光原位杂交技术鉴定中国小麦品种中的结构染色体重排和多态性。
Theor Appl Genet. 2018 Sep;131(9):1967-1986. doi: 10.1007/s00122-018-3126-2. Epub 2018 Jun 15.
5
Construction of Agropyron Gaertn. genetic linkage maps using a wheat 660K SNP array reveals a homoeologous relationship with the wheat genome.利用小麦 660K SNP 芯片构建冰草属遗传连锁图谱揭示了与小麦基因组的同源关系。
Plant Biotechnol J. 2018 Mar;16(3):818-827. doi: 10.1111/pbi.12831. Epub 2017 Oct 16.
6
Molecular cytogenetic identification of a wheat - Thinopyrum ponticum substitution line with stripe rust resistance.小麦-节节麦抗条锈病易位系的分子细胞遗传学鉴定。
Genome. 2017 Oct;60(10):860-867. doi: 10.1139/gen-2017-0099. Epub 2017 Jul 31.
7
Molecular cytogenetic identification of a wheat-Thinopyrum ponticum translocation line resistant to powdery mildew.一个抗白粉病的小麦-蓬蒂山羊草易位系的分子细胞遗传学鉴定
J Genet. 2017 Mar;96(1):165-169. doi: 10.1007/s12041-017-0754-2.
8
An intercalary translocation from Agropyron cristatum 6P chromosome into common wheat confers enhanced kernel number per spike.冰草6P染色体向普通小麦的中间易位赋予了每穗更多的籽粒数。
Planta. 2016 Oct;244(4):853-64. doi: 10.1007/s00425-016-2550-2. Epub 2016 May 31.
9
Development of 5Ns chromosome-specific SCAR markers for utilization in future wheat breeding programs.开发用于未来小麦育种计划的5Ns染色体特异性SCAR标记。
Genetika. 2014 Jun;50(6):692-9. doi: 10.7868/s0016675814060137.
10
Oligonucleotides replacing the roles of repetitive sequences pAs1, pSc119.2, pTa-535, pTa71, CCS1, and pAWRC.1 for FISH analysis.用于荧光原位杂交(FISH)分析的寡核苷酸替代重复序列pAs1、pSc119.2、pTa - 535、pTa71、CCS1和pAWRC.1的作用。
J Appl Genet. 2014 Aug;55(3):313-8. doi: 10.1007/s13353-014-0215-z. Epub 2014 Apr 30.