• 文献检索
  • 文档翻译
  • 深度研究
  • 学术资讯
  • Suppr Zotero 插件Zotero 插件
  • 邀请有礼
  • 套餐&价格
  • 历史记录
应用&插件
Suppr Zotero 插件Zotero 插件浏览器插件Mac 客户端Windows 客户端微信小程序
定价
高级版会员购买积分包购买API积分包
服务
文献检索文档翻译深度研究API 文档MCP 服务
关于我们
关于 Suppr公司介绍联系我们用户协议隐私条款
关注我们

Suppr 超能文献

核心技术专利:CN118964589B侵权必究
粤ICP备2023148730 号-1Suppr @ 2026

文献检索

告别复杂PubMed语法,用中文像聊天一样搜索,搜遍4000万医学文献。AI智能推荐,让科研检索更轻松。

立即免费搜索

文件翻译

保留排版,准确专业,支持PDF/Word/PPT等文件格式,支持 12+语言互译。

免费翻译文档

深度研究

AI帮你快速写综述,25分钟生成高质量综述,智能提取关键信息,辅助科研写作。

立即免费体验

先天性鼻背黏液囊肿:一例报告

Congenital Mucocele of the Nasal Dorsum: A Case Report.

作者信息

Dal Seçil Bahar, Ünal Ömer Faruk

机构信息

Department of Otorhinolaryngology, Vehbi Koç Foundation American Hospital, İstanbul, Turkey.

出版信息

Turk Arch Otorhinolaryngol. 2021 Mar;59(1):84-87. doi: 10.4274/tao.2021.6209. Epub 2021 Mar 26.

DOI:10.4274/tao.2021.6209
PMID:33912866
原文链接:https://pmc.ncbi.nlm.nih.gov/articles/PMC8054933/
Abstract

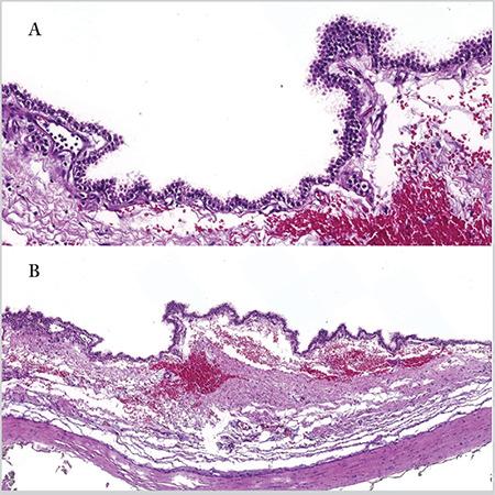
Congenital nasal dorsum cysts are very rare lesions. Its differential diagnosis lies between gliomas, dermoid cysts and encephaloceles. We present a case of solitary congenital external nasal cyst with no intranasal fistulous tract connection in a newborn. Histopathologic analysis of the mass demonstrated findings consistent with an external mucocele. Total excision with external open approach provided the cure with good cosmetic outcome. This is the first report presenting an external mucocele in a newborn in the literature. External mucoceles should be kept in mind in the differential diagnosis of congenital nasal dorsum masses.

摘要

先天性鼻背囊肿是非常罕见的病变。其鉴别诊断包括胶质瘤、皮样囊肿和脑膨出。我们报告一例新生儿孤立性先天性鼻外囊肿,无鼻内瘘管连接。肿物的组织病理学分析结果符合鼻外黏液囊肿。采用外部开放入路完全切除可治愈且美容效果良好。这是文献中首例关于新生儿鼻外黏液囊肿的报道。在先天性鼻背肿物的鉴别诊断中应考虑鼻外黏液囊肿。

https://cdn.ncbi.nlm.nih.gov/pmc/blobs/664b/8054933/0d71205dc7db/tao-59-84-g5.jpg
https://cdn.ncbi.nlm.nih.gov/pmc/blobs/664b/8054933/1ef3b66ce7ec/tao-59-84-g1.jpg
https://cdn.ncbi.nlm.nih.gov/pmc/blobs/664b/8054933/0f838d056681/tao-59-84-g2.jpg
https://cdn.ncbi.nlm.nih.gov/pmc/blobs/664b/8054933/7cf256e83350/tao-59-84-g3.jpg
https://cdn.ncbi.nlm.nih.gov/pmc/blobs/664b/8054933/3e835b4f559f/tao-59-84-g4.jpg
https://cdn.ncbi.nlm.nih.gov/pmc/blobs/664b/8054933/0d71205dc7db/tao-59-84-g5.jpg
https://cdn.ncbi.nlm.nih.gov/pmc/blobs/664b/8054933/1ef3b66ce7ec/tao-59-84-g1.jpg
https://cdn.ncbi.nlm.nih.gov/pmc/blobs/664b/8054933/0f838d056681/tao-59-84-g2.jpg
https://cdn.ncbi.nlm.nih.gov/pmc/blobs/664b/8054933/7cf256e83350/tao-59-84-g3.jpg
https://cdn.ncbi.nlm.nih.gov/pmc/blobs/664b/8054933/3e835b4f559f/tao-59-84-g4.jpg
https://cdn.ncbi.nlm.nih.gov/pmc/blobs/664b/8054933/0d71205dc7db/tao-59-84-g5.jpg

相似文献

1
Congenital Mucocele of the Nasal Dorsum: A Case Report.先天性鼻背黏液囊肿:一例报告
Turk Arch Otorhinolaryngol. 2021 Mar;59(1):84-87. doi: 10.4274/tao.2021.6209. Epub 2021 Mar 26.
2
The managament of rare nasal mass-nasal dermoid sinus cysts: open rhinoplasty.罕见鼻腔肿物——鼻皮样窦囊肿的治疗:开放式鼻整形术
Rare Tumors. 2009 Dec 28;1(2):e40. doi: 10.4081/rt.2009.e40.
3
Nasal endoscopy in the treatment of congenital lacrimal sac mucoceles.鼻内镜在先天性泪囊黏液囊肿治疗中的应用
Int J Pediatr Otorhinolaryngol. 2003 Mar;67(3):255-61. doi: 10.1016/s0165-5876(02)00379-8.
4
Midline nasal mass in infancy: a nasal glioma case report.婴儿期中线鼻部肿物:一例鼻胶质瘤病例报告
Eur J Pediatr Surg. 2001 Oct;11(5):324-7. doi: 10.1055/s-2001-18547.
5
Pediatric congenital nasal masses.
Ear Nose Throat J. 1991 Jan;70(1):28-32.
6
Radiologic Diagnosis of Nasal Gliomas with an Illustrative Case Report.鼻胶质瘤的放射学诊断及病例报告
Indian J Otolaryngol Head Neck Surg. 2022 Dec;74(Suppl 3):4623-4627. doi: 10.1007/s12070-021-02927-9. Epub 2021 Oct 18.
7
Dorsal nasal mucocele: a delayed complication of rhinoplasty.鼻中隔黏膜囊肿:隆鼻术后的迟发性并发症。
Aesthetic Plast Surg. 2014 Feb;38(1):100-103. doi: 10.1007/s00266-013-0233-y. Epub 2013 Nov 7.
8
Caecal dermoid cyst presenting as an appendicular mucocele on abdominal imaging.盲肠皮样囊肿在腹部影像学上表现为阑尾黏液囊肿。
Radiol Case Rep. 2019 Sep 6;14(11):1352-1355. doi: 10.1016/j.radcr.2019.08.002. eCollection 2019 Nov.
9
Bilateral dacryocystocele with an intranasal cyst as the cause of respiratory distress in a newborn.双侧泪囊膨出合并鼻内囊肿导致新生儿呼吸窘迫
B-ENT. 2016;12(1):23-7.
10
Bilateral congenital lacrimal sac mucoceles with nasal extension and drainage.双侧先天性泪囊黏液囊肿伴鼻侧扩展及引流
Arch Ophthalmol. 1983 Feb;101(2):246-8. doi: 10.1001/archopht.1983.01040010248013.

引用本文的文献

1
Excision and reconstruction of dorsal nasal mucous cyst using dorsal nasal flap technique: a case report and literature review.使用鼻背皮瓣技术切除和重建鼻背黏液囊肿:1例报告及文献复习
J Surg Case Rep. 2023 Dec 14;2023(12):rjad667. doi: 10.1093/jscr/rjad667. eCollection 2023 Dec.

本文引用的文献

1
Congenital midline nasal anomalies.先天性中线鼻畸形。
Proc (Bayl Univ Med Cent). 2017 Oct;30(4):459-460. doi: 10.1080/08998280.2017.11930229.
2
Update on current evaluation and management of pediatric nasal dermoid.小儿鼻皮样囊肿当前评估与管理的最新进展
Laryngoscope. 2016 Sep;126(9):2151-60. doi: 10.1002/lary.25860. Epub 2016 Feb 18.
3
Paranasal sinus mucoceles: our clinical experiments.鼻窦黏液囊肿:我们的临床试验
Int J Clin Exp Med. 2015 Oct 15;8(10):18518-22. eCollection 2015.
4
Inclusion mucous cysts of the nose: a late complication after septorhinoplasty in two cleft lip patients.鼻部包涵体黏液囊肿:两例唇裂患者鼻中隔鼻成形术后的晚期并发症。
Cleft Palate Craniofac J. 2010 Nov;47(6):668-72. doi: 10.1597/08-236. Epub 2010 Mar 12.
5
Mucous cysts of the nose: a postrhinoplasty complication?: a long-term follow-up.鼻黏液囊肿:鼻整形术后的并发症?一项长期随访研究
Ann Plast Surg. 2010 Apr;64(4):381-4. doi: 10.1097/SAP.0b013e3181b142ba.
6
Mucous cyst formation after rhinoplasty.
Arch Facial Plast Surg. 1999 Jul-Sep;1(3):208-11. doi: 10.1001/archfaci.1.3.208.
7
Lipogranulomas as complications of septorhinoplasty.脂肪肉芽肿作为鼻中隔成形术的并发症。
Arch Otolaryngol Head Neck Surg. 1997 Aug;123(8):809-14. doi: 10.1001/archotol.1997.01900080041003.