Suppr超能文献

表现为腭部溃疡的鼻上颌毛霉菌病:一例伴有全面病理生理学的病例报告

Rhinomaxillary mucormycosis presenting as palatal ulcer: A case report with comprehensive pathophysiology.

作者信息

Verma Meenal, Sharma Rakhee, Verma Nikhil, Verma Kavita

机构信息

Department of Oral Pathology, Geetanjali Dental and Research Institute, Udaipur, Rajasthan, India.

Department of Prosthodontics, Geetanjali Dental and Research Institute, Udaipur, Rajasthan, India.

出版信息

J Oral Maxillofac Pathol. 2020 Sep-Dec;24(3):558-562. doi: 10.4103/jomfp.JOMFP_145_20. Epub 2021 Jan 9.

Abstract

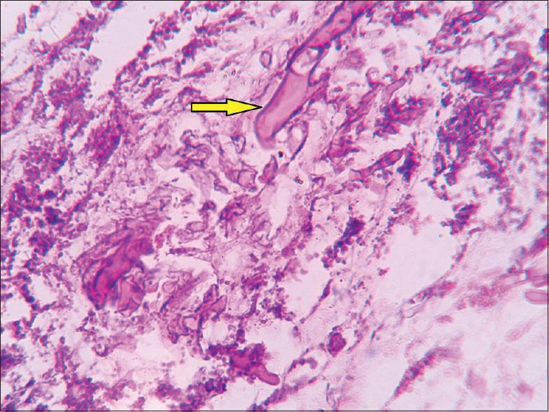
Mucormycosis is an emerging fungal infection which has exceptionally high mortality rates in immunocompromised patients and remains a life-threatening infection in uncontrolled diabetics. The reported cases in literature may be less in number due to its frequent misdiagnosis. Imaging techniques in the early stages are usually nondiagnostic and cytological smears are not very reliable, thus, the gold standard for definitive diagnosis remains with the histopathological examination. A thorough understanding of the pathogenesis and host fungus interaction aids in the histopathological evaluation and clinical management. Despite of surgical and medical management, the overall mortality rate remains high in persistently immunocompromised individuals. We present a case report of a 58-year-old female patient with rhinomaxillary mucormycosis with a history of uncontrolled diabetes.

摘要

毛霉病是一种新出现的真菌感染,在免疫功能低下的患者中死亡率极高,在未得到控制的糖尿病患者中仍然是一种危及生命的感染。由于其经常被误诊,文献报道的病例数量可能较少。早期的影像学检查通常无法确诊,细胞学涂片也不太可靠,因此,明确诊断的金标准仍然是组织病理学检查。深入了解发病机制和宿主与真菌的相互作用有助于组织病理学评估和临床管理。尽管采取了手术和药物治疗,但在持续免疫功能低下的个体中,总体死亡率仍然很高。我们报告一例58岁女性鼻上颌毛霉病患者,该患者有未得到控制的糖尿病病史。

https://cdn.ncbi.nlm.nih.gov/pmc/blobs/5e7a/8083449/9c182bdc67e8/JOMFP-24-558-g001.jpg

文献AI研究员

20分钟写一篇综述,助力文献阅读效率提升50倍。

立即体验

用中文搜PubMed

大模型驱动的PubMed中文搜索引擎

马上搜索

文档翻译

学术文献翻译模型,支持多种主流文档格式。

立即体验