Khan Abdul Wali, Ullah Irfan, Khan Kiran Shafiq, Tahir Muhammad Junaid, Masyeni Sri, Harapan Harapan
Department of Medicine, Hayatabad Medical Complex, Peshawar, 25000, Pakistan.
Kabir Medical College, Gandhara University, Peshawar, 25000, Pakistan.
Respir Med Case Rep. 2021;33:101429. doi: 10.1016/j.rmcr.2021.101429. Epub 2021 May 12.
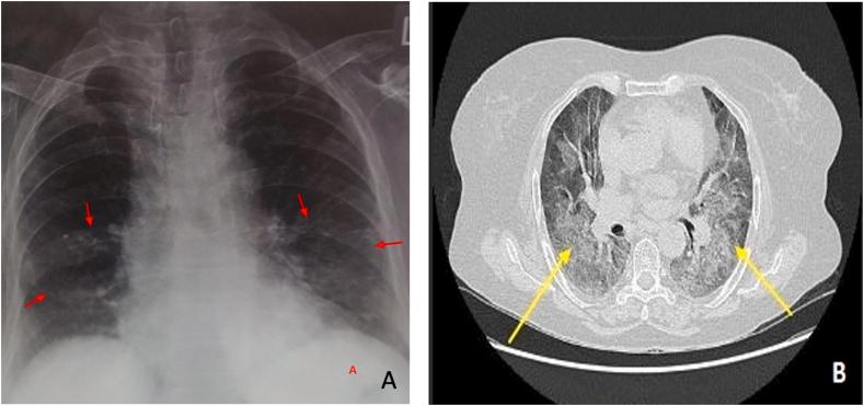
It has been suggested that pulmonary arterial hypertension (PAH) could be a potential sequela of coronavirus disease 2019 (COVID-19) in particular in those with hypertension; however, development of PAH after the course of COVID-19 in normotensive individuals are rarely reported. Here, we report a patient who developed PAH two months post-COVID-19. The patient was a 55-year-old female and normotensive, tested positive for severe acute respiratory syndrome coronavirus 2 (SARS-CoV-2), developed mild respiratory distress syndrome and necessitated continuous positive airway pressure during the treatment in the hospital. After two months discharged from the hospital with RT-PCR negative for SARS-CoV-2, the patient presented with exertional dyspnea, dry cough, fatigue and episodes of syncope during exertion. Based on clinical presentation, electrocardiography, computed tomography, and transthoracic echocardiography assessment, PAH diagnosis was made. To our knowledge, this is a rare PAH case and this highlights the possible of PAH as sequala that might present in post COVID-19 patients.
有人提出,肺动脉高压(PAH)可能是2019冠状病毒病(COVID-19)的潜在后遗症,特别是在高血压患者中;然而,血压正常个体在COVID-19病程后发生PAH的情况鲜有报道。在此,我们报告一名在COVID-19后两个月发生PAH的患者。该患者为一名55岁女性,血压正常,严重急性呼吸综合征冠状病毒2(SARS-CoV-2)检测呈阳性,出现轻度呼吸窘迫综合征,在医院治疗期间需要持续气道正压通气。出院两个月后,患者SARS-CoV-2的逆转录聚合酶链反应(RT-PCR)检测呈阴性,但出现劳力性呼吸困难、干咳、疲劳以及劳力时晕厥发作。基于临床表现、心电图、计算机断层扫描和经胸超声心动图评估,作出了PAH诊断。据我们所知,这是一例罕见的PAH病例,这凸显了PAH作为COVID-19后患者可能出现的后遗症的可能性。