• 文献检索
  • 文档翻译
  • 深度研究
  • 学术资讯
  • Suppr Zotero 插件Zotero 插件
  • 邀请有礼
  • 套餐&价格
  • 历史记录
应用&插件
Suppr Zotero 插件Zotero 插件浏览器插件Mac 客户端Windows 客户端微信小程序
定价
高级版会员购买积分包购买API积分包
服务
文献检索文档翻译深度研究API 文档MCP 服务
关于我们
关于 Suppr公司介绍联系我们用户协议隐私条款
关注我们

Suppr 超能文献

核心技术专利:CN118964589B侵权必究
粤ICP备2023148730 号-1Suppr @ 2026

文献检索

告别复杂PubMed语法,用中文像聊天一样搜索,搜遍4000万医学文献。AI智能推荐,让科研检索更轻松。

立即免费搜索

文件翻译

保留排版,准确专业,支持PDF/Word/PPT等文件格式,支持 12+语言互译。

免费翻译文档

深度研究

AI帮你快速写综述,25分钟生成高质量综述,智能提取关键信息,辅助科研写作。

立即免费体验

犬胶质瘤的脑脊液播散转移:磁共振成像分类

Cerebrospinal Fluid Drop Metastases of Canine Glioma: Magnetic Resonance Imaging Classification.

作者信息

Bentley R Timothy, Yanke Amy B, Miller Margaret A, Heng Hock Gan, Cohen-Gadol Aaron, Rossmeisl John H

机构信息

Department of Veterinary Clinical Sciences, College of Veterinary Medicine, Purdue University, West Lafayette, IN, United States.

Department of Clinical Sciences, College of Veterinary Medicine, Auburn University, Auburn, AL, United States.

出版信息

Front Vet Sci. 2021 May 3;8:650320. doi: 10.3389/fvets.2021.650320. eCollection 2021.

DOI:10.3389/fvets.2021.650320
PMID:34012987
原文链接:https://pmc.ncbi.nlm.nih.gov/articles/PMC8126621/
Abstract

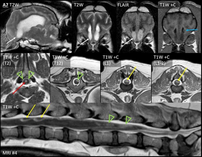
Dissemination of glioma in humans can occur as leptomeningeal nodules, diffuse leptomeningeal lesions, or ependymal lesions. Cerebrospinal fluid (CSF) drop metastasis of glioma is not well-recognized in dogs. Ten dogs with at least two anatomically distinct and histologically confirmed foci of glioma were included in this study. The 10 dogs underwent 28 magnetic resonance imaging (MRI) examinations, with distant CSF drop metastasis revealed in 13 MRIs. The CSF drop metastases appeared as leptomeningeal nodules in four dogs, diffuse leptomeningeal lesions in six dogs, and ependymal lesions in seven dogs; six dogs had a combination of lesion types. Primary tumors were generally T2-heterogeneous and contrast-enhancing. Many metastases were T2-homogeneous and non-enhancing. Diffuse leptomeningeal lesions were seen as widespread extra-axial contrast-enhancement, again very dissimilar to the intra-axial primary mass. Primary masses were rostrotentorial, whereas metastases generally occurred in the direction of CSF flow, in ventricles, CSF cisterns, and the central canal or leptomeninges of the cervical or thoracolumbar spinal cord. Seven of the dogs had received therapy limited to the primary mass, such as surgery or stereotactic radiation, then developed metastasis in the following months. CSF drop metastasis of glioma may take a very different appearance on MRI to the primary mass, including periventricular lesions that are more homogeneous and less contrast-enhancing, rostral horn signal changes, or leptomeningeal enhancement ventral to the brainstem or encircling the spinal cord.

摘要

胶质瘤在人类中的播散可表现为软脑膜结节、弥漫性软脑膜病变或室管膜病变。胶质瘤的脑脊液播散转移在犬类中尚未得到充分认识。本研究纳入了10只患有至少两个解剖学上不同且经组织学证实的胶质瘤病灶的犬。这10只犬接受了28次磁共振成像(MRI)检查,其中13次MRI显示有远处脑脊液播散转移。脑脊液播散转移在4只犬中表现为软脑膜结节,6只犬中表现为弥漫性软脑膜病变,7只犬中表现为室管膜病变;6只犬有多种病变类型组合。原发性肿瘤通常在T2加权像上呈不均匀信号且有强化。许多转移灶在T2加权像上呈均匀信号且无强化。弥漫性软脑膜病变表现为广泛的脑外强化,与脑内原发性肿块截然不同。原发性肿块位于前脑幕区,而转移灶通常沿脑脊液流动方向发生,见于脑室、脑池、中央管或颈段或胸腰段脊髓的软脑膜。7只犬接受了局限于原发性肿块的治疗,如手术或立体定向放疗,随后在接下来的几个月内出现了转移。胶质瘤的脑脊液播散转移在MRI上的表现可能与原发性肿块非常不同,包括更均匀且强化较少的脑室周围病变、脑室前角信号改变,或脑干腹侧或脊髓周围的软脑膜强化。

https://cdn.ncbi.nlm.nih.gov/pmc/blobs/2e6a/8126621/01553b607467/fvets-08-650320-g0010.jpg
https://cdn.ncbi.nlm.nih.gov/pmc/blobs/2e6a/8126621/771179639a7e/fvets-08-650320-g0001.jpg
https://cdn.ncbi.nlm.nih.gov/pmc/blobs/2e6a/8126621/b795af6e0e24/fvets-08-650320-g0002.jpg
https://cdn.ncbi.nlm.nih.gov/pmc/blobs/2e6a/8126621/d18c61788cfc/fvets-08-650320-g0003.jpg
https://cdn.ncbi.nlm.nih.gov/pmc/blobs/2e6a/8126621/dbeda7dce28b/fvets-08-650320-g0004.jpg
https://cdn.ncbi.nlm.nih.gov/pmc/blobs/2e6a/8126621/9c0991e98935/fvets-08-650320-g0005.jpg
https://cdn.ncbi.nlm.nih.gov/pmc/blobs/2e6a/8126621/5c40aa97a6ee/fvets-08-650320-g0006.jpg
https://cdn.ncbi.nlm.nih.gov/pmc/blobs/2e6a/8126621/1574978f90bf/fvets-08-650320-g0007.jpg
https://cdn.ncbi.nlm.nih.gov/pmc/blobs/2e6a/8126621/bfd400a219c2/fvets-08-650320-g0008.jpg
https://cdn.ncbi.nlm.nih.gov/pmc/blobs/2e6a/8126621/39c23147849f/fvets-08-650320-g0009.jpg
https://cdn.ncbi.nlm.nih.gov/pmc/blobs/2e6a/8126621/01553b607467/fvets-08-650320-g0010.jpg
https://cdn.ncbi.nlm.nih.gov/pmc/blobs/2e6a/8126621/771179639a7e/fvets-08-650320-g0001.jpg
https://cdn.ncbi.nlm.nih.gov/pmc/blobs/2e6a/8126621/b795af6e0e24/fvets-08-650320-g0002.jpg
https://cdn.ncbi.nlm.nih.gov/pmc/blobs/2e6a/8126621/d18c61788cfc/fvets-08-650320-g0003.jpg
https://cdn.ncbi.nlm.nih.gov/pmc/blobs/2e6a/8126621/dbeda7dce28b/fvets-08-650320-g0004.jpg
https://cdn.ncbi.nlm.nih.gov/pmc/blobs/2e6a/8126621/9c0991e98935/fvets-08-650320-g0005.jpg
https://cdn.ncbi.nlm.nih.gov/pmc/blobs/2e6a/8126621/5c40aa97a6ee/fvets-08-650320-g0006.jpg
https://cdn.ncbi.nlm.nih.gov/pmc/blobs/2e6a/8126621/1574978f90bf/fvets-08-650320-g0007.jpg
https://cdn.ncbi.nlm.nih.gov/pmc/blobs/2e6a/8126621/bfd400a219c2/fvets-08-650320-g0008.jpg
https://cdn.ncbi.nlm.nih.gov/pmc/blobs/2e6a/8126621/39c23147849f/fvets-08-650320-g0009.jpg
https://cdn.ncbi.nlm.nih.gov/pmc/blobs/2e6a/8126621/01553b607467/fvets-08-650320-g0010.jpg

相似文献

1
Cerebrospinal Fluid Drop Metastases of Canine Glioma: Magnetic Resonance Imaging Classification.犬胶质瘤的脑脊液播散转移:磁共振成像分类
Front Vet Sci. 2021 May 3;8:650320. doi: 10.3389/fvets.2021.650320. eCollection 2021.
2
IMAGING DIAGNOSIS -ANTEMORTEM DETECTION OF OLIGODENDROGLIOMA "CEREBROSPINAL FLUID DROP METASTASES" IN A DOG BY SERIAL MAGNETIC RESONANCE IMAGING.影像诊断——通过连续磁共振成像对一只犬少突胶质细胞瘤“脑脊液播散转移”进行生前检测
Vet Radiol Ultrasound. 2018 Jul;59(4):E32-E37. doi: 10.1111/vru.12474. Epub 2017 Feb 7.
3
Leptomeningeal disease and tumor dissemination in a murine diffuse intrinsic pontine glioma model: implications for the study of the tumor-cerebrospinal fluid-ependymal microenvironment.小鼠弥漫性脑桥内在型胶质瘤模型中的软脑膜疾病和肿瘤播散:对肿瘤-脑脊液-室管膜微环境研究的启示
Neurooncol Adv. 2022 Apr 26;4(1):vdac059. doi: 10.1093/noajnl/vdac059. eCollection 2022 Jan-Dec.
4
MRI findings of eosinophilic myelomeningoencephalitis due to Angiostrongylus cantonensis.广州管圆线虫所致嗜酸性粒细胞性脊髓脊膜脑炎的磁共振成像表现
Clin Radiol. 2005 Feb;60(2):242-50. doi: 10.1016/j.crad.2004.05.012.
5
Survival of patients with high grade glioma treated with intrathecal thiotriethylenephosphoramide for ependymal or leptomeningeal gliomatosis.接受鞘内注射噻替派治疗室管膜或软脑膜胶质瘤病的高级别胶质瘤患者的生存情况。
Cancer. 1999 Oct 1;86(7):1347-53. doi: 10.1002/(sici)1097-0142(19991001)86:7<1347::aid-cncr34>3.0.co;2-m.
6
[Leptomeningeal gliomatosis. 2 clinicopathological cases].[柔脑膜胶质瘤病。2例临床病理病例]
Rev Neurol (Paris). 1994 Oct;150(10):700-3.
7
Primary and secondary leptomeningeal gliomatosis in dogs.原发性和继发性软脑膜神经胶质瘤病在犬中。
Vet Pathol. 2024 Mar;61(2):171-178. doi: 10.1177/03009858231193104. Epub 2023 Aug 14.
8
[A case of intramedullary cervical metastasis from cerebellar anaplastic oligodendroglioma without typical MR appearance for CSF dissemination].[一例小脑间变性少突胶质细胞瘤的颈髓内转移,无脑脊液播散的典型磁共振表现]
No Shinkei Geka. 2010 Mar;38(3):279-85.
9
Diffuse leptomeningeal histiocytic sarcoma in the cerebrospinal fluid of 2 dogs.2只犬脑脊液中的弥漫性柔脑膜组织细胞肉瘤
Vet Clin Pathol. 2016 Mar;45(1):184-90. doi: 10.1111/vcp.12329. Epub 2016 Feb 16.
10
Radioisotope CSF flow studies in leptomeningeal metastases.放射性同位素脑脊液流动研究在柔脑膜转移瘤中的应用
J Neurooncol. 1998 Jun-Jul;38(2-3):135-40. doi: 10.1023/a:1005982826121.

引用本文的文献

1
Oligodendroglioma pseudoprogression after radiotherapy in a dog: a case report.犬放疗后少突胶质细胞瘤假性进展:一例报告
Front Vet Sci. 2025 May 9;12:1572808. doi: 10.3389/fvets.2025.1572808. eCollection 2025.
2
MRI findings in six dogs with ependymoma of the brain and spinal cord.六只患有脑和脊髓室管膜瘤的犬的MRI检查结果。
Vet Radiol Ultrasound. 2025 Jan;66(1):e13477. doi: 10.1111/vru.13477.
3
Radiation therapy communication: Retreatment of multiple histologically confirmed oligodendroglioma drop metastasis with stereotactic radiotherapy in a dog.

本文引用的文献

1
Spinal Drop Metastasis of Glioblastoma-Two Case Reports, Clinicopathologic Features, Current Modalities of Evaluation, and Treatment with a Review of the Literature.脊髓转移的胶质母细胞瘤:两例病例报告,临床病理特征,当前评估模式,以及文献复习的治疗。
World Neurosurg. 2021 Feb;146:261-269. doi: 10.1016/j.wneu.2020.10.023. Epub 2020 Nov 5.
2
Multireceptor targeting of glioblastoma.胶质母细胞瘤的多受体靶向治疗
Neurooncol Adv. 2020 Aug 26;2(1):vdaa107. doi: 10.1093/noajnl/vdaa107. eCollection 2020 Jan-Dec.
3
A Revised Diagnostic Classification of Canine Glioma: Towards Validation of the Canine Glioma Patient as a Naturally Occurring Preclinical Model for Human Glioma.
放射治疗通讯:一只犬经组织学确诊的多发性少突胶质细胞瘤播散性转移灶的立体定向放射再治疗
Vet Radiol Ultrasound. 2025 Jan;66(1):e13454. doi: 10.1111/vru.13454. Epub 2024 Oct 12.
4
Case report: Magnetic resonance imaging features with postoperative improvement of atypical cervical glioma characterized by predominant extramedullary distribution in a dog.病例报告:犬非典型颈髓胶质瘤术后改善的磁共振成像特征,以髓外分布为主。
Front Vet Sci. 2024 May 22;11:1400139. doi: 10.3389/fvets.2024.1400139. eCollection 2024.
5
An Illustrated Scoping Review of the Magnetic Resonance Imaging Characteristics of Canine and Feline Brain Tumors.犬猫脑肿瘤磁共振成像特征的图文式范围综述
Animals (Basel). 2024 Mar 29;14(7):1044. doi: 10.3390/ani14071044.
6
Clinical, magnetic resonance imaging, and histological description of a choroid plexus papilloma with disseminated intraventricular and spinal cerebrospinal fluid drop metastases in a young adult dog: a case report.一只成年幼犬脉络丛乳头状瘤伴脑室和脊髓脑脊液播散性转移的临床、磁共振成像及组织学描述:病例报告
Front Vet Sci. 2023 Aug 3;10:1223729. doi: 10.3389/fvets.2023.1223729. eCollection 2023.
7
Triple combination of lomustine, temozolomide and irradiation reduces canine glioma cell survival in vitro.洛莫司汀、替莫唑胺和放疗三联治疗可降低犬神经胶质瘤细胞体外存活率。
Vet Med Sci. 2023 Jul;9(4):1573-1583. doi: 10.1002/vms3.1181. Epub 2023 Jun 26.
8
Advancements in drug delivery methods for the treatment of brain disease.用于治疗脑部疾病的药物递送方法的进展。
Front Vet Sci. 2022 Oct 18;9:1039745. doi: 10.3389/fvets.2022.1039745. eCollection 2022.
9
Cranial Spinal Spreading of Canine Brain Gliomas after Hypofractionated Volumetric-Modulated Arc Radiotherapy and Concomitant Temozolomide Chemotherapy: A Four-Case Report.大分割容积调强弧形放疗联合替莫唑胺同步化疗后犬脑胶质瘤的颅脊髓播散:四例报告
Vet Sci. 2022 Sep 30;9(10):541. doi: 10.3390/vetsci9100541.
10
Comparison of linear and volumetric criteria for the determination of therapeutic response in dogs with intracranial gliomas.比较线性和容积标准用于确定颅内胶质瘤犬的治疗反应。
J Vet Intern Med. 2022 May;36(3):1066-1074. doi: 10.1111/jvim.16406. Epub 2022 Mar 11.
犬神经胶质瘤修订诊断分类:旨在验证犬神经胶质瘤患者是否为人类神经胶质瘤的天然临床前模型。
J Neuropathol Exp Neurol. 2018 Nov 1;77(11):1039-1054. doi: 10.1093/jnen/nly085.
4
Anaplastic oligodendroglioma with leptomeningeal dissemination in a french bulldog.一只法国斗牛犬发生的伴有软脑膜播散的间变性少突胶质细胞瘤。
J Vet Med Sci. 2018 Nov 1;80(10):1590-1595. doi: 10.1292/jvms.17-0652. Epub 2018 Sep 6.
5
Canine (Pet Dog) Tumor Microsurgery and Intratumoral Concentration and Safety of Metronomic Chlorambucil for Spontaneous Glioma: A Phase I Clinical Trial.犬(宠物狗)自发性胶质瘤的肿瘤显微手术及节拍性苯丁酸氮芥瘤内浓度与安全性:一项I期临床试验
World Neurosurg. 2018 Aug;116:e534-e542. doi: 10.1016/j.wneu.2018.05.027. Epub 2018 Jun 5.
6
Consensus recommendations on standardized magnetic resonance imaging protocols for multicenter canine brain tumor clinical trials.多中心犬脑肿瘤临床试验标准化磁共振成像方案的共识性建议。
Vet Radiol Ultrasound. 2018 May;59(3):261-271. doi: 10.1111/vru.12608. Epub 2018 Mar 9.
7
IMAGING DIAGNOSIS -ANTEMORTEM DETECTION OF OLIGODENDROGLIOMA "CEREBROSPINAL FLUID DROP METASTASES" IN A DOG BY SERIAL MAGNETIC RESONANCE IMAGING.影像诊断——通过连续磁共振成像对一只犬少突胶质细胞瘤“脑脊液播散转移”进行生前检测
Vet Radiol Ultrasound. 2018 Jul;59(4):E32-E37. doi: 10.1111/vru.12474. Epub 2017 Feb 7.
8
Identification of the Upward Movement of Human CSF and its Relation to the Brain Venous System.人类脑脊液向上流动的识别及其与脑静脉系统的关系。
J Neurosci. 2017 Mar 1;37(9):2395-2402. doi: 10.1523/JNEUROSCI.2754-16.2017. Epub 2017 Jan 30.
9
Cerebral oligodendroglioma mimicking intraventricular neoplasia in three dogs.三只犬的大脑少突胶质细胞瘤酷似脑室内肿瘤
J Vet Diagn Invest. 2015 May;27(3):396-400. doi: 10.1177/1040638715584619. Epub 2015 May 5.
10
Magnetic resonance imaging diagnosis of brain tumors in dogs.犬脑肿瘤的磁共振成像诊断
Vet J. 2015 Aug;205(2):204-16. doi: 10.1016/j.tvjl.2015.01.025. Epub 2015 Feb 3.