Suppr超能文献

肿瘤来源的外泌体在酸性环境下被重编程,成为高效的靶向给药载体,可用于智能药物递送和针对同源肿瘤的个性化治疗。

Tumor Exosomes Reprogrammed by Low pH Are Efficient Targeting Vehicles for Smart Drug Delivery and Personalized Therapy against their Homologous Tumor.

机构信息

Department of Gastroenterology Tongren Hospital Shanghai Jiao Tong University School of Medicine No. 1111 Xianxia Road, Changning District Shanghai 200336 P. R. China.

State Key Laboratory of Biochemical Engineering Institute of Process Engineering Chinese Academy of Sciences No. 1 Bei-Er-Tiao, Zhong-Guan-Cun, Haidian District Beijing 100190 P. R. China.

出版信息

Adv Sci (Weinh). 2021 Mar 16;8(10):2002787. doi: 10.1002/advs.202002787. eCollection 2021 May.

Abstract

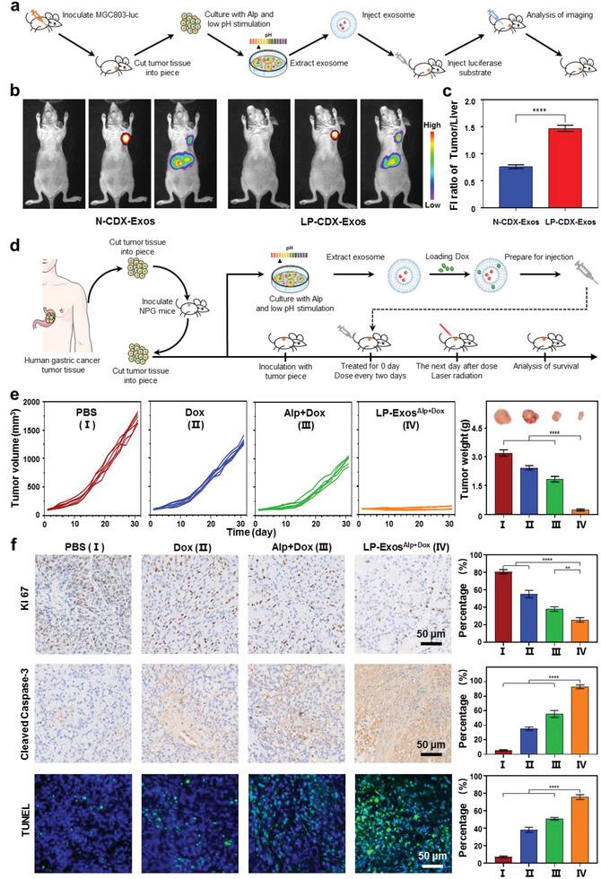
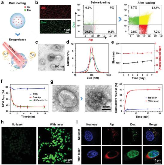
As membrane-bound extracellular vesicles, exosomes have targeting ability for specific cell types, and the cellular environment strongly impacts their content and uptake efficiency. Inspired by these natural properties, the impacts of various cellular stress conditions on the uptake efficiency of tumor iterated exosomes are evaluated, and low-pH treatment caused increased uptake efficiency and retained cell-type specificity is found. Lipidomics analyses and molecular dynamics simulations reveal a glycerolipid self-aggregation-based mechanism for the enhanced homologous uptake. Furthermore, these low-pH reprogrammed exosomes are developed into a smart drug delivery platform, which is capable of specifically targeting tumor cells and selectively releasing diverse chemodrugs in response to the exosome rupture by the near-infrared irradiance-triggered burst of reactive oxygen species. This platform exerts safe and enhanced antitumor effects demonstrated by multiple model mice experiments. These results open a new avenue to reprogram exosomes for smart drug delivery and potentially personalized therapy against their homologous tumor.

摘要

作为膜结合的细胞外囊泡,外泌体对特定细胞类型具有靶向能力,细胞环境强烈影响其内容物和摄取效率。受这些天然特性的启发,评估了各种细胞应激条件对肿瘤反复传代外泌体摄取效率的影响,发现低 pH 处理会提高摄取效率并保持细胞类型特异性。脂质组学分析和分子动力学模拟揭示了基于甘油脂质自聚集的增强同源摄取的机制。此外,这些经过低 pH 重编程的外泌体被开发为一种智能药物递送平台,能够特异性靶向肿瘤细胞,并在近红外光照触发的活性氧爆发导致外泌体破裂时,选择性释放多种化疗药物。该平台通过多种模型小鼠实验证明了安全且增强的抗肿瘤效果。这些结果为智能药物递送和针对同源肿瘤的潜在个性化治疗开辟了新途径。

https://cdn.ncbi.nlm.nih.gov/pmc/blobs/3484/8132050/ba6f75a6a4b7/ADVS-8-2002787-g003.jpg

文献检索

告别复杂PubMed语法,用中文像聊天一样搜索,搜遍4000万医学文献。AI智能推荐,让科研检索更轻松。

立即免费搜索

文件翻译

保留排版,准确专业,支持PDF/Word/PPT等文件格式,支持 12+语言互译。

免费翻译文档

深度研究

AI帮你快速写综述,25分钟生成高质量综述,智能提取关键信息,辅助科研写作。

立即免费体验