• 文献检索
  • 文档翻译
  • 深度研究
  • 学术资讯
  • Suppr Zotero 插件Zotero 插件
  • 邀请有礼
  • 套餐&价格
  • 历史记录
应用&插件
Suppr Zotero 插件Zotero 插件浏览器插件Mac 客户端Windows 客户端微信小程序
定价
高级版会员购买积分包购买API积分包
服务
文献检索文档翻译深度研究API 文档MCP 服务
关于我们
关于 Suppr公司介绍联系我们用户协议隐私条款
关注我们

Suppr 超能文献

核心技术专利:CN118964589B侵权必究
粤ICP备2023148730 号-1Suppr @ 2026

文献检索

告别复杂PubMed语法,用中文像聊天一样搜索,搜遍4000万医学文献。AI智能推荐,让科研检索更轻松。

立即免费搜索

文件翻译

保留排版,准确专业,支持PDF/Word/PPT等文件格式,支持 12+语言互译。

免费翻译文档

深度研究

AI帮你快速写综述,25分钟生成高质量综述,智能提取关键信息,辅助科研写作。

立即免费体验

梅毒相关性快速进展性肾小球肾炎:病例报告。

Syphilis-related rapidly progressive glomerulonephritis: a case presentation.

机构信息

Department of Nephrology, St-Mary's Hospital, McGill University, 3830 av Lacombe, Qc, H3T 1M5, Montreal, Canada.

Department of Pathology, McGill University, Montreal, QC, Canada.

出版信息

BMC Nephrol. 2021 May 25;22(1):196. doi: 10.1186/s12882-021-02404-z.

DOI:10.1186/s12882-021-02404-z
PMID:34034668
原文链接:https://pmc.ncbi.nlm.nih.gov/articles/PMC8146206/
Abstract

BACKGROUND

Syphilis is a multisystemic infection that causes a wide variety of symptoms and thus has been dubbed one of the great medical mimickers. Due to recent global re-emergence of syphilis, it has become important to recognize its various presentations. Relative to the kidney, syphilitic infections generally present themselves with nephrotic range proteinuria, and are most often associated with pathological features of a membranous glomerulonephritis with subepithelial immune complex deposition. However, other rare renal presentations have been reported. One of these includes a rapidly progressive glomerulonephritis picture. All described cases have been successfully resolved with the treatment of the underlying syphilis infection.

CASE PRESENTATION

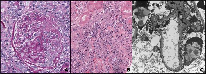
The patient was an elderly woman of Caribbean descent who presented with lower extremity weakness, anasarca and proteinuria, hematuria with progressive renal failure. On kidney biopsy, she was found to have a pauci-immune crescentic glomerulonephritis pattern and a concomitant acute tubulointerstitial nephritis. She had a positive Treponema pallidum particle agglutination test and a negative syphilis rapid plasma reagin test with clinical evidence of polyneuropathy suggestive chronic syphilis infection.

CONCLUSION AND DISCUSSION

It is important in the context of pauci-immune crescentic glomerulonephritis to explore all differential diagnoses. Given the positive syphilis serologies, clinical context and presence of tubulointerstitial nephritis, she was determined to have syphilitic glomerulonephritis that resolved with a course of both penicillin and steroids.

摘要

背景

梅毒是一种全身性感染,可引起多种症状,因此被称为最伟大的医学模拟疾病之一。由于梅毒在全球范围内的再次出现,认识其各种表现形式变得非常重要。相对于肾脏,梅毒感染通常表现为肾病范围蛋白尿,并且最常与膜性肾小球肾炎的病理特征相关,伴有上皮下免疫复合物沉积。然而,已经报道了其他一些罕见的肾脏表现。其中之一包括快速进行性肾小球肾炎。所有描述的病例都通过治疗潜在的梅毒感染得到了成功解决。

病例介绍

患者是一位加勒比裔老年女性,表现为下肢无力、全身性水肿和蛋白尿、血尿伴进行性肾衰竭。肾脏活检发现她患有少免疫性新月体肾小球肾炎和急性肾小管间质性肾炎。她的梅毒螺旋体颗粒凝集试验阳性,梅毒快速血浆反应素试验阴性,伴有提示慢性梅毒感染的多发性神经病的临床证据。

结论和讨论

在少免疫性新月体肾小球肾炎的背景下,探索所有鉴别诊断非常重要。鉴于梅毒血清学阳性、临床背景和肾小管间质性肾炎的存在,她被诊断为梅毒肾小球肾炎,经青霉素和类固醇治疗后得到缓解。

https://cdn.ncbi.nlm.nih.gov/pmc/blobs/95b2/8146206/3c2e47431a18/12882_2021_2404_Fig2_HTML.jpg
https://cdn.ncbi.nlm.nih.gov/pmc/blobs/95b2/8146206/28202848237b/12882_2021_2404_Fig1_HTML.jpg
https://cdn.ncbi.nlm.nih.gov/pmc/blobs/95b2/8146206/3c2e47431a18/12882_2021_2404_Fig2_HTML.jpg
https://cdn.ncbi.nlm.nih.gov/pmc/blobs/95b2/8146206/28202848237b/12882_2021_2404_Fig1_HTML.jpg
https://cdn.ncbi.nlm.nih.gov/pmc/blobs/95b2/8146206/3c2e47431a18/12882_2021_2404_Fig2_HTML.jpg

相似文献

1
Syphilis-related rapidly progressive glomerulonephritis: a case presentation.梅毒相关性快速进展性肾小球肾炎:病例报告。
BMC Nephrol. 2021 May 25;22(1):196. doi: 10.1186/s12882-021-02404-z.
2
Resolution of syphilis-related rapidly progressive glomerulonephritis with penicillin therapy: Case report
.青霉素治疗梅毒相关快速进展性肾小球肾炎获缓解:病例报告
Clin Nephrol. 2020 Feb;93(2):106-110. doi: 10.5414/CN109847.
3
Atypical presentation of syphilis: Rapidly progressive glomerulonephritis.梅毒的非典型表现:快速进展性肾小球肾炎。
Clin Case Rep. 2023 Jan 16;11(1):e6864. doi: 10.1002/ccr3.6864. eCollection 2023 Jan.
4
Renal disease and syphilis: a report of nephrotic syndrome with minimal change disease.肾脏疾病与梅毒:一例微小病变型肾病综合征的报告
Am J Kidney Dis. 1987 Feb;9(2):176-9. doi: 10.1016/s0272-6386(87)80096-3.
5
The variety of clinical and histopathologic presentations of glomerulonephritis associated with latent syphilis.与潜伏梅毒相关的肾小球肾炎的各种临床和组织病理学表现。
Int Urol Nephrol. 1992;24(5):541-7. doi: 10.1007/BF02550123.
6
Don't forget syphilis in membranous nephropathy before immunosuppressants: Latent syphilis in a patient with proteinuria.在使用免疫抑制剂之前,不要忘记膜性肾病中的梅毒:一名蛋白尿患者的潜伏梅毒。
Nefrologia (Engl Ed). 2020 Nov-Dec;40(6):681-682. doi: 10.1016/j.nefro.2019.12.001. Epub 2020 Mar 3.
7
Membranous Glomerulonephritis as an Uncommon Presentation of Secondary Syphilis: A Reminder on Therapeutic Decision-Making in Clinical Practice.膜性肾小球肾炎作为二期梅毒的不常见表现:对临床实践中治疗决策的提醒。
J Investig Med High Impact Case Rep. 2020 Jan-Dec;8:2324709620967212. doi: 10.1177/2324709620967212.
8
Nephrotic "full-house" glomerulonephritis successfully treated with antibiotics alone in secondary syphilis: a case report.继发梅毒肾病“满堂红”肾小球肾炎单纯抗生素治疗成功:一例报告。
CEN Case Rep. 2024 Apr;13(2):86-92. doi: 10.1007/s13730-023-00803-9. Epub 2023 Jun 23.
9
Crescentic glomerulonephritis associated with syphilis: a case report and review of the literature.梅毒相关性环状体肾小球肾炎:病例报告及文献复习。
J Med Case Rep. 2023 Dec 22;17(1):549. doi: 10.1186/s13256-023-04293-2.
10
Glomerulonephritis Histopathological Pattern Change.肾小球肾炎的组织病理学模式变化。
BMC Nephrol. 2020 May 18;21(1):186. doi: 10.1186/s12882-020-01836-3.

引用本文的文献

1
Membranoproliferative glomerulonephritis with syphilis involvement and possible Hepatitis B virus contribution: a case report.合并梅毒感染及可能的乙型肝炎病毒感染的膜增生性肾小球肾炎:一例报告
BMC Nephrol. 2025 Feb 14;26(1):80. doi: 10.1186/s12882-025-03998-4.
2
Cholestatic Hepatitis with Concomitant Nephrotic Syndrome due to Secondary Syphilis in a Young Man.一名年轻男性因二期梅毒并发胆汁淤积性肝炎和肾病综合征
Case Rep Gastroenterol. 2024 Mar 18;18(1):136-143. doi: 10.1159/000537922. eCollection 2024 Jan-Dec.
3
Crescentic glomerulonephritis associated with syphilis: a case report and review of the literature.

本文引用的文献

1
Resolution of syphilis-related rapidly progressive glomerulonephritis with penicillin therapy: Case report
.青霉素治疗梅毒相关快速进展性肾小球肾炎获缓解:病例报告
Clin Nephrol. 2020 Feb;93(2):106-110. doi: 10.5414/CN109847.
2
Unusual presentation of secondary syphilis: membranoproliferative glomerulonephritis andmuco-cutaneous lesions.二期梅毒的罕见表现:膜增生性肾小球肾炎和黏膜皮肤病变。
Int J STD AIDS. 2018 Mar;29(4):410-413. doi: 10.1177/0956462417733351. Epub 2017 Sep 27.
3
Simultaneous nephrotic syndrome and hepatitis in secondary syphilis: case report and review of the literature.
梅毒相关性环状体肾小球肾炎:病例报告及文献复习。
J Med Case Rep. 2023 Dec 22;17(1):549. doi: 10.1186/s13256-023-04293-2.
4
Atypical Presentation of Tubulointerstitial Nephritis and Uveitis Syndrome, a Rare Disease.肾小管间质性肾炎与葡萄膜炎综合征(一种罕见疾病)的非典型表现
J Vitreoretin Dis. 2022 Nov 14;7(5):429-434. doi: 10.1177/24741264221120139. eCollection 2023 Sep-Oct.
5
Nephrotic "full-house" glomerulonephritis successfully treated with antibiotics alone in secondary syphilis: a case report.继发梅毒肾病“满堂红”肾小球肾炎单纯抗生素治疗成功:一例报告。
CEN Case Rep. 2024 Apr;13(2):86-92. doi: 10.1007/s13730-023-00803-9. Epub 2023 Jun 23.
6
Atypical presentation of syphilis: Rapidly progressive glomerulonephritis.梅毒的非典型表现:快速进展性肾小球肾炎。
Clin Case Rep. 2023 Jan 16;11(1):e6864. doi: 10.1002/ccr3.6864. eCollection 2023 Jan.
二期梅毒并发肾病综合征和肝炎:病例报告及文献复习
CEN Case Rep. 2015 Nov;4(2):223-227. doi: 10.1007/s13730-015-0173-2. Epub 2015 Apr 3.
4
Gastric Syphilis and Membranous Glomerulonephritis.胃梅毒与膜性肾小球肾炎
Clin Endosc. 2015 May;48(3):256-9. doi: 10.5946/ce.2015.48.3.256. Epub 2015 May 29.
5
Consensus statement on surgical pathology of the aorta from the Society for Cardiovascular Pathology and the Association for European Cardiovascular Pathology: I. Inflammatory diseases.心血管病理学会和欧洲心血管病理协会关于主动脉外科病理学的共识声明:I. 炎症性疾病。
Cardiovasc Pathol. 2015 Sep-Oct;24(5):267-78. doi: 10.1016/j.carpath.2015.05.001. Epub 2015 May 16.
6
IgG4-related kidney disease.IgG4 相关肾脏疾病。
Kidney Int. 2014 Feb;85(2):251-7. doi: 10.1038/ki.2013.393. Epub 2013 Oct 9.
7
Syphilis: a reversible cause of nephrotic syndrome.梅毒:肾病综合征的一个可逆病因。
BMJ Case Rep. 2013 Feb 8;2013:bcr2012008279. doi: 10.1136/bcr-2012-008279.
8
Diagnosis of IgG4-related tubulointerstitial nephritis.IgG4 相关肾小管间质性肾炎的诊断。
J Am Soc Nephrol. 2011 Jul;22(7):1343-52. doi: 10.1681/ASN.2011010062. Epub 2011 Jun 30.
9
Membranous glomerulonephritis in a patient with syphilis.一名梅毒患者的膜性肾小球肾炎。
Nefrologia. 2011;31(3):372-3. doi: 10.3265/Nefrologia.pre2011.Mar.10819.
10
Secondary syphilis and the nephrotic syndrome.二期梅毒与肾病综合征。
J Am Soc Nephrol. 1993 Jan;3(7):1351-5. doi: 10.1681/ASN.V371351.