• 文献检索
  • 文档翻译
  • 深度研究
  • 学术资讯
  • Suppr Zotero 插件Zotero 插件
  • 邀请有礼
  • 套餐&价格
  • 历史记录
应用&插件
Suppr Zotero 插件Zotero 插件浏览器插件Mac 客户端Windows 客户端微信小程序
定价
高级版会员购买积分包购买API积分包
服务
文献检索文档翻译深度研究API 文档MCP 服务
关于我们
关于 Suppr公司介绍联系我们用户协议隐私条款
关注我们

Suppr 超能文献

核心技术专利:CN118964589B侵权必究
粤ICP备2023148730 号-1Suppr @ 2026

文献检索

告别复杂PubMed语法,用中文像聊天一样搜索,搜遍4000万医学文献。AI智能推荐,让科研检索更轻松。

立即免费搜索

文件翻译

保留排版,准确专业,支持PDF/Word/PPT等文件格式,支持 12+语言互译。

免费翻译文档

深度研究

AI帮你快速写综述,25分钟生成高质量综述,智能提取关键信息,辅助科研写作。

立即免费体验

一名年轻男性因二期梅毒并发胆汁淤积性肝炎和肾病综合征

Cholestatic Hepatitis with Concomitant Nephrotic Syndrome due to Secondary Syphilis in a Young Man.

作者信息

Yang Chun-Chi, Chen Jui-Yi, Chang Hsuan-Yuan, Sheu Ming-Jen, Feng I-Che, Wang Su-Hung, Kuo Hsing-Tao

机构信息

Division of Hepatogastroenterology, Department of Internal Medicine, Chi Mei Medical Center, Tainan, Taiwan.

Division of Nephrology, Department of Internal Medicine, Chi Mei Medical Center, Tainan, Taiwan.

出版信息

Case Rep Gastroenterol. 2024 Mar 18;18(1):136-143. doi: 10.1159/000537922. eCollection 2024 Jan-Dec.

DOI:10.1159/000537922
PMID:38501149
原文链接:https://pmc.ncbi.nlm.nih.gov/articles/PMC10948170/
Abstract

INTRODUCTION

Syphilis, an ancient sexually transmitted disease, is recognized as a systemic infection disease manifesting with diverse symptoms and variations. Secondary syphilis characterized by systemic symptoms resulted from hematogenous and lymphatic dissemination of the infection, may include manifestations such as hepatitis and nephrotic syndrome. However, the simultaneous occurrence of hepatitis and nephrotic syndrome in secondary syphilis is rare.

CASE PRESENTATION

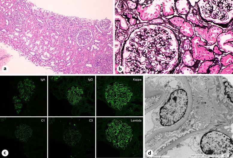
A young man presented with fatigue, abnormal liver function tests, and hyperbilirubinemia and had history of men who have sex with men (MSM). Serological tests confirmed the diagnosis of secondary syphilis, and kidney biopsy indicated membranous nephritis. After antibiotic treatment, the patient experienced resolution of proteinuria, and liver enzyme levels returned to normal.

CONCLUSION

Syphilis should be considered in the differential diagnosis of simultaneous liver and kidney dysfunction, particularly in patients engaging in high-risk sexual behavior. This case highlights the importance of considering syphilis in young patients with MSM and presenting with unexplained nephrotic syndrome and liver abnormalities.

摘要

引言

梅毒是一种古老的性传播疾病,被认为是一种表现出多种症状和变异的全身性感染疾病。二期梅毒以全身症状为特征,是由感染的血行和淋巴播散引起的,可能包括肝炎和肾病综合征等表现。然而,二期梅毒中同时出现肝炎和肾病综合征的情况较为罕见。

病例报告

一名年轻男性出现疲劳、肝功能检查异常和高胆红素血症,有男男性行为史。血清学检查确诊为二期梅毒,肾活检显示为膜性肾炎。抗生素治疗后,患者蛋白尿消失,肝酶水平恢复正常。

结论

在鉴别诊断同时出现肝肾功异常时应考虑梅毒,特别是在有高危性行为的患者中。本病例强调了在患有肾病综合征和肝脏异常且病因不明的男男性行为年轻患者中考虑梅毒的重要性。

https://cdn.ncbi.nlm.nih.gov/pmc/blobs/73a6/10948170/9ae99ab31c38/crg-2024-0018-0001-537922_F02.jpg
https://cdn.ncbi.nlm.nih.gov/pmc/blobs/73a6/10948170/206f56b585a3/crg-2024-0018-0001-537922_F01.jpg
https://cdn.ncbi.nlm.nih.gov/pmc/blobs/73a6/10948170/9ae99ab31c38/crg-2024-0018-0001-537922_F02.jpg
https://cdn.ncbi.nlm.nih.gov/pmc/blobs/73a6/10948170/206f56b585a3/crg-2024-0018-0001-537922_F01.jpg
https://cdn.ncbi.nlm.nih.gov/pmc/blobs/73a6/10948170/9ae99ab31c38/crg-2024-0018-0001-537922_F02.jpg

相似文献

1
Cholestatic Hepatitis with Concomitant Nephrotic Syndrome due to Secondary Syphilis in a Young Man.一名年轻男性因二期梅毒并发胆汁淤积性肝炎和肾病综合征
Case Rep Gastroenterol. 2024 Mar 18;18(1):136-143. doi: 10.1159/000537922. eCollection 2024 Jan-Dec.
2
Cholestatic hepatitis with concomitant nephrotic syndrome due to late syphilis in an immunocompetent 32-year-old man.一名免疫功能正常的32岁男性因晚期梅毒并发胆汁淤积性肝炎伴肾病综合征。
BMJ Case Rep. 2020 Feb 5;13(2):e232615. doi: 10.1136/bcr-2019-232615.
3
Early syphilitic hepatitis concomitant with nephrotic syndrome followed by acute kidney injury.早期梅毒相关性肝炎合并肾病综合征,随后发生急性肾损伤。
Clin J Gastroenterol. 2014 Aug;7(4):349-54. doi: 10.1007/s12328-014-0499-x. Epub 2014 Jun 10.
4
The Great Mimicker: Secondary Syphilis-Associated Nephrotic Syndrome in an Adolescent Patient.大伪装者:青少年梅毒相关性肾病综合征。
J Emerg Med. 2024 Jun;66(6):e720-e722. doi: 10.1016/j.jemermed.2024.01.009. Epub 2024 Jan 22.
5
Simultaneous nephrotic syndrome and hepatitis in secondary syphilis: case report and review of the literature.二期梅毒并发肾病综合征和肝炎:病例报告及文献复习
CEN Case Rep. 2015 Nov;4(2):223-227. doi: 10.1007/s13730-015-0173-2. Epub 2015 Apr 3.
6
Syphilitic hepatitis; a rare manifestation of a common disease.梅毒性肝炎;一种常见疾病的罕见表现。
Gastroenterol Hepatol Bed Bench. 2021 Winter;14(1):77-80.
7
Secondary Syphilis Associated with Membranous Nephropathy and Acute Hepatitis in a Patient with HIV: A Case Report.一名艾滋病毒患者出现与膜性肾病和急性肝炎相关的二期梅毒:病例报告
Perm J. 2018;22:17-062. doi: 10.7812/TPP/17-062.
8
Membranous Glomerulonephritis as an Uncommon Presentation of Secondary Syphilis: A Reminder on Therapeutic Decision-Making in Clinical Practice.膜性肾小球肾炎作为二期梅毒的不常见表现:对临床实践中治疗决策的提醒。
J Investig Med High Impact Case Rep. 2020 Jan-Dec;8:2324709620967212. doi: 10.1177/2324709620967212.
9
Syphilis and nephrotic syndrome: A case report and literature review.梅毒与肾病综合征:一例病例报告及文献综述
IDCases. 2024 Jun 28;37:e02016. doi: 10.1016/j.idcr.2024.e02016. eCollection 2024.
10
Syphilitic jaundice: a rare manifestation of the secondary stage presenting a missed opportunity to prevent ocular syphilis.梅毒黄疸:二期梅毒的一种罕见表现,提示存在预防眼梅毒的错失良机。
BMJ Case Rep. 2018 Jan 4;2018:bcr-2017-223023. doi: 10.1136/bcr-2017-223023.

本文引用的文献

1
Syphilis-related rapidly progressive glomerulonephritis: a case presentation.梅毒相关性快速进展性肾小球肾炎:病例报告。
BMC Nephrol. 2021 May 25;22(1):196. doi: 10.1186/s12882-021-02404-z.
2
Cholestatic hepatitis with concomitant nephrotic syndrome due to late syphilis in an immunocompetent 32-year-old man.一名免疫功能正常的32岁男性因晚期梅毒并发胆汁淤积性肝炎伴肾病综合征。
BMJ Case Rep. 2020 Feb 5;13(2):e232615. doi: 10.1136/bcr-2019-232615.
3
Liver Cholestasis Secondary to Syphilis in an Immunocompetent Patient.免疫功能正常患者继发于梅毒的肝胆汁淤积
Case Reports Hepatol. 2018 Oct 22;2018:8645068. doi: 10.1155/2018/8645068. eCollection 2018.
4
Simultaneous nephrotic syndrome and hepatitis in secondary syphilis: case report and review of the literature.二期梅毒并发肾病综合征和肝炎:病例报告及文献复习
CEN Case Rep. 2015 Nov;4(2):223-227. doi: 10.1007/s13730-015-0173-2. Epub 2015 Apr 3.
5
Syphilis.梅毒。
Lancet. 2017 Apr 15;389(10078):1550-1557. doi: 10.1016/S0140-6736(16)32411-4. Epub 2016 Dec 18.
6
Emerging secondary syphilis presenting as syphilitic hepatitis.表现为梅毒性肝炎的新发二期梅毒
Hepatology. 2017 Jun;65(6):2113-2115. doi: 10.1002/hep.28974. Epub 2017 Apr 24.
7
Secondary Syphilis With Hepatitis and Nephrotic Syndrome: A Rare Concurrence.二期梅毒合并肝炎和肾病综合征:一种罕见的并发情况。
J Clin Med Res. 2016 Jul;8(7):550-4. doi: 10.14740/jocmr2595w. Epub 2016 May 29.
8
Early syphilitic hepatitis concomitant with nephrotic syndrome followed by acute kidney injury.早期梅毒相关性肝炎合并肾病综合征,随后发生急性肾损伤。
Clin J Gastroenterol. 2014 Aug;7(4):349-54. doi: 10.1007/s12328-014-0499-x. Epub 2014 Jun 10.
9
Liver dysfunction in patients with early syphilis: a retrospective study.早期梅毒患者的肝功能异常:一项回顾性研究。
J Infect Chemother. 2013 Feb;19(1):180-2. doi: 10.1007/s10156-012-0440-5. Epub 2012 Jun 13.
10
Sexually transmitted infections in Asia and the Pacific--an epidemiological snapshot.亚洲及太平洋地区的性传播感染——流行病学概况
Sex Transm Infect. 2011 Dec;87 Suppl 2(Suppl 2):ii14-5. doi: 10.1136/sti.2010.047597.