Suppr超能文献

非感染性和/或免疫介导性脉络膜炎的分类:要点概述

Classification of Non-Infectious and/or Immune Mediated Choroiditis: A Brief Overview of the Essentials.

作者信息

Herbort Carl P, Mantovani Alessandro, Tugal-Tutkun Ilknur, Papasavvas Ioannis

机构信息

Retinal and Inflammatory Eye Diseases, Centre for Ophthalmic Specialized Care (COS), Clinic Montchoisi Teaching Centre, 1003 Lausanne, Switzerland.

Department of Ophthalmology, Valduce Hospital, 22100 Como, Italy.

出版信息

Diagnostics (Basel). 2021 May 24;11(6):939. doi: 10.3390/diagnostics11060939.

Abstract

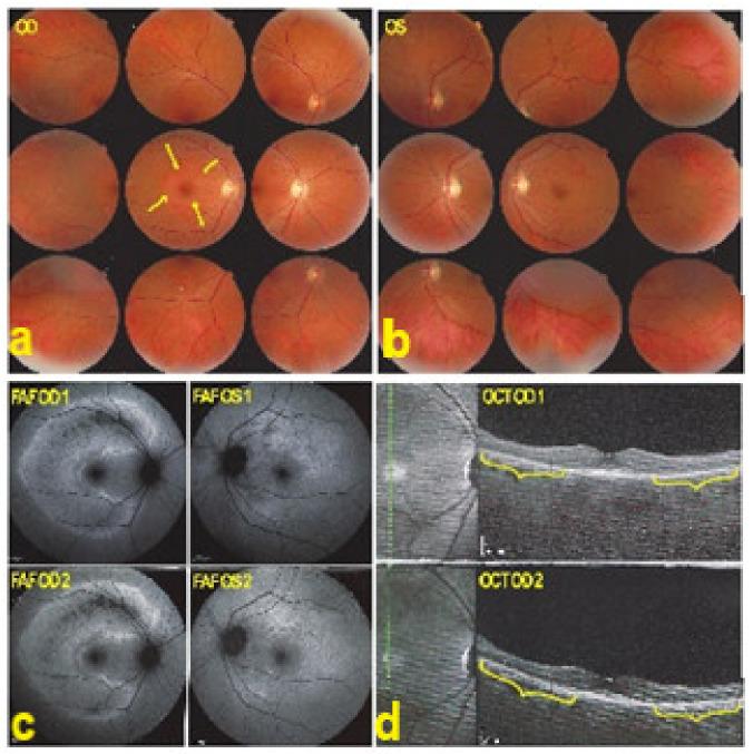
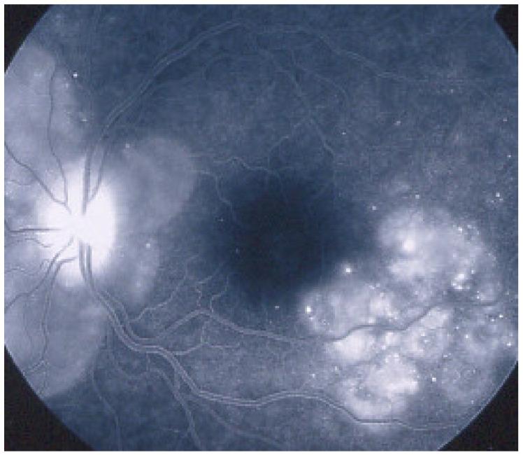
The choroid was poorly accessible to imaging investigation until the last decade of the last century. With the availability of more precise imaging methods such as indocyanine green angiography (ICGA) and, later, optical coherence tomography (OCT), enhanced depth OCT (EDI-OCT), and OCT angiography (OCTA), appraisal of choroidal inflammation has substantially gained in accuracy. This allowed to precisely determine which structures were touched in the different non-infectious choroiditis entities and made it possible to classify this group of diseases, ICGA signs, mainly hypofluorescent lesions, were identified and described. Previous publications have divided angiographic findings into two main sets of signs: (1) irregular "geographic" hypofluorescent areas corresponding to choriocapillaris non-perfusion and (2) round more regular, hypofluorescent dark dots more evenly distributed in the fundus corresponding to more deep choroidal stromal foci. These distinct findings allowed to subdivide and classify choroiditis into choriocapillaritis and stromal choroiditis. Additional signs were identified from EDI-OCT and OCTA examination supporting the classification of choroiditis into choriocapillaritis and stromal choroiditis. Results: Diseases involving principally the choriocapillaris included Multiple Evanescent White Dot Syndrome (MEWDS), Acute Posterior Multifocal Placoid Pigment Epitheliopathy (APMPPE), Idiopathic Multifocal Choroiditis (MFC), and Serpiginous Choroiditis (SC) as well as mixed forms. Diseases primarily involving the choroidal stroma included HLA-A29 Birdshot Retinochoroiditis (BRC), Vogt-Koyanagi-Harada disease (VKH), Sympathetic Ophthalmia (SO), and Sarcoidosis chorioretinitis (SARC). Thanks to new imaging investigations of the choroid, it is now possible to classify and understand the diverse clinicopathological mechanisms in the group of non-infectious choroiditis entities.

摘要

直到上世纪的最后十年,脉络膜都很难通过影像学检查进行观察。随着更精确的成像方法的出现,如吲哚菁绿血管造影(ICGA),以及后来的光学相干断层扫描(OCT)、增强深度OCT(EDI - OCT)和OCT血管造影(OCTA),脉络膜炎症的评估准确性有了显著提高。这使得能够精确确定不同非感染性脉络膜炎实体中哪些结构受到影响,并使对这组疾病进行分类成为可能。ICGA的征象,主要是低荧光病变,被识别和描述。以往的出版物将血管造影结果分为两组主要征象:(1)对应于脉络膜毛细血管无灌注的不规则“地图状”低荧光区,以及(2)在眼底分布更均匀的圆形、更规则的低荧光暗点,对应于更深层的脉络膜基质病灶。这些不同的发现使得将脉络膜炎细分为脉络膜毛细血管炎和基质性脉络膜炎成为可能。从EDI - OCT和OCTA检查中还发现了其他征象,支持将脉络膜炎分为脉络膜毛细血管炎和基质性脉络膜炎。结果:主要累及脉络膜毛细血管的疾病包括多发性一过性白点综合征(MEWDS)、急性后极部多灶性扁平色素上皮病变(APMPPE)、特发性多灶性脉络膜炎(MFC)、匐行性脉络膜炎(SC)以及混合形式。主要累及脉络膜基质的疾病包括HLA - A29鸟枪弹样视网膜脉络膜炎(BRC)、Vogt - 小柳 - 原田病(VKH)、交感性眼炎(SO)和结节病性脉络膜视网膜炎(SARC)。由于对脉络膜的新影像学研究,现在有可能对非感染性脉络膜炎实体组中的各种临床病理机制进行分类和理解。

https://cdn.ncbi.nlm.nih.gov/pmc/blobs/ba10/8225100/d8cb9cf667f4/diagnostics-11-00939-g003.jpg

文献AI研究员

20分钟写一篇综述,助力文献阅读效率提升50倍。

立即体验

用中文搜PubMed

大模型驱动的PubMed中文搜索引擎

马上搜索

文档翻译

学术文献翻译模型,支持多种主流文档格式。

立即体验