Suppr超能文献

胎儿自发性腹膜内肾破裂伴尿瘤形成。

Spontaneous intraperitoneal renal rupture with urinoma formation in the fetus.

作者信息

Harada Junki, Kihara Toshiharu, Ogata Tsutomu, Kinoshita Fumiko, Yamane Yusuke, Sakai Hideki

机构信息

Department of Urology and Renal Transplantation, Nagasaki University Hospital, Nagasaki, Japan.

Department of Pediatrics, Nagasaki University Hospital, Nagasaki, Japan.

出版信息

Urol Case Rep. 2021 May 5;37:101697. doi: 10.1016/j.eucr.2021.101697. eCollection 2021 Jul.

Abstract

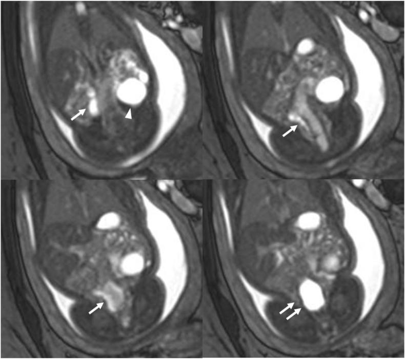
Spontaneous intraperitoneal renal rupture with urinoma formation in fetuses is an unusual condition that is caused by upper or lower urinary tract obstruction. We report the case of a neonatal male infant who presented with a spontaneous intraperitoneal right renal rupture accompanying ipsilateral ureterovesical junction obstruction (UVJO). Fetuses with UVJO accompanying contralateral multicystic dysplastic kidney should be observed carefully because of the risk of spontaneous renal rupture.

摘要

胎儿自发性腹膜内肾破裂伴尿瘤形成是一种由上尿路或下尿路梗阻引起的罕见病症。我们报告了一例新生儿男婴,其出现自发性腹膜内右肾破裂并伴有同侧输尿管膀胱连接部梗阻(UVJO)。由于存在自发性肾破裂的风险,对于伴有对侧多囊性发育不良肾的UVJO胎儿应仔细观察。

https://cdn.ncbi.nlm.nih.gov/pmc/blobs/d439/8167486/02d9089901ee/gr1.jpg

文献AI研究员

20分钟写一篇综述,助力文献阅读效率提升50倍。

立即体验

用中文搜PubMed

大模型驱动的PubMed中文搜索引擎

马上搜索

文档翻译

学术文献翻译模型,支持多种主流文档格式。

立即体验