Suppr超能文献

PrimPol 介导的重新引发促进 DNA 链间交联的复制遍历。

PrimPol-mediated repriming facilitates replication traverse of DNA interstrand crosslinks.

机构信息

DNA Replication Group, Molecular Oncology Programme, Spanish National Cancer Research Centre (CNIO), Madrid, Spain.

Institute of Molecular Cancer Research, University of Zurich, Zurich, Switzerland.

出版信息

EMBO J. 2021 Jul 15;40(14):e106355. doi: 10.15252/embj.2020106355. Epub 2021 Jun 15.

Abstract

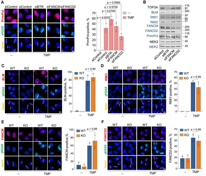
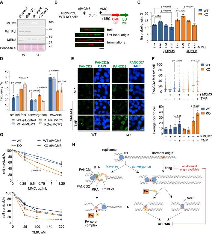
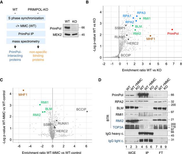
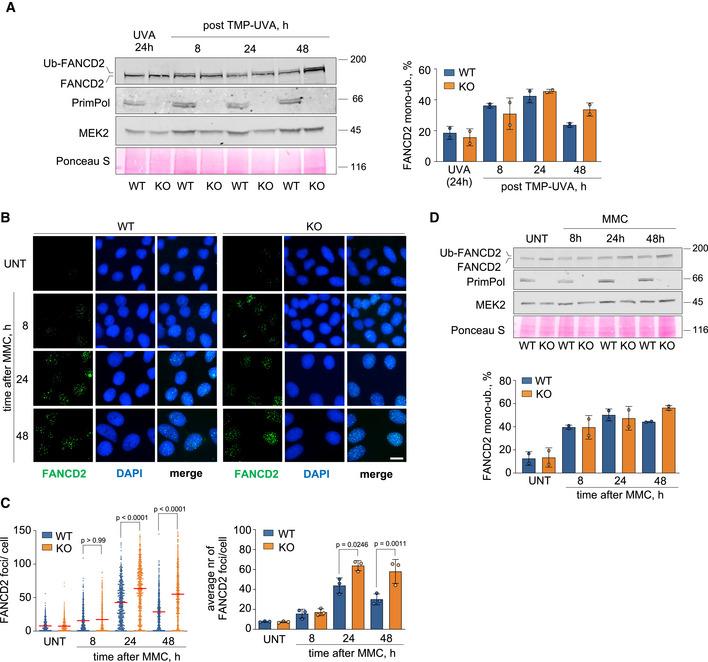
DNA interstrand crosslinks (ICLs) induced by endogenous aldehydes or chemotherapeutic agents interfere with essential processes such as replication and transcription. ICL recognition and repair by the Fanconi Anemia pathway require the formation of an X-shaped DNA structure that may arise from convergence of two replication forks at the crosslink or traversing of the lesion by a single replication fork. Here, we report that ICL traverse strictly requires DNA repriming events downstream of the lesion, which are carried out by PrimPol, the second primase-polymerase identified in mammalian cells after Polα/Primase. The recruitment of PrimPol to the vicinity of ICLs depends on its interaction with RPA, but not on FANCM translocase or the BLM/TOP3A/RMI1-2 (BTR) complex that also participate in ICL traverse. Genetic ablation of PRIMPOL makes cells more dependent on the fork convergence mechanism to initiate ICL repair, and PRIMPOL KO cells and mice display hypersensitivity to ICL-inducing drugs. These results open the possibility of targeting PrimPol activity to enhance the efficacy of chemotherapy based on DNA crosslinking agents.

摘要

DNA 链间交联 (ICLs) 是由内源性醛类或化疗药物诱导的,它们会干扰复制和转录等基本过程。范可尼贫血途径对 ICL 的识别和修复需要形成 X 形 DNA 结构,这种结构可能是交联处两个复制叉的会聚或单个复制叉穿过损伤部位而产生的。在这里,我们报告说,ICL 穿越严格要求损伤下游的 DNA 重新引发事件,这是由 PrimPol 完成的,它是继 Polα/引物酶之后在哺乳动物细胞中发现的第二种引物酶-聚合酶。PrimPol 被招募到 ICL 附近取决于它与 RPA 的相互作用,但不依赖于 FANCM 转位酶或 BLM/TOP3A/RMI1-2(BTR)复合物,后者也参与 ICL 穿越。PRIMPOL 的遗传缺失使细胞更依赖于分叉会聚机制来启动 ICL 修复,PRIMPOL KO 细胞和小鼠对 ICL 诱导药物更敏感。这些结果为靶向 PrimPol 活性以增强基于 DNA 交联剂的化疗效果提供了可能性。

https://cdn.ncbi.nlm.nih.gov/pmc/blobs/4823/8280817/c594c351dd8f/EMBJ-40-e106355-g010.jpg

文献AI研究员

20分钟写一篇综述,助力文献阅读效率提升50倍。

立即体验

用中文搜PubMed

大模型驱动的PubMed中文搜索引擎

马上搜索

文档翻译

学术文献翻译模型,支持多种主流文档格式。

立即体验