Suppr超能文献

PRIMPOL 通过与 RPA 相互作用与 RAD51 竞争,以解决 G-四链体引起的复制应激。

PRIMPOL competes with RAD51 to resolve G-quadruplex-induced replication stress via its interaction with RPA.

机构信息

Department of Genetics, School of Basic Medical Sciences, The Province and Ministry Co-sponsored Collaborative Innovation Center for Medical, General Hospital, Tianjin Medical University, Tianjin 300070, China.

Department of Stomatology, Shengjing Hospital, China Medical University, Shenyang 110004, China.

出版信息

Acta Biochim Biophys Sin (Shanghai). 2022 Nov 25;55(3):498-507. doi: 10.3724/abbs.2022165.

Abstract

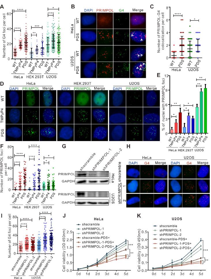
PRIMPOL (primase-polymerase) is a recently discovered DNA primase-polymerase involved in DNA damage tolerance and replication stress response in eukaryotic cells. However, the detailed mechanism of the PRIMPOL response to replication stress remains elusive. Here, we demonstrate that replication-related factors, including replication protein A (RPA), regulate the accumulation of PRIMPOL in subnuclear foci in response to replication stress induced by replication inhibitors. Moreover, PRIMPOL works at G-quadruplexes (G4s) in human cells to resolve the replication stress induced by G4s. The formation of PRIMPOL foci persists throughout the cell cycle. We further demonstrate that PRIMPOL competes with RAD51 to resolve G4-induced replication stress. In conclusion, our results provide novel insight into the mechanism of PRIMPOL in G4s to resolve replication stress and competition between PRIMPOL (repriming)- and RAD51 (fork reversal)-mediated pathways, which indicates a new strategy to improve the tumor response to DNA-damaging chemotherapy by targeting the PRIMPOL pathway.

摘要

PRIMPOL(引发酶-聚合酶)是一种新发现的真核细胞中参与 DNA 损伤容忍和复制应激反应的 DNA 引发酶-聚合酶。然而,PRIMPOL 对复制应激的反应的详细机制仍不清楚。在这里,我们证明了复制相关因子,包括复制蛋白 A(RPA),在复制抑制剂诱导的复制应激下,调节 PRIMPOL 在亚核焦点中的积累。此外,PRIMPOL 在人类细胞中在 G-四链体(G4s)处发挥作用,以解决 G4s 诱导的复制应激。PRIMPOL 焦点的形成贯穿整个细胞周期。我们进一步证明 PRIMPOL 与 RAD51 竞争以解决 G4 诱导的复制应激。总之,我们的结果为 PRIMPOL 在 G4s 中解决复制应激以及 PRIMPOL(重新引发)和 RAD51(叉反转)介导途径之间竞争的机制提供了新的见解,这表明通过靶向 PRIMPOL 途径提高肿瘤对 DNA 损伤化疗的反应的新策略。

https://cdn.ncbi.nlm.nih.gov/pmc/blobs/e1c3/10160237/9407b1dadfcc/ABBS-2022-365-t1.jpg

文献AI研究员

20分钟写一篇综述,助力文献阅读效率提升50倍。

立即体验

用中文搜PubMed

大模型驱动的PubMed中文搜索引擎

马上搜索

文档翻译

学术文献翻译模型,支持多种主流文档格式。

立即体验