State Key Laboratory of Microbial Technology, Shandong University, Qingdao, People's Republic of China.
Tianjin Key Laboratory of Radiation Medicine and Molecular Nuclear Medicine, Department of Radiobiology, Institute of Radiation Medicine of Chinese Academy of Medical Science and Peking Union Medical College, Tianjin, People's Republic of China.
Nat Commun. 2021 Jun 15;12(1):3619. doi: 10.1038/s41467-021-23723-7.
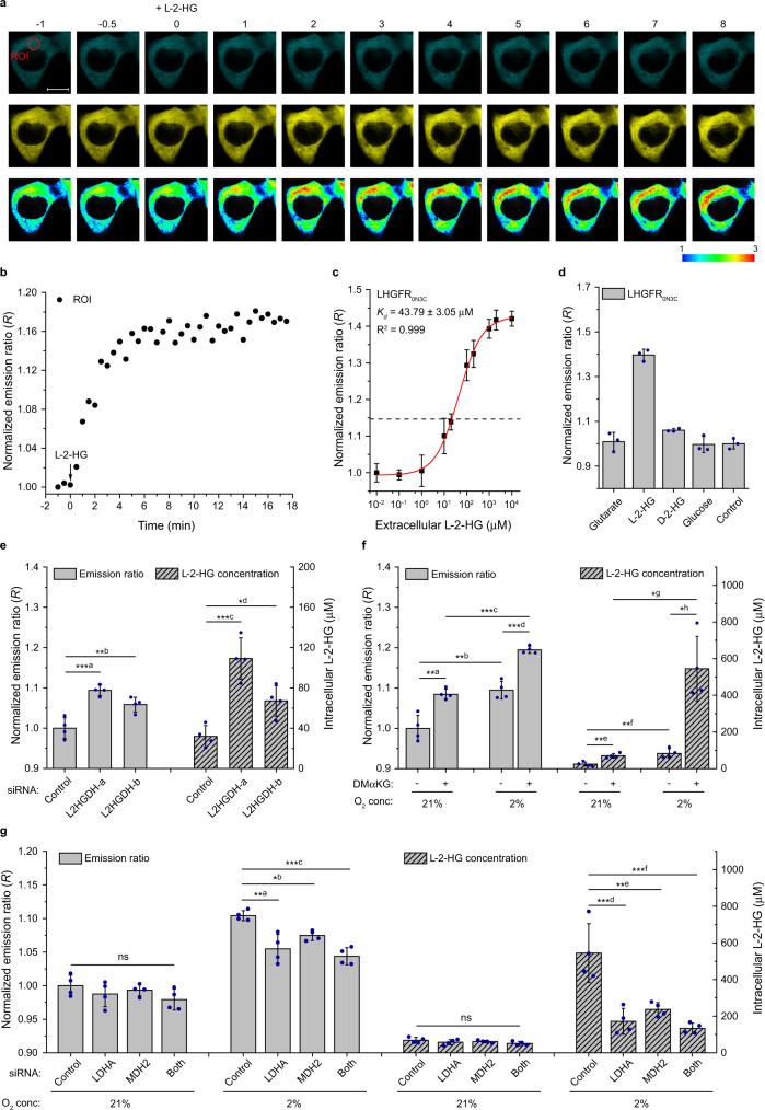
L-2-Hydroxyglutarate (L-2-HG) plays important roles in diverse physiological processes, such as carbon starvation response, tumorigenesis, and hypoxic adaptation. Despite its importance and intensively studied metabolism, regulation of L-2-HG metabolism remains poorly understood and none of regulator specifically responded to L-2-HG has been identified. Based on bacterial genomic neighborhood analysis of the gene encoding L-2-HG oxidase (LhgO), LhgR, which represses the transcription of lhgO in Pseudomonas putida W619, is identified in this study. LhgR is demonstrated to recognize L-2-HG as its specific effector molecule, and this allosteric transcription factor is then used as a biorecognition element to construct an L-2-HG-sensing FRET sensor. The L-2-HG sensor is able to conveniently monitor the concentrations of L-2-HG in various biological samples. In addition to bacterial L-2-HG generation during carbon starvation, biological function of the L-2-HG dehydrogenase and hypoxia induced L-2-HG accumulation are also revealed by using the L-2-HG sensor in human cells.
L-2-羟戊二酸(L-2-HG)在多种生理过程中发挥重要作用,如碳饥饿反应、肿瘤发生和低氧适应。尽管其重要性和代谢已被深入研究,但 L-2-HG 代谢的调节仍知之甚少,也没有发现专门针对 L-2-HG 的调节剂。本研究基于编码 L-2-HG 氧化酶(LhgO)的基因在假单胞菌 W619 中的细菌基因组邻域分析,鉴定了 LhgR。LhgR 被证明可以识别 L-2-HG 作为其特异性效应分子,然后将这种变构转录因子用作生物识别元件来构建 L-2-HG 感应 FRET 传感器。该 L-2-HG 传感器能够方便地监测各种生物样品中 L-2-HG 的浓度。除了细菌在碳饥饿期间产生的 L-2-HG 外,还通过在人细胞中使用 L-2-HG 传感器揭示了 L-2-HG 脱氢酶和低氧诱导的 L-2-HG 积累的生物学功能。