Suppr超能文献

日本野生型转甲状腺素蛋白淀粉样心肌病的诊断:红旗症状群和诊断算法。

Diagnosis of wild-type transthyretin amyloid cardiomyopathy in Japan: red-flag symptom clusters and diagnostic algorithm.

机构信息

Department of Cardiovascular Medicine, Kitasato University Kitasato Institute Hospital, 5-9-1, Shirokane, Minato-ku, Tokyo, 108-8642, Japan.

Division of Cardiovascular Medicine, Department of Medicine, Kurume University School of Medicine, Kurume, Japan.

出版信息

ESC Heart Fail. 2021 Aug;8(4):2647-2659. doi: 10.1002/ehf2.13473. Epub 2021 Jun 17.

Abstract

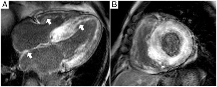
Wild-type transthyretin amyloid cardiomyopathy (ATTRwt-CM) is caused by the deposition of wild-type transthyretin (TTR) amyloid fibrils in the heart. The age at diagnosis of ATTRwt-CM is reported to be approximately 70-80 years, and patients commonly present with non-disease-specific cardiac abnormalities, such as heart failure with preserved ejection fraction and diastolic dysfunction. The disease can be fatal if left untreated, with an approximate survival of 3-5 years from diagnosis. An oral TTR stabilizer, tafamidis, has enabled early intervention for the treatment of ATTRwt-CM. However, awareness of ATTRwt-CM remains low, and misdiagnosis and a delay in diagnosis are common. This review discusses the epidemiology, characteristics, treatment strategy, and red-flag symptoms and signs of ATTRwt-CM based on the published literature, as well as recent advances in diagnostic modalities that enable early and accurate diagnosis of the disease. We also discuss an algorithm for early and accurate diagnosis of ATTRwt-CM in daily clinical practice. In our diagnostic algorithm, a suspected diagnosis of ATTRwt-CM should be triggered by unexplained left ventricular hypertrophy (LVH), which is LVH that cannot be explained by an increased afterload due to hypertension or valvular disease. In addition, heart failure symptoms, laboratory test results (N-terminal pro-B-type natriuretic peptide, high-sensitivity troponin T, or high-sensitivity troponin I), electrocardiogram and imaging (echocardiogram or cardiac magnetic resonance) data, age (≥60 years), and medical history suggestive of ATTRwt-CM (e.g. carpal tunnel syndrome) should be examined. Detailed examinations using bone scintigraphy and monoclonal protein detection tests followed by tissue biopsy, amyloid typing, and TTR genetic testing are warranted for a definite diagnosis of ATTRwt-CM.

摘要

野生型转甲状腺素蛋白淀粉样心肌病(ATTRwt-CM)是由野生型转甲状腺素蛋白(TTR)淀粉样纤维在心脏中的沉积引起的。ATTRwt-CM 的诊断年龄据报道约为 70-80 岁,患者通常表现为非特异性心脏异常,如射血分数保留的心力衰竭和舒张功能障碍。如果不治疗,该疾病可能致命,从诊断到死亡的平均存活时间约为 3-5 年。一种口服 TTR 稳定剂,塔法米地,已经能够早期干预治疗 ATTRwt-CM。然而,对 ATTRwt-CM 的认识仍然很低,误诊和诊断延迟很常见。本综述根据已发表的文献讨论了 ATTRwt-CM 的流行病学、特征、治疗策略以及 ATTRwt-CM 的警示症状和体征,以及最近在诊断方法方面的进展,这些方法能够早期准确诊断该疾病。我们还讨论了在日常临床实践中早期准确诊断 ATTRwt-CM 的算法。在我们的诊断算法中,不明原因的左心室肥厚(LVH)应该触发对 ATTRwt-CM 的疑似诊断,LVH 不能用高血压或瓣膜病引起的后负荷增加来解释。此外,心力衰竭症状、实验室检查结果(N 末端脑钠肽前体、高敏肌钙蛋白 T 或高敏肌钙蛋白 I)、心电图和影像学(超声心动图或心脏磁共振)数据、年龄(≥60 岁)和提示 ATTRwt-CM 的病史(例如腕管综合征)也应进行检查。对于 ATTRwt-CM 的明确诊断,应进行详细的骨骼闪烁显像和单克隆蛋白检测试验,然后进行组织活检、淀粉样蛋白分型和 TTR 基因检测。

https://cdn.ncbi.nlm.nih.gov/pmc/blobs/ff2f/8318452/cc9719d5d487/EHF2-8-2647-g004.jpg

文献AI研究员

20分钟写一篇综述,助力文献阅读效率提升50倍。

立即体验

用中文搜PubMed

大模型驱动的PubMed中文搜索引擎

马上搜索

文档翻译

学术文献翻译模型,支持多种主流文档格式。

立即体验