Suppr超能文献

不含有机质和I型胶原蛋白处理的自体牙骨移植材料对骨再生的影响。

The effect of autogenous tooth bone graft material without organic matter and type I collagen treatment on bone regeneration.

作者信息

Kim Min-Gu, Lee Jung-Han, Kim Gyoo-Cheon, Hwang Dae-Seok, Kim Chul-Hun, Kim Bok-Joo, Kim Jung-Han, Kim Uk-Kyu

机构信息

Department of Oral and Maxillofacial Surgery, School of Dentistry, Pusan National University, Yangsan, 50612, Republic of Korea.

Department of Oral Anatomy, School of Dentistry, Pusan National University, Yangsan, 50612, Republic of Korea.

出版信息

Maxillofac Plast Reconstr Surg. 2021 Jun 18;43(1):17. doi: 10.1186/s40902-021-00302-w.

Abstract

OBJECTIVES

The aim of this study is to examine the effect of particulate autogenous tooth graft removed with organic matter and type I collagen addition on bone regeneration and to validate the possibility of useful allograft material for jaw defects.

MATERIAL AND METHODS

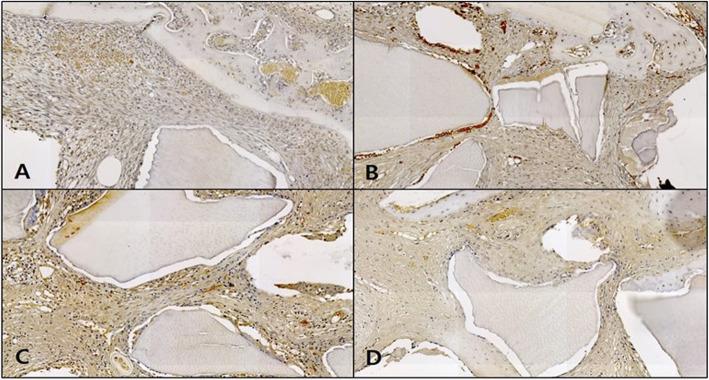
Autogenous tooth bone maker (Korean Dental Solution® KOREA) made particulate autogenous tooth not including organic matter. We used to the developed tooth grafts for experiment. Cell adhesion test with hemacytometer and energy dispersive X-ray spectroscopy (Supra40 VP®, Carl Zeiss, Germany) analysis about the particulate autogenous tooth and type I collagen were performed. Rabbits were divided into three groups: bone graft with organic matter (OM) removing particulate autogenous tooth group, bone graft with OM removing particulate autogenous tooth and type I collagen group, and a control group. Bone grafting was performed in rabbit's calvaria. The rabbits were sacrificed at different interval at 1, 2, 4, and 6 weeks after bone grafting for the histopathologic observation and observed the effect of bone regeneration by SEM, H-E & Masson stains, osteocalcin IHC staining.

RESULT

In vitro cytopathological study showed affinity for cells, cell attachment pattern, and cell proliferation in the order of control group, OM-removed and collagen-treated group, OM-removed particulate autogenous tooth group. The results of the degree of mineralization were opposite to those of the previous cell experimental results, and the OM-removed group, OM-removed group and collagen-treated group were relatively higher than the control group. Histopathologic analysis showed that vascularization and neonatal bone formation were higher in particulate autogenous tooth group with removing OM and with addition of collagen than control group and group of OM removed only. Immunohistochemical analysis showed that osteocalcin (OSC) expression was not observed in the control group, but at 4 weeks groups, OSC expression was observed the OM removed and OM-removed-collagen-treated particulate autogenous tooth, and the degree of expression was somewhat stronger in group of the OM removed and collagen additionally treated particulate autogenous tooth.

CONCLUSION

Particles that do not contain organic matter, the saint tooth, was responsible for sufficient bone graft material through the role of space maintenance and bone conduction, and further improved bone formation ability through additional collagen treatment. Therefore, research on various extracellular substrates and autologous bone grafting materials is necessary, and through this, it is possible to lay the foundation for a new type of autologous bone grafting material with excellent academic and technical utility.

摘要

目的

本研究旨在探讨去除有机物并添加I型胶原的自体牙颗粒移植对骨再生的影响,并验证其作为颌骨缺损有效同种异体移植材料的可能性。

材料与方法

自体牙骨生成器(韩国牙科解决方案®韩国)制备不包含有机物的自体牙颗粒。我们将制备好的牙移植体用于实验。使用血细胞计数器进行细胞黏附试验,并对自体牙颗粒和I型胶原进行能量色散X射线光谱分析(德国卡尔蔡司公司的Supra40 VP®)。将兔子分为三组:去除有机物的自体牙颗粒骨移植组、去除有机物并添加I型胶原的自体牙颗粒骨移植组和对照组。在兔颅骨上进行骨移植。在骨移植后的1、2、4和6周不同时间点处死兔子,进行组织病理学观察,并通过扫描电子显微镜、苏木精-伊红染色和马松染色观察骨再生效果,进行骨钙素免疫组化染色。

结果

体外细胞病理学研究显示,对照组、去除有机物并经胶原处理组、去除有机物的自体牙颗粒组对细胞的亲和力、细胞附着模式和细胞增殖情况依次递减。矿化程度结果与先前细胞实验结果相反,去除有机物组、去除有机物并经胶原处理组相对高于对照组。组织病理学分析表明,去除有机物并添加胶原的自体牙颗粒组的血管化和新生骨形成高于对照组和仅去除有机物组。免疫组化分析显示,对照组未观察到骨钙素(OSC)表达,但在4周时,去除有机物组和去除有机物并经胶原处理的自体牙颗粒组观察到OSC表达,且去除有机物并额外经胶原处理的自体牙颗粒组表达程度稍强。

结论

不含有机物的颗粒,即圣牙,通过维持空间和骨传导作用,成为充足的骨移植材料,并通过额外的胶原处理进一步提高骨形成能力。因此,有必要对各种细胞外基质和自体骨移植材料进行研究,以此为具有优异学术和技术实用性新型自体骨移植材料奠定基础。

https://cdn.ncbi.nlm.nih.gov/pmc/blobs/5909/8212298/acb497dbc9e7/40902_2021_302_Fig1_HTML.jpg

文献AI研究员

20分钟写一篇综述,助力文献阅读效率提升50倍。

立即体验

用中文搜PubMed

大模型驱动的PubMed中文搜索引擎

马上搜索

文档翻译

学术文献翻译模型,支持多种主流文档格式。

立即体验