• 文献检索
  • 文档翻译
  • 深度研究
  • 学术资讯
  • Suppr Zotero 插件Zotero 插件
  • 邀请有礼
  • 套餐&价格
  • 历史记录
应用&插件
Suppr Zotero 插件Zotero 插件浏览器插件Mac 客户端Windows 客户端微信小程序
定价
高级版会员购买积分包购买API积分包
服务
文献检索文档翻译深度研究API 文档MCP 服务
关于我们
关于 Suppr公司介绍联系我们用户协议隐私条款
关注我们

Suppr 超能文献

核心技术专利:CN118964589B侵权必究
粤ICP备2023148730 号-1Suppr @ 2026

文献检索

告别复杂PubMed语法,用中文像聊天一样搜索,搜遍4000万医学文献。AI智能推荐,让科研检索更轻松。

立即免费搜索

文件翻译

保留排版,准确专业,支持PDF/Word/PPT等文件格式,支持 12+语言互译。

免费翻译文档

深度研究

AI帮你快速写综述,25分钟生成高质量综述,智能提取关键信息,辅助科研写作。

立即免费体验

乙型肝炎相关失代偿性肝硬化患者脑内无数微出血:病例报告。

Innumerable cerebral microbleeds in hepatitis B virus-related decompensated liver cirrhosis: a case report.

机构信息

Department of Internal Medicine, Kyung Hee University Hospital, Kyung Hee University College of Medicine, Seoul, 02447, South Korea.

Department of Neurology, Kyung Hee University Hospital, Kyung Hee University College of Medicine, #23 Kyunghee-daero, Dongdaemun-gu, Seoul, 02447, South Korea.

出版信息

BMC Neurol. 2021 Jun 26;21(1):245. doi: 10.1186/s12883-021-02291-9.

DOI:10.1186/s12883-021-02291-9
PMID:34172015
原文链接:https://pmc.ncbi.nlm.nih.gov/articles/PMC8234623/
Abstract

BACKGROUND

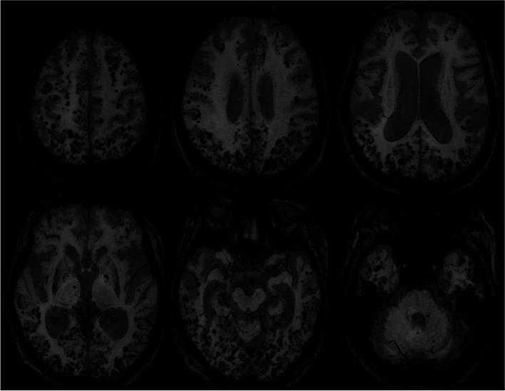
Cerebral microbleeds (CMBs) are small, rounded, dark-signal lesions on brain MRI that represent cerebral hemosiderin deposits resulting from prior microhemorrhages and are neuroimaging biomarkers of cerebral amyloid angiopathy (CAA). Here, we report a case of innumerable CMBs in a patient with hepatic encephalopathy underlying decompensated liver cirrhosis.

CASE PRESENTATION

An 83-year-old woman diagnosed with hepatitis B virus-related liver cirrhosis 40 years before was referred to our neurology clinic for progressive disorientation of time and place, personality changes, and confusion with somnolence over 2 weeks. Based on the laboratory, neuroimaging, and electrophysiological findings, we diagnosed the patient with hepatic encephalopathy, and her symptoms recovered within 12 h after proper medical management. Brain MRI showed innumerable CMBs in the bilateral frontal, parietal, temporal, and occipital lobes. Since the distribution of CMBs in the patient was mainly corticosubcortical and predominantly in the posterior cortical regions, and the apolipoprotein E genotype was ε4/ε4, we speculated that CAA and hepatic encephalopathy coexisted in this patient.

CONCLUSIONS

We suggest that severe liver dysfunction associated with long-term decompensated liver cirrhosis may be related to an increased number of CMBs in the brain. Our findings indicate that decompensated liver cirrhosis may be a risk factor for the development of CMBs and corroborate a link between the liver and the brain.

摘要

背景

脑微出血(CMBs)是脑 MRI 上的小圆形暗信号病灶,代表由于先前微出血导致的脑含铁血黄素沉积,是脑淀粉样血管病(CAA)的神经影像学生物标志物。在此,我们报告了一例肝性脑病合并失代偿性肝硬化患者存在无数 CMB 的病例。

病例介绍

一名 83 岁女性,40 年前被诊断为乙型肝炎病毒相关肝硬化,因 2 周来逐渐出现时间和地点定向障碍、人格改变和伴嗜睡的意识混乱,被转至我院神经内科就诊。根据实验室、神经影像学和电生理学检查结果,我们诊断该患者为肝性脑病,经适当的药物治疗后,其症状在 12 小时内得到缓解。脑 MRI 显示双侧额、顶、颞和枕叶存在无数 CMB。由于该患者的 CMB 分布主要为皮质下和皮质后区为主,载脂蛋白 E 基因型为 ε4/ε4,我们推测该患者同时存在 CAA 和肝性脑病。

结论

我们认为严重的肝功能障碍与长期失代偿性肝硬化有关,可能与脑内 CMB 数量增加有关。我们的发现表明,失代偿性肝硬化可能是 CMB 发生的危险因素,并证实了肝脏和大脑之间的联系。

https://cdn.ncbi.nlm.nih.gov/pmc/blobs/ad12/8234623/41db5774eea3/12883_2021_2291_Fig2_HTML.jpg
https://cdn.ncbi.nlm.nih.gov/pmc/blobs/ad12/8234623/a172fe3085d2/12883_2021_2291_Fig1_HTML.jpg
https://cdn.ncbi.nlm.nih.gov/pmc/blobs/ad12/8234623/41db5774eea3/12883_2021_2291_Fig2_HTML.jpg
https://cdn.ncbi.nlm.nih.gov/pmc/blobs/ad12/8234623/a172fe3085d2/12883_2021_2291_Fig1_HTML.jpg
https://cdn.ncbi.nlm.nih.gov/pmc/blobs/ad12/8234623/41db5774eea3/12883_2021_2291_Fig2_HTML.jpg

相似文献

1
Innumerable cerebral microbleeds in hepatitis B virus-related decompensated liver cirrhosis: a case report.乙型肝炎相关失代偿性肝硬化患者脑内无数微出血:病例报告。
BMC Neurol. 2021 Jun 26;21(1):245. doi: 10.1186/s12883-021-02291-9.
2
Case of Cerebral Amyloid Angiopathy-Related Inflammation - Is the Absence of Cerebral Microbleeds A Good Prognostic Sign?脑淀粉样血管病相关性炎症病例——脑微出血的缺失是良好的预后指标吗?
J Stroke Cerebrovasc Dis. 2015 Nov;24(11):e319-22. doi: 10.1016/j.jstrokecerebrovasdis.2015.08.001. Epub 2015 Sep 2.
3
Background and distribution of lobar microbleeds in cognitive dysfunction.认知功能障碍患者的脑叶微出血的背景和分布。
Brain Behav. 2017 Oct 16;7(11):e00856. doi: 10.1002/brb3.856. eCollection 2017 Nov.
4
Multiple cerebral microbleeds and atypical β-amyloid deposits: A case report.多发性脑微出血与非典型β-淀粉样蛋白沉积:一例报告
Medicine (Baltimore). 2019 Dec;98(51):e18296. doi: 10.1097/MD.0000000000018296.
5
Neuroimaging Correlates of Cerebral Microbleeds: The ARIC Study (Atherosclerosis Risk in Communities).脑微出血的神经影像学关联:社区动脉粥样硬化风险研究(ARIC研究)
Stroke. 2017 Nov;48(11):2964-2972. doi: 10.1161/STROKEAHA.117.018336. Epub 2017 Oct 10.
6
[Clinical relevance of cerebral microbleeds--update].[脑微出血的临床相关性——最新进展]
Nihon Rinsho. 2016 Apr;74(4):603-8.
7
Cortical microinfarcts in patients with multiple lobar microbleeds on 3 T MRI.3T MRI 上多发性脑叶微出血患者的皮质微梗死。
J Neurol. 2019 Aug;266(8):1887-1896. doi: 10.1007/s00415-019-09350-9. Epub 2019 May 2.
8
Pathogenesis of cerebral microbleeds: In vivo imaging of amyloid and subcortical ischemic small vessel disease in 226 individuals with cognitive impairment.脑微出血的发病机制:226 名认知障碍个体中淀粉样蛋白和皮质下缺血性小血管病的体内影像学研究。
Ann Neurol. 2013 May;73(5):584-93. doi: 10.1002/ana.23845. Epub 2013 Mar 12.
9
Mixed-Location Cerebral Microbleeds: An Imaging Biomarker for Cerebrovascular Pathology in Cognitive Impairment and Dementia in a Memory Clinic Population.混合部位脑微出血:认知障碍和痴呆记忆门诊人群中脑血管病理的影像学生物标志物。
J Alzheimers Dis. 2019;71(4):1309-1320. doi: 10.3233/JAD-190540.
10
Comparison of cerebrospinal fluid profiles in Alzheimer's disease with multiple cerebral microbleeds and cerebral amyloid angiopathy-related inflammation.阿尔茨海默病合并多发性脑微出血及脑淀粉样血管病相关炎症患者的脑脊液特征比较
J Neurol. 2017 Feb;264(2):373-381. doi: 10.1007/s00415-016-8362-2. Epub 2016 Dec 20.

引用本文的文献

1
Rule out all differential causes before attributing cerebral bleeding to 5-aminolevulinic acid.在将脑出血归因于5-氨基乙酰丙酸之前,排除所有鉴别诊断的病因。
Childs Nerv Syst. 2023 Apr;39(4):847-848. doi: 10.1007/s00381-023-05906-3. Epub 2023 Mar 1.

本文引用的文献

1
Non-alcoholic fatty liver disease and cerebral small vessel disease in Korean cognitively normal individuals.韩国认知正常个体的非酒精性脂肪性肝病与脑小血管病。
Sci Rep. 2019 Feb 12;9(1):1814. doi: 10.1038/s41598-018-38357-x.
2
Hepatic encephalopathy.肝性脑病
Gastroenterol Rep (Oxf). 2017 May;5(2):138-147. doi: 10.1093/gastro/gox013. Epub 2017 Apr 18.
3
Emerging concepts in sporadic cerebral amyloid angiopathy.散发性脑淀粉样血管病的新观念
Brain. 2017 Jul 1;140(7):1829-1850. doi: 10.1093/brain/awx047.
4
Relationship between Cerebral Microbleeds and Liver Stiffness Determined by Transient Elastography.经瞬时弹性成像测定的脑微出血与肝硬度之间的关系
PLoS One. 2015 Sep 30;10(9):e0139227. doi: 10.1371/journal.pone.0139227. eCollection 2015.
5
Use of coumarin anticoagulants and cerebral microbleeds in the general population.普通人群中香豆素类抗凝剂的使用与脑微出血
Stroke. 2014 Nov;45(11):3436-9. doi: 10.1161/STROKEAHA.114.007112. Epub 2014 Oct 14.
6
Cerebral amyloid angiopathy in the elderly.老年人脑淀粉样血管病。
Ann Neurol. 2011 Dec;70(6):871-80. doi: 10.1002/ana.22516.
7
Microbleeds versus macrobleeds: evidence for distinct entities.微出血与大出血:不同实体的证据。
Stroke. 2009 Jul;40(7):2382-6. doi: 10.1161/STROKEAHA.109.548974. Epub 2009 May 14.