Department of Obstetrics and Gynecology, Third Affiliated Hospital of Sun Yat-sen University, Guangzhou, China.
Health Care Center of Minzhi Community, Shenzhen, China.
Front Endocrinol (Lausanne). 2021 Jun 10;12:689888. doi: 10.3389/fendo.2021.689888. eCollection 2021.
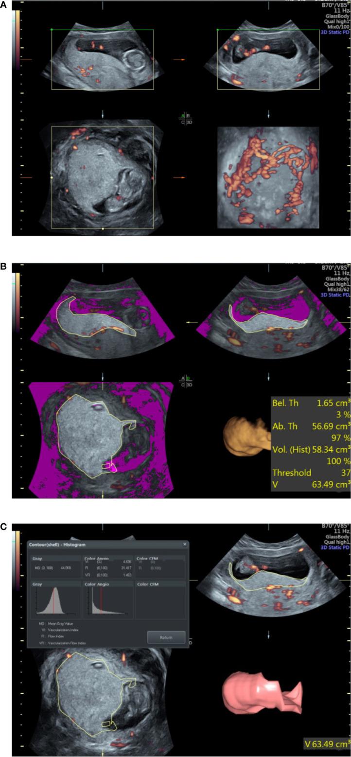
The use of ultrasonography in pregnancies complicated with gestational diabetes mellitus (GDM) can vary according to clinical practice. This study aims to compare the changes of placental volume (PV) and vascular indices measured by three-dimensional (3D) Power Doppler between pregnant women with and without GDM.
This was a prospective study of singleton pregnancies who took the early nuchal translucency examination from January 2018 to September 2019. Data on PV and vascular indices including vascularization index (VI), flow index (FI), and vascularization flow index (VFI) between pregnant women with and without GDM were measured by 3D Power Doppler ultrasound machine. Univariate and multivariate logistic regression determined the association between risk factors and GDM. Receiver operating characteristic (ROC) and area under the ROC curve (AUC) were applied to evaluate the diagnostic value of different parameters for GDM.
Of the 141 pregnant women enrolled, 35 developed GDM and 106 did not. The maternal age and gravida in the GDM group were significantly higher than that in the non-GDM group. The PV, VI, FI, and VFI in the GDM group were significantly lower than that in the non-GDM group. There were no significant differences in other clinical parameters between the two groups. After adjustments in multivariate logistic regression analysis, significant differences were observed in VI [odds ratio (OR) = 0.98, 95% confidence interval (CI) = 0.951-1.002], FI (OR = 0.93, 955 CI: 0.86-1.00), and VFI (OR = 0.67, 95% CI = 0.52-0.87). ROC analysis indicated that the combination of maternal age, gravida, PV, and VFI was more accurate as a marker for detecting GDM than the PV, VI, FI, or VFI alone.
The 3D ultrasonography results suggest that PV and vascular indices (VI, FI, and VFI) during the first trimester may serve as potential markers for GDM diagnosis. The combination of maternal age, gravida, and sonographic markers may have good diagnostic values for GDM, which should be confirmed by further investigations.
在伴有妊娠期糖尿病(GDM)的妊娠中,超声检查的应用可能因临床实践而异。本研究旨在比较三维(3D)能量多普勒超声检查测量的胎盘体积(PV)和血管指数在有和无 GDM 的孕妇之间的变化。
这是一项前瞻性研究,纳入了 2018 年 1 月至 2019 年 9 月间接受早期颈项透明层检查的单胎妊娠孕妇。使用 3D 能量多普勒超声仪测量有和无 GDM 孕妇的 PV 和血管指数,包括血管化指数(VI)、血流指数(FI)和血管化血流指数(VFI)。单变量和多变量逻辑回归确定了危险因素与 GDM 之间的关联。接受者操作特征(ROC)和 ROC 曲线下面积(AUC)用于评估不同参数对 GDM 的诊断价值。
共纳入 141 例孕妇,其中 35 例发生 GDM,106 例未发生 GDM。GDM 组的孕妇年龄和孕次明显高于非 GDM 组。GDM 组的 PV、VI、FI 和 VFI 明显低于非 GDM 组。两组间其他临床参数无显著性差异。多变量逻辑回归分析调整后,VI [比值比(OR)=0.98,95%置信区间(CI)=0.951-1.002]、FI(OR=0.93,95%CI:0.86-1.00)和 VFI(OR=0.67,95%CI=0.52-0.87)差异有统计学意义。ROC 分析表明,与单独的 PV、VI、FI 或 VFI 相比,将孕妇年龄、孕次、PV 和 VFI 相结合作为检测 GDM 的标志物更准确。
3D 超声结果表明,孕早期 PV 和血管指数(VI、FI 和 VFI)可能成为 GDM 诊断的潜在标志物。将孕妇年龄、孕次和超声标志物相结合可能对 GDM 具有良好的诊断价值,这需要进一步的研究来证实。