Suppr超能文献

新型冠状病毒肺炎患者的出血性梗死性卒中:两例报告并文献复习

Hemorrhagic infarctive stroke in COVID-19 patients: report of two cases and review of the literature.

作者信息

Owolabi Lukman Femi, Raafat Ahmed, Enwere Okezie Oguamanam, Mustapha Adekunle F, Adamu Bappa, AlGhamdi Mushabab

机构信息

Department of Medicine, College of Medicine, University of Bisha, Bisha, Saudi Arabia.

King Abdullah Hospital, Bisha, Saudi Arabia.

出版信息

J Community Hosp Intern Med Perspect. 2021 May 10;11(3):322-326. doi: 10.1080/20009666.2021.1883814.

Abstract

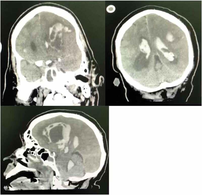
There is growing evidence in support of ischemic stroke as a manifestation of COVID-19 infection. However, hemorrhagic transformation of ischemic stroke is rare. We present two cases of hemorrhagic infarction as presenting features in COVID-19 patients who did not have traditional cardiovascular risk factors for ischemic or hemorrhagic stroke. While the hemorrhagic infarct was from a large artery in one of the patients, the other patient had a small artery related hemorrhagic infarct. We highlighted the possible underlining mechanisms from the literature and the implication of hemorrhagic infarct for routine anticoagulant therapy in patients with COVID -19 related ischemic stroke.

摘要

越来越多的证据支持缺血性中风是新冠病毒感染的一种表现。然而,缺血性中风的出血性转化很少见。我们报告了两例以出血性梗死为首发特征的新冠病毒感染患者,他们没有缺血性或出血性中风的传统心血管危险因素。其中一例患者的出血性梗死源于大动脉,另一例患者的出血性梗死与小动脉有关。我们从文献中强调了可能的潜在机制以及出血性梗死对新冠病毒相关缺血性中风患者常规抗凝治疗的影响。

https://cdn.ncbi.nlm.nih.gov/pmc/blobs/2037/8118441/dc1289bb9314/ZJCH_A_1883814_F0001_OC.jpg

文献检索

告别复杂PubMed语法,用中文像聊天一样搜索,搜遍4000万医学文献。AI智能推荐,让科研检索更轻松。

立即免费搜索

文件翻译

保留排版,准确专业,支持PDF/Word/PPT等文件格式,支持 12+语言互译。

免费翻译文档

深度研究

AI帮你快速写综述,25分钟生成高质量综述,智能提取关键信息,辅助科研写作。

立即免费体验