Suppr超能文献

猪瘟病毒致细胞病变报告株的特性研究。

Characterization of a Cytopathogenic Reporter CSFV.

机构信息

Institute of Virology, Faculty of Veterinary Medicine, Justus-Liebig-University, Biomedical Research Center, Schubertstrasse 81, 35392 Giessen, Germany.

出版信息

Viruses. 2021 Jun 23;13(7):1209. doi: 10.3390/v13071209.

Abstract

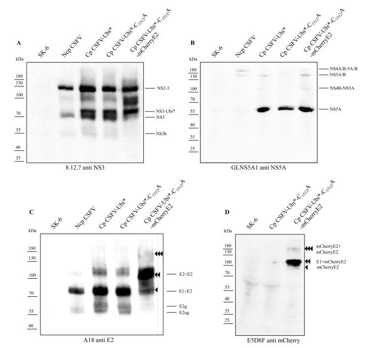
Cytopathogenic (cp) pestiviruses frequently emerge in cattle that are persistently infected with the bovine viral diarrhea virus (BVDV) as a consequence of RNA recombination and mutation. They induce apoptosis in infected tissue cultures, are highly attenuated in the immunocompetent host, and unable to establish persistent infections after diaplacental infections. Cp strains of BVDV have been used as naturally attenuated live vaccines and for species-specific plaque reduction tests for the indirect serological detection of BVDV. Here, we present a genetically engineered cp strain of the classical swine fever virus (CSFV). Cytopathogenicity of the strain was induced by the insertion of ubiquitin embedded in a large NS3 to NS4B duplication. The CSFV RNA genome was stabilized by the inactivation of the NS2 autoprotease, hindering the deletion of the insertion and the reversion to a wild-type genome. Additional insertion of a mCherry gene at the 5'-end of the E2 gene allowed fluorescence-verified plaque reduction assays for CSFV, thus providing a novel, cost-efficient diagnostic tool. This genetically stabilized cp CSFV strain could be further used as a basis for potential new modified live vaccines. Taken together, we applied reverse genetics to rationally fixate a typical cp NS3 duplication in a CSFV genome.

摘要

细胞病变型(cp)瘟病毒经常在持续性感染牛病毒性腹泻病毒(BVDV)的牛中出现,这是由于 RNA 重组和突变的结果。它们在受感染的组织培养物中诱导细胞凋亡,在免疫功能正常的宿主中高度减毒,并且在胎盘后感染后无法建立持续性感染。BVDV 的 cp 株已被用作天然减毒活疫苗,并用于种特异性蚀斑减少试验,以间接血清学检测 BVDV。在这里,我们展示了一种遗传工程改造的经典猪瘟病毒(CSFV)的 cp 株。该菌株的细胞病变性是通过插入在大 NS3 到 NS4B 复制物中的泛素诱导的。CSFV RNA 基因组通过失活 NS2 自蛋白酶而稳定,从而阻止插入的缺失和回复为野生型基因组。在 E2 基因的 5'端额外插入一个 mCherry 基因,允许进行荧光验证的蚀斑减少试验,从而提供了一种新的、具有成本效益的诊断工具。这种遗传稳定的 cp CSFV 株可进一步用作潜在新型改良活疫苗的基础。总之,我们应用反向遗传学来合理地固定 CSFV 基因组中的典型 cp NS3 复制物。

https://cdn.ncbi.nlm.nih.gov/pmc/blobs/2e9a/8310069/e47f18443dfd/viruses-13-01209-g001.jpg

文献检索

告别复杂PubMed语法,用中文像聊天一样搜索,搜遍4000万医学文献。AI智能推荐,让科研检索更轻松。

立即免费搜索

文件翻译

保留排版,准确专业,支持PDF/Word/PPT等文件格式,支持 12+语言互译。

免费翻译文档

深度研究

AI帮你快速写综述,25分钟生成高质量综述,智能提取关键信息,辅助科研写作。

立即免费体验