Suppr超能文献

短时间序列表达转录组数据揭示了奶牛乳腺产奶量下降过程中的基因表达模式。

Short Time-Series Expression Transcriptome Data Reveal the Gene Expression Patterns of Dairy Cow Mammary Gland as Milk Yield Decreased Process.

机构信息

College of Animal Science and Technology, Yangzhou University, Yangzhou 225009, China.

Joint International Research Laboratory of Agriculture & Agri-Product Safety, Ministry of Education, Yangzhou University, Yangzhou 225009, China.

出版信息

Genes (Basel). 2021 Jun 20;12(6):942. doi: 10.3390/genes12060942.

Abstract

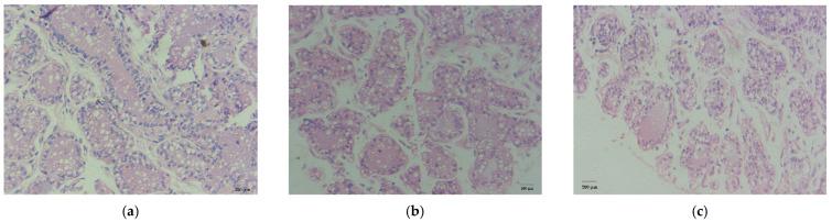
The existing research on dairy cow mammary gland genes is extensive, but there have been few reports about dynamic changes in dairy cow mammary gland genes as milk yield decrease. For the first time, transcriptome analysis based on short time-series expression miner (STEM) and histological observations were performed using the Holstein dairy cow mammary gland to explore gene expression patterns in this process of decrease (at peak, mid-, and late lactation). Histological observations suggested that the number of mammary acinous cells at peak/mid-lactation was significantly higher than that at mid-/late lactation, and the lipid droplets area secreted by dairy cows was almost unaltered across the three stages of lactation ( > 0.05). Totals of 882 and 1439 genes were differentially expressed at mid- and late lactation, respectively, compared to peak lactation. Function analysis showed that differentially expressed genes (DEGs) were mainly related to apoptosis and energy metabolism (fold change ≥ 2 or fold change ≤ 0.5, -value ≤ 0.05). Transcriptome analysis based on STEM identified 16 profiles of differential gene expression patterns, including 5 significant profiles (false discovery rate, FDR ≤ 0.05). Function analysis revealed DEGs involved in milk fat synthesis were downregulated in Profile 0 and DEGs in Profile 12 associated with protein synthesis. These findings provide a foundation for future studies on the molecular mechanisms underlying mammary gland development in dairy cows.

摘要

目前关于奶牛乳腺基因的研究已经相当广泛,但关于奶牛乳腺基因在产奶量下降时的动态变化的报道却很少。本研究首次采用基于短时间序列表达挖掘器(STEM)的转录组分析和组织学观察,利用荷斯坦奶牛乳腺,探讨了在产奶量下降过程中(泌乳高峰期、中期和后期)基因表达模式。组织学观察表明,泌乳高峰期和中期的乳腺腺泡细胞数量明显高于中期和后期,奶牛分泌的脂滴面积在泌乳的三个阶段几乎不变(>0.05)。与泌乳高峰期相比,泌乳中期和后期分别有 882 个和 1439 个基因差异表达。功能分析表明,差异表达基因(DEGs)主要与细胞凋亡和能量代谢有关(fold change≥2 或 fold change≤0.5,-value≤0.05)。基于 STEM 的转录组分析确定了 16 种差异基因表达模式,其中有 5 种显著模式(错误发现率 FDR≤0.05)。功能分析显示,与 Profile0 中乳脂合成相关的 DEGs 下调,与 Profile12 中蛋白质合成相关的 DEGs 上调。这些发现为进一步研究奶牛乳腺发育的分子机制提供了基础。

https://cdn.ncbi.nlm.nih.gov/pmc/blobs/c414/8235497/3fc1149f342b/genes-12-00942-g001.jpg

文献AI研究员

20分钟写一篇综述,助力文献阅读效率提升50倍。

立即体验

用中文搜PubMed

大模型驱动的PubMed中文搜索引擎

马上搜索

文档翻译

学术文献翻译模型,支持多种主流文档格式。

立即体验