Suppr超能文献

光学相干断层扫描血管造影评估扩张型心肌病患儿慢性心力衰竭对视网膜血管密度的影响

The Impact of Chronic Heart Failure on Retinal Vessel Density Assessed by Optical Coherence Tomography Angiography in Children with Dilated Cardiomyopathy.

作者信息

Rakusiewicz Klaudia, Kanigowska Krystyna, Hautz Wojciech, Ziółkowska Lidia

机构信息

Department of Ophthalmology, Children's Memorial Health Institute, 04-730 Warsaw, Poland.

Department of Cardiology, Children's Memorial Health Institute, 04-730 Warsaw, Poland.

出版信息

J Clin Med. 2021 Jun 16;10(12):2659. doi: 10.3390/jcm10122659.

Abstract

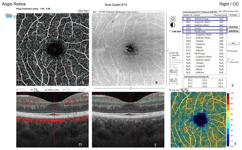
(1) Introduction: The aim of this study is to assess retinal vessel density (VD) in the superficial capillary plexus layer (SP) and deep capillary plexus layer (DP) in children with chronic heart failure (CHF) in the course of dilated cardiomyopathy (DCM) using optical coherence tomography angiography (OCTA). (2) Methods: Thirty children with CHF due to DCM lasting more than six months, with an enlarged left ventricle and impaired left ventricular systolic function (left ventricular ejection fraction (LVEF) ≤ 55%), were enrolled to have both their eyes assessed for this study. Mean age of the children was 9.9 ± 3.57 years. The control group consisted of an additional 30 children without CHF (mean age 11.27 ± 3.33 years) matched for age and gender against the study group. All participants underwent transthoracic echocardiography to measure LVEF using Simpson method. Blood serum was tested for N-terminal-pro-brain natriuretic peptide (NT-proBNP) marker value. All children underwent OCTA with evaluation of the foveal avascular zone (FAZ), whole superficial vessel density (wsVD), foveal superficial vessel density (fsVD), parafoveal superficial vessel density (psVD), whole deep vessel density (wdVD), foveal deep vessel density (fdVD), parafoveal deep vessel density (pdVD), whole thickness (WT), foveal thickness (FT), and parafoveal thickness (PFT). (3) Results: Retinal VD in SP was significantly lower in children with CHF as compared to the controls. The following SP parameters in the study group were statistically significantly lower than these same measurements for the control group. Details, with study group findings quantified first, include wsVD (46.2% vs. 49.83%, < 0.05), fsVD (18.07% vs. 24.15%, < 0.05), and psVD (49.24% vs. 52.51%, < 0.05). The WT (311.03 micrometers (μm) vs. 323.55 μm, < 0.05), FT (244.57 μm vs. 256.98 μm, < 0.05), and PFT (320.63 μm vs. 332.02 μm, < 0.05). No significant differences in DP retinal VD were found between the two groups. No statistically significant differences in the FAZ were found. The fsVD and FT were correlated with biometry and the age of the study participants. There was a correlation between FAZ and FT ( < 0.001). There were no correlations between retinal VD in both plexuses and refractive error, sex, NT-proBNP, and LVEF. (4) Conclusions: In children with CHF in the course of DCM as compared to the control group, significantly decreased retinal VD in SP was observed. The results of our study indicate that measurements of the OCTA may be a useful diagnostic method in children with chronic heart failure, but it is necessary to conduct further studies in larger groups of participants and long-term observation of these patients.

摘要

(1)引言:本研究旨在利用光学相干断层扫描血管造影术(OCTA)评估扩张型心肌病(DCM)所致慢性心力衰竭(CHF)患儿浅表毛细血管丛层(SP)和深部毛细血管丛层(DP)的视网膜血管密度(VD)。(2)方法:选取30例因DCM导致CHF且病程超过6个月、左心室扩大且左心室收缩功能受损(左心室射血分数(LVEF)≤55%)的患儿,对其双眼进行本研究评估。患儿的平均年龄为9.9±3.57岁。对照组由另外30例无CHF的儿童组成(平均年龄11.27±3.33岁),在年龄和性别上与研究组匹配。所有参与者均接受经胸超声心动图检查,采用Simpson法测量LVEF。检测血清中N末端脑钠肽前体(NT-proBNP)标志物值。所有儿童均接受OCTA检查,评估黄斑无血管区(FAZ)、全层浅表血管密度(wsVD)、黄斑浅表血管密度(fsVD)、黄斑旁浅表血管密度(psVD)、全层深部血管密度(wdVD)、黄斑深部血管密度(fdVD)、黄斑旁深部血管密度(pdVD)、全层厚度(WT)、黄斑厚度(FT)和黄斑旁厚度(PFT)。(3)结果:与对照组相比,CHF患儿SP层的视网膜VD显著降低。研究组的以下SP参数在统计学上显著低于对照组的相同测量值。详细情况,先列出研究组的结果,包括wsVD(46.2%对49.83%,P<0.05)、fsVD(18.07%对24.15%,P<0.05)和psVD(49.24%对52.51%,P<0.05)。WT(311.03微米(μm)对323.55μm,P<0.05)、FT(244.57μm对256.98μm,P<0.05)和PFT(320.63μm对332.02μm,P<0.05)。两组之间DP层视网膜VD无显著差异。FAZ无统计学显著差异。fsVD和FT与研究参与者的生物测量和年龄相关。FAZ与FT之间存在相关性(P<0.001)。两个丛层的视网膜VD与屈光不正、性别、NT-proBNP和LVEF之间均无相关性。(4)结论:与对照组相比,DCM所致CHF患儿SP层的视网膜VD显著降低。我们的研究结果表明,OCTA测量可能是慢性心力衰竭患儿的一种有用诊断方法,但有必要在更大规模的参与者群体中进行进一步研究,并对这些患者进行长期观察。

https://cdn.ncbi.nlm.nih.gov/pmc/blobs/3248/8235508/1bf3f8d9b549/jcm-10-02659-g001.jpg

文献AI研究员

20分钟写一篇综述,助力文献阅读效率提升50倍。

立即体验

用中文搜PubMed

大模型驱动的PubMed中文搜索引擎

马上搜索

文档翻译

学术文献翻译模型,支持多种主流文档格式。

立即体验