Suppr超能文献

胸腺瘤相关僵人综合征经手术治疗后获得成功。

Thymoma-Related Stiff-Person Syndrome with Successfully Treated by Surgery.

机构信息

Department of Surgery, Obihiro Kosei General Hospital, Obihiro, Hokkaido, Japan.

Department of Cardiovascular and Thoracic Surgery, Hokkaido University Faculty and School of Medicine, Sapporo, Hokkaido, Japan.

出版信息

Ann Thorac Cardiovasc Surg. 2022 Dec 20;28(6):448-452. doi: 10.5761/atcs.cr.21-00052. Epub 2021 Jul 16.

Abstract

INTRODUCTION

Stiff-person syndrome (SPS) is a rare autoimmune neurological disorder. Paraneoplastic SPS associated with malignant tumors such as thymoma occurs in approximately 5% of all SPS cases. We present a rare case of thymoma accompanied by SPS successfully treated using surgery.

PRESENTATION OF CASE

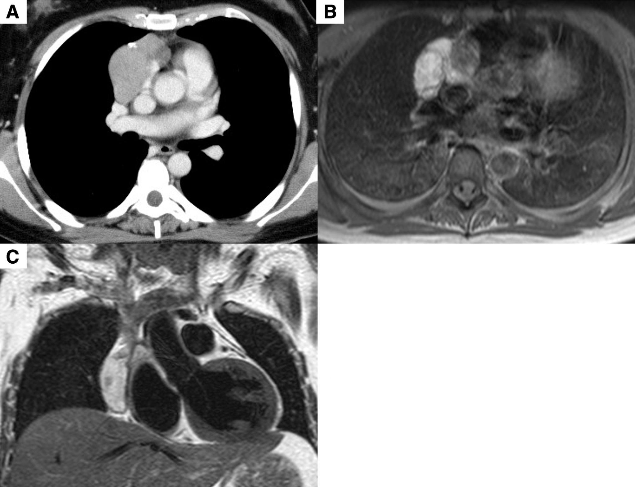
A 26-year-old woman presented with lower limbs convulsions and gait disturbance and complained of leg pain. Cerebrospinal fluid and blood test results showed a high level of anti-glutamic acid decarboxylase (GAD) antibodies. Computed tomography showed anterior mediastinal tumor suggestive of a thymoma. She underwent extended thymectomy, and her symptoms gradually improved after surgery. No evidence of recurrent thymoma and SPS has been observed over 44 months.

CONCLUSION

Surgical treatment would be effective for patients with SPS and thymoma.

摘要

简介

僵人综合征(SPS)是一种罕见的自身免疫性神经系统疾病。约 5%的 SPS 病例与胸腺瘤等恶性肿瘤相关的副肿瘤性 SPS。我们报告了一例罕见的胸腺瘤伴 SPS 成功手术治疗的病例。

病例介绍

一名 26 岁女性因下肢抽搐和步态障碍就诊,并诉腿部疼痛。脑脊液和血液检查结果显示谷氨酸脱羧酶(GAD)抗体水平升高。计算机断层扫描显示前纵隔肿瘤提示胸腺瘤。她接受了扩大的胸腺切除术,术后症状逐渐改善。44 个月后未发现复发性胸腺瘤和 SPS。

结论

手术治疗对 SPS 和胸腺瘤患者有效。

https://cdn.ncbi.nlm.nih.gov/pmc/blobs/0f4e/9763711/c9a661957c44/atcs-28-448-g001.jpg

文献AI研究员

20分钟写一篇综述,助力文献阅读效率提升50倍。

立即体验

用中文搜PubMed

大模型驱动的PubMed中文搜索引擎

马上搜索

文档翻译

学术文献翻译模型,支持多种主流文档格式。

立即体验