Suppr超能文献

新冠后遗症:肺部并发症。

Post-COVID syndrome: pulmonary complications.

机构信息

Department of Chest Diseases, Faculty of Medicine, Başkent University, Ankara, Turkey

Department of Chest Diseases, Atatürk Chest Diseases and Thoracic Surgery Centre, Health Sciences University, Ankara, Tukey

出版信息

Turk J Med Sci. 2021 Dec 17;51(SI-1):3359-3371. doi: 10.3906/sag-2106-238.

Abstract

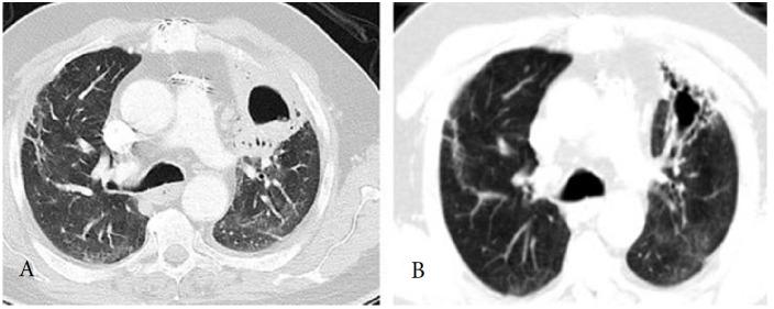
Severe acute respiratory syndrome coronavirus 2 (SARS-CoV-2) has infected millions of people worlwide and caused a pandemic that is still ongoing. The virus can cause a disease named as COVID-19, which is composed of multi systemic manifestations with a pulmonary system predominance. As the time passes, we are dealing more and more with a wide variety of effects and complications of the disease in survivors as far as with concerns about the clinical outcome and the timeline of symptoms in different patients. Since the lungs are the most involved organs and the post-COVID prolonged and persistent effects are mainly related to the pulmonary system, it is crucial to define and predict the outcome and to determine the individuals that can progress to fibrosis and loss of function of lungs. This review summarizes the current literature regarding the pulmonary complications in post-COVID syndrome and the management of these conditions.

摘要

严重急性呼吸综合征冠状病毒 2(SARS-CoV-2)已在全球范围内感染了数百万人,并引发了一场仍在持续的大流行。该病毒可引起一种名为 COVID-19 的疾病,其由以肺部系统为主的多系统表现组成。随着时间的推移,我们越来越多地处理幸存者中疾病的各种影响和并发症,以及对不同患者的临床结果和症状时间线的担忧。由于肺部是最受影响的器官,而 COVID 后持续和持久的影响主要与肺部系统有关,因此定义和预测结局以及确定可能进展为纤维化和肺部功能丧失的个体至关重要。这篇综述总结了 COVID 后综合征中肺部并发症的现有文献以及这些疾病的管理。

https://cdn.ncbi.nlm.nih.gov/pmc/blobs/e805/8771021/653239a9f1be/turkjmedsci-51-3359-fig001.jpg

相似文献

1
Post-COVID syndrome: pulmonary complications.
Turk J Med Sci. 2021 Dec 17;51(SI-1):3359-3371. doi: 10.3906/sag-2106-238.
4
Human and novel coronavirus infections in children: a review.
Paediatr Int Child Health. 2021 Feb;41(1):36-55. doi: 10.1080/20469047.2020.1781356. Epub 2020 Jun 25.
5
From ARDS to pulmonary fibrosis: the next phase of the COVID-19 pandemic?
Transl Res. 2022 Mar;241:13-24. doi: 10.1016/j.trsl.2021.09.001. Epub 2021 Sep 20.
6
Post-COVID-19 syndrome: epidemiology, diagnostic criteria and pathogenic mechanisms involved.
Rev Neurol. 2021 Jun 1;72(11):384-396. doi: 10.33588/rn.7211.2021230.
10
[Comparison of clinical and pathological features between severe acute respiratory syndrome and coronavirus disease 2019].
Zhonghua Jie He He Hu Xi Za Zhi. 2020 Jun 12;43(6):496-502. doi: 10.3760/cma.j.cn112147-20200311-00312.

引用本文的文献

3
NETosis: A key player in autoimmunity, COVID-19, and long COVID.
J Transl Autoimmun. 2025 Feb 21;10:100280. doi: 10.1016/j.jtauto.2025.100280. eCollection 2025 Jun.
4
Metabolomic characterization of COVID-19 survivors in Jilin province.
Respir Res. 2024 Sep 19;25(1):343. doi: 10.1186/s12931-024-02974-0.
6
Impaired Cardiorespiratory Fitness of Elite Athletes after Asymptomatic or Mild SARS-CoV-2 Infection.
Medicina (Kaunas). 2024 May 9;60(5):786. doi: 10.3390/medicina60050786.
7
Role of Janus Kinase inhibitors in the management of pulmonary involvement due to Long COVID-19 disease: A case control study.
Turk J Emerg Med. 2023 Jun 26;23(3):149-155. doi: 10.4103/tjem.tjem_363_22. eCollection 2023 Jul-Sep.
8
Post-COVID-19 Pulmonary Fibrosis: Facts-Challenges and Futures: A Narrative Review.
Pulm Ther. 2023 Sep;9(3):295-307. doi: 10.1007/s41030-023-00226-y. Epub 2023 May 20.
9
A silent march-Post covid fibrosis in asymptomatics - A cause for concern?
Indian J Tuberc. 2023 Apr;70(2):249-252. doi: 10.1016/j.ijtb.2022.05.004. Epub 2022 May 25.
10
Post COVID-19 syndrome and new onset diseases: a prospective observational study.
Singapore Med J. 2025 Jul 1;66(7):354-361. doi: 10.4103/singaporemedj.SMJ-2022-055. Epub 2023 Apr 7.

本文引用的文献

1
Quantitative Chest CT Assessment of Small Airways Disease in Post-Acute SARS-CoV-2 Infection.
Radiology. 2022 Jul;304(1):185-192. doi: 10.1148/radiol.212170. Epub 2022 Mar 15.
2
Characterizing long COVID in an international cohort: 7 months of symptoms and their impact.
EClinicalMedicine. 2021 Aug;38:101019. doi: 10.1016/j.eclinm.2021.101019. Epub 2021 Jul 15.
3
Post-COVID Syndrome: An Insight on Its Pathogenesis.
Vaccines (Basel). 2021 May 12;9(5):497. doi: 10.3390/vaccines9050497.
4
Post-COVID-19 Syndrome: The Persistent Symptoms at the Post-viral Stage of the Disease. A Systematic Review of the Current Data.
Front Med (Lausanne). 2021 May 4;8:653516. doi: 10.3389/fmed.2021.653516. eCollection 2021.
5
Epidemiology and organ specific sequelae of post-acute COVID19: A narrative review.
J Infect. 2021 Jul;83(1):1-16. doi: 10.1016/j.jinf.2021.05.004. Epub 2021 May 14.
6
The COVID-19 puzzle: deciphering pathophysiology and phenotypes of a new disease entity.
Lancet Respir Med. 2021 Jun;9(6):622-642. doi: 10.1016/S2213-2600(21)00218-6. Epub 2021 May 6.
7
3-month, 6-month, 9-month, and 12-month respiratory outcomes in patients following COVID-19-related hospitalisation: a prospective study.
Lancet Respir Med. 2021 Jul;9(7):747-754. doi: 10.1016/S2213-2600(21)00174-0. Epub 2021 May 5.
9
Confronting COVID-19-associated cough and the post-COVID syndrome: role of viral neurotropism, neuroinflammation, and neuroimmune responses.
Lancet Respir Med. 2021 May;9(5):533-544. doi: 10.1016/S2213-2600(21)00125-9. Epub 2021 Apr 12.
10
Defining Post-COVID Symptoms (Post-Acute COVID, Long COVID, Persistent Post-COVID): An Integrative Classification.
Int J Environ Res Public Health. 2021 Mar 5;18(5):2621. doi: 10.3390/ijerph18052621.

文献AI研究员

20分钟写一篇综述,助力文献阅读效率提升50倍。

立即体验

用中文搜PubMed

大模型驱动的PubMed中文搜索引擎

马上搜索

文档翻译

学术文献翻译模型,支持多种主流文档格式。

立即体验