Suppr超能文献

巨大胸内食管裂孔疝作为完全性心脏传导阻滞的病因

A Large Intrathoracic Hiatal Hernia as a Cause of Complete Heart Block.

作者信息

Abbood Ali, Al Salihi Hareer, Parellada Jorge, Madruga Mario, Carlan S J

机构信息

Department of Internal Medicine, Division of Academic Affairs and Research, Orlando Regional Healthcare, Orlando, Florida, USA.

出版信息

Case Rep Cardiol. 2021 Jul 9;2021:6697016. doi: 10.1155/2021/6697016. eCollection 2021.

Abstract

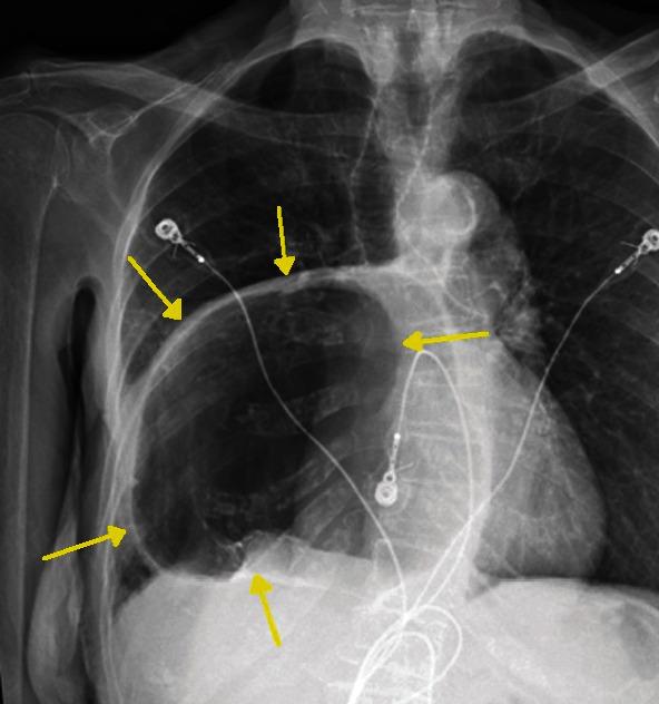
Hiatal hernia is a not uncommon anatomic disorder resulting in portions of the bowel occupying space in the thoracic cavity. There are a number of antecedent risk factors including obesity but not hiatal hernias resulting in symptoms. When symptoms do occur, they can include chest pain, nausea, abdominal pain, and gastroesophageal reflux. Cardiac arrhythmias have also been reported as associated conditions resulting from a hiatal hernia. To date, however, a complete heart block secondary to a hiatal hernia has not been reported. An 88-year-old female with a history of GERD (gastroesophageal reflux disease) was found to have a large hiatal hernia at endoscopy after she presented to the emergency department with nausea and abdominal pain. Prior to her scheduled surgical repair, she developed symptomatic third degree heart block which resolved with nasogastric tube deflation of the gastric contents. After surgical repair of the hiatal hernia, she developed episodes of atrial fibrillation with rapid ventricular response and was started on diltiazem. She eventually converted back to normal sinus rhythm and remained dysrhythmia free. In addition to other known arrhythmias associated with hiatal hernia, a complete heart block can also be seen. Acute management requires deflation of the chest occupying hernia. This appears to be the one of the first reported cases of complete heart block caused by hiatal hernia.

摘要

食管裂孔疝是一种较为常见的解剖学疾病,可导致部分肠管占据胸腔空间。有许多相关危险因素,包括肥胖,但食管裂孔疝并不一定会引发症状。当出现症状时,可能包括胸痛、恶心、腹痛和胃食管反流。心律失常也被报道为食管裂孔疝的相关病症。然而,迄今为止,尚未有因食管裂孔疝导致完全性心脏传导阻滞的报道。一名88岁有胃食管反流病病史的女性,因恶心和腹痛到急诊科就诊,在内镜检查时发现有巨大食管裂孔疝。在预定进行手术修复之前,她出现了有症状的三度心脏传导阻滞,通过鼻胃管排出胃内容物后得以缓解。食管裂孔疝手术修复后,她出现了伴有快速心室反应的房颤发作,并开始使用地尔硫䓬治疗。她最终恢复为正常窦性心律,且未再出现心律失常。除了与食管裂孔疝相关的其他已知心律失常外,还可见到完全性心脏传导阻滞。急性处理需要使占据胸腔的疝内容物排空。这似乎是首例报道的由食管裂孔疝引起的完全性心脏传导阻滞病例。

https://cdn.ncbi.nlm.nih.gov/pmc/blobs/140f/8286180/8992b5ad7b13/CRIC2021-6697016.001.jpg

文献检索

告别复杂PubMed语法,用中文像聊天一样搜索,搜遍4000万医学文献。AI智能推荐,让科研检索更轻松。

立即免费搜索

文件翻译

保留排版,准确专业,支持PDF/Word/PPT等文件格式,支持 12+语言互译。

免费翻译文档

深度研究

AI帮你快速写综述,25分钟生成高质量综述,智能提取关键信息,辅助科研写作。

立即免费体验