Patel Falguni H, Bhavasar Rashmi, Shah Shreyas, Shah Vandana, Patel Pratik D
Department of Oral Pathology, K. M. Shah Dental College and Hospital, Sumandeep Vidyapeeth University, Vadodara, Gujarat, India.
Department of Factory Medical, Medical Officer, Alembic Pharma, Vadodara, Gujarat, India.
J Oral Maxillofac Pathol. 2021 Jan-Apr;25(1):198. doi: 10.4103/jomfp.JOMFP_275_20. Epub 2021 May 14.
Oral cancer is a major health problem and its early detection is advantageous for therapeutic purposes. According to available evidence, the risks of oral malignancies increase with the usage of tobacco and other psychoactive substances (PSs). The present study showed expression pattern of nuclear and cytoplasmic changes from normal individuals without habit to oral potentially malignant disorders (OPMD) and oral squamous cell carcinoma (OSCC) in PS abusers with the help of fluorescence acridine orange (AO) stain and Papanicolaou (PAP) stain.
This study aimed to investigate and compare diagnostic efficacy of fluorescence microscopic evaluation of AO stain in cytological smears with PAP staining under light microscopy in PS abusers having oral potentially malignant and malignant lesions.
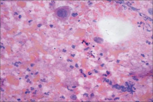
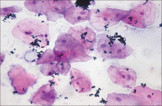
Oral smears from 120 individuals among which 40 from potentially malignant disorders, 40 from oral malignancy and 40 normal buccal mucosa smears were prepared. One set of smears was stained by AO staining and the other by PAP staining and examined under fluorescence and light microscope, respectively. The results of both the stainings were evaluated by grading cytology smears in class-I to class-V cytology.
The AO fluorescence stain reliably demonstrated malignant cells based on the differential fluorescence. The efficacy of AO fluorescence stain was higher than PAP stain in screening of oral lesions suspicious of malignancy. The sensitivity of PAP staining and AO staining is 57.50% and 61.25%, respectively.
As compared to PAP staining method, fluorescent AO method is more effective in screening of OPMD and OSCC in PS abusers.
口腔癌是一个重大的健康问题,其早期检测对治疗目的具有优势。根据现有证据,口腔恶性肿瘤的风险随着烟草和其他精神活性物质(PSs)的使用而增加。本研究借助荧光吖啶橙(AO)染色和巴氏(PAP)染色,展示了从无习惯的正常个体到PS滥用者的口腔潜在恶性疾病(OPMD)和口腔鳞状细胞癌(OSCC)中细胞核和细胞质变化的表达模式。
本研究旨在调查和比较在患有口腔潜在恶性和恶性病变的PS滥用者中,AO染色的荧光显微镜评估与PAP染色在光学显微镜下对细胞学涂片的诊断效能。
制备了120名个体的口腔涂片,其中40份来自潜在恶性疾病,40份来自口腔恶性肿瘤,40份为正常颊黏膜涂片。一组涂片用AO染色,另一组用PAP染色,分别在荧光显微镜和光学显微镜下检查。通过将细胞学涂片分为I级至V级来评估两种染色的结果。
AO荧光染色基于差异荧光可靠地显示了恶性细胞。在筛查可疑恶性的口腔病变方面,AO荧光染色的效能高于PAP染色。PAP染色和AO染色的敏感性分别为57.50%和61.25%。
与PAP染色方法相比,荧光AO方法在筛查PS滥用者的OPMD和OSCC方面更有效。