Center for Nanomedicine, Brigham and Women's Hospital, Harvard Medical School, Boston, MA, USA.
Academy of Medical Engineering and Translational Medicine, Medical College, Tianjin University, Tianjin, China.
Nat Commun. 2021 Aug 6;12(1):4777. doi: 10.1038/s41467-021-24961-5.
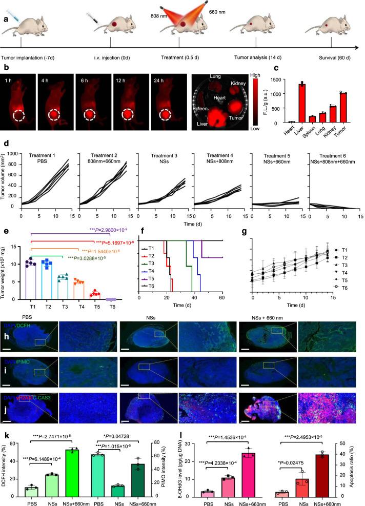
The modulation of intracellular reactive oxygen species (ROS) levels is crucial for cellular homeostasis and determination of cellular fate. A sublethal level of ROS sustains cell proliferation, differentiation and promotes tumor metastasis, while a drastic ROS burst directly induces apoptosis. Herein, surface-oxidized arsenene nanosheets (As/AsO NSs) with type II heterojunction are fabricated with efficient ·O and O production and glutathione consumption through prolonging the lifetime of photo-excited electron-hole pairs. Moreover, the portion of AsO with oxygen vacancies not only catalyzes a Fenton-like reaction, generating ·OH and O from HO, but also inactivates main anti-oxidants to cut off the "retreat routes" of ROS. After polydopamine (PDA) and cancer cell membrane (M) coating, the engineered As/AsO@PDA@M NSs serve as an intelligent theranostic platform with active tumor targeting and long-term blood circulation. Given its narrow-band-gap-enabled in vivo fluorescence imaging properties, As/AsO@PDA@M NSs could be applied as an imaging-guided non-invasive and real-time nanomedicine for cancer therapy.
细胞内活性氧(ROS)水平的调节对于细胞内稳态和细胞命运的决定至关重要。亚致死水平的 ROS 维持细胞增殖、分化,并促进肿瘤转移,而剧烈的 ROS 爆发则直接诱导细胞凋亡。在此,通过延长光激发电子-空穴对的寿命,制备了具有 II 型异质结的表面氧化的砷烯纳米片(As/AsO NSs),其具有高效的·O 和 O 生成以及谷胱甘肽消耗能力。此外,具有氧空位的 AsO 部分不仅可以催化芬顿样反应,从 HO 生成·OH 和 O,还可以使主要抗氧化剂失活,切断 ROS 的“退路”。经过聚多巴胺(PDA)和癌细胞膜(M)包覆后,工程化的 As/AsO@PDA@M NSs 作为一种智能治疗平台,具有主动肿瘤靶向和长期血液循环的特性。鉴于其窄带隙使体内荧光成像成为可能,As/AsO@PDA@M NSs 可用作一种成像引导的非侵入性实时纳米医学癌症治疗方法。