Suppr超能文献

感染囊泡形成.. 后小鼠脑的定量肽组学研究

Quantitative Peptidomics of Mouse Brain After Infection With Cyst-Forming .

机构信息

Department of Pathogen Biology, School of Basic Medical Sciences, Cheeloo College of Medicine, Shandong University, Jinan, China.

State Key Laboratory of Veterinary Etiological Biology, Key Laboratory of Veterinary Parasitology of Gansu Province, Lanzhou Veterinary Research Institute, Chinese Academy of Agricultural Sciences, Lanzhou, China.

出版信息

Front Immunol. 2021 Jul 22;12:681242. doi: 10.3389/fimmu.2021.681242. eCollection 2021.

Abstract

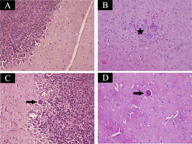
is an obligate intracellular parasite capable of establishing persistent infection within the host brain and inducing severe neuropathology. Peptides are important native molecules responsible for a wide range of biological functions within the central nervous system. However, peptidome profiling in host brain during infection has never been investigated. Using a label-free peptidomics approach (LC-MS/MS), we identified a total of 2,735 endogenous peptides from acutely infected, chronically infected and control brain samples following infection. Quantitative analysis revealed 478 and 344 significantly differentially expressed peptides (DEPs) in the acute and chronic infection stages, respectively. Functional analysis of DEPs by Gene Ontology suggested these DEPs mainly originated from cell part and took part in cellular process. We also identified three novel neuropeptides derived from the precursor protein cholecystokinin. These results demonstrated the usefulness of quantitative peptidomics in determining bioactive peptides and elucidating their functions in the regulation of behavior modification during infection.

摘要

是一种专性细胞内寄生虫,能够在宿主大脑中建立持续感染,并诱导严重的神经病理学。肽是中枢神经系统中负责广泛生物学功能的重要天然分子。然而,宿主大脑在感染期间的肽组学特征尚未被研究过。本研究采用无标记肽组学方法(LC-MS/MS),从急性感染、慢性感染和对照脑样本中鉴定出了总共 2735 种内源性肽。定量分析显示,在急性和慢性感染阶段分别有 478 种和 344 种差异表达肽(DEPs)。通过基因本体论对 DEPs 的功能分析表明,这些 DEPs 主要来源于细胞部分,并参与了细胞过程。我们还从胆囊收缩素前体蛋白中鉴定出了三种新的神经肽。这些结果表明,定量肽组学在确定生物活性肽及其在感染过程中调节行为改变的功能方面是有用的。

https://cdn.ncbi.nlm.nih.gov/pmc/blobs/bdad/8340781/fca35fa1959c/fimmu-12-681242-g001.jpg

文献检索

告别复杂PubMed语法,用中文像聊天一样搜索,搜遍4000万医学文献。AI智能推荐,让科研检索更轻松。

立即免费搜索

文件翻译

保留排版,准确专业,支持PDF/Word/PPT等文件格式,支持 12+语言互译。

免费翻译文档

深度研究

AI帮你快速写综述,25分钟生成高质量综述,智能提取关键信息,辅助科研写作。

立即免费体验