• 文献检索
  • 文档翻译
  • 深度研究
  • 学术资讯
  • Suppr Zotero 插件Zotero 插件
  • 邀请有礼
  • 套餐&价格
  • 历史记录
应用&插件
Suppr Zotero 插件Zotero 插件浏览器插件Mac 客户端Windows 客户端微信小程序
定价
高级版会员购买积分包购买API积分包
服务
文献检索文档翻译深度研究API 文档MCP 服务
关于我们
关于 Suppr公司介绍联系我们用户协议隐私条款
关注我们

Suppr 超能文献

核心技术专利:CN118964589B侵权必究
粤ICP备2023148730 号-1Suppr @ 2026

文献检索

告别复杂PubMed语法,用中文像聊天一样搜索,搜遍4000万医学文献。AI智能推荐,让科研检索更轻松。

立即免费搜索

文件翻译

保留排版,准确专业,支持PDF/Word/PPT等文件格式,支持 12+语言互译。

免费翻译文档

深度研究

AI帮你快速写综述,25分钟生成高质量综述,智能提取关键信息,辅助科研写作。

立即免费体验

一种新的大鼠脑缺血损伤模型、没食子酸的预防作用及方法

A new cerebral ischemic injury model in rats, preventive effect of gallic acid and approaches.

作者信息

Praveen Kumar P, D Madhuri, Siva Sankar Reddy L, Dastagiri Reddy Y, Somasekhar G, Sirisha N V L, Nagaraju K, Shouib M S, Rizwaan A S

机构信息

Santhiram College of Pharmacy, Nandyal, Kurnool, Andhra Pradesh, India.

Creative Educational Societys College of Pharmacy, Kurnool, Andhra Pradesh, India.

出版信息

Saudi J Biol Sci. 2021 Sep;28(9):5204-5213. doi: 10.1016/j.sjbs.2021.05.044. Epub 2021 May 24.

DOI:10.1016/j.sjbs.2021.05.044
PMID:34466098
原文链接:https://pmc.ncbi.nlm.nih.gov/articles/PMC8381014/
Abstract

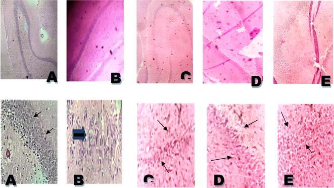
Current study was designed multiple occlusions and reperfusion of bilateral carotid arteries induced cerebral injury model and evaluated the protective effect of gallic acid on it. study was involved to study gallic acid binding affinity on cerebrotonic proteins compared with standard drugs using . Cerebral ischemia was induced by occlusion of bilateral common carotid arteries for 10 mins followed by 10 reperfusions (1 cycle), cycle was continued to 3 cycles (MO/RCA), then pathological changes were observed by estimation of brain antioxidants as superoxide dismutase, glutathione, catalase, oxidants like malonaldehyde, cerebral infarction area, histopathology, and study gallic acid treatment against cerebral injury. Gallic acid exhibited a strong binding affinity on targeted cerebrotoxic proteins. MO/RCA rat brain antioxidant levels were significantly decreased and increased MDA levels (p < 0.0001), Infarction size compared to sham rats. Gallic acid treatment rat brain MDA levels significantly decreased (p < 0.4476) and increased SOD (p < 0.0001), CAT (p < 0.0001), GSH (p < 0.0001), cerebral infarction area when compared to MO/RCA group. Developed model showed significant cerebral ischemic injury in rats, injury was ameliorated by Gallic acid treatment and in silico approaches also inhibit the cerebrotoxic protein function by targeting on active sites.

摘要

本研究设计了双侧颈动脉多次闭塞和再灌注诱导的脑损伤模型,并评估了没食子酸对其的保护作用。该研究还涉及与标准药物相比,研究没食子酸对脑增强蛋白的结合亲和力。通过双侧颈总动脉闭塞10分钟,然后进行10次再灌注(1个循环)来诱导脑缺血,该循环持续至3个循环(MO/RCA),然后通过评估脑抗氧化剂如超氧化物歧化酶、谷胱甘肽、过氧化氢酶、氧化剂如丙二醛、脑梗死面积、组织病理学来观察病理变化,并研究没食子酸对脑损伤的治疗作用。没食子酸对靶向脑毒性蛋白表现出很强的结合亲和力。与假手术组大鼠相比,MO/RCA大鼠脑抗氧化剂水平显著降低,丙二醛水平升高(p<0.0001),梗死面积增大。与MO/RCA组相比,没食子酸治疗的大鼠脑丙二醛水平显著降低(p<0.4476),超氧化物歧化酶(p<0.0001)、过氧化氢酶(p<0.0001)、谷胱甘肽(p<0.0001)水平升高,脑梗死面积减小。所建立的模型显示大鼠存在明显的脑缺血损伤,没食子酸治疗可改善损伤,并且计算机模拟方法也通过靶向活性位点抑制脑毒性蛋白的功能。

https://cdn.ncbi.nlm.nih.gov/pmc/blobs/c308/8381014/14f821585c77/gr11.jpg
https://cdn.ncbi.nlm.nih.gov/pmc/blobs/c308/8381014/74644abbd6d3/ga1.jpg
https://cdn.ncbi.nlm.nih.gov/pmc/blobs/c308/8381014/06fbd20756e3/gr1.jpg
https://cdn.ncbi.nlm.nih.gov/pmc/blobs/c308/8381014/bc52e355f549/gr2.jpg
https://cdn.ncbi.nlm.nih.gov/pmc/blobs/c308/8381014/9a9fb3ddbc4b/gr3.jpg
https://cdn.ncbi.nlm.nih.gov/pmc/blobs/c308/8381014/3ad6c7c05379/gr4.jpg
https://cdn.ncbi.nlm.nih.gov/pmc/blobs/c308/8381014/efdc781862e7/gr5.jpg
https://cdn.ncbi.nlm.nih.gov/pmc/blobs/c308/8381014/f77e263ce57e/gr6.jpg
https://cdn.ncbi.nlm.nih.gov/pmc/blobs/c308/8381014/aa3eb2678b2b/gr7.jpg
https://cdn.ncbi.nlm.nih.gov/pmc/blobs/c308/8381014/d5af20a35907/gr8.jpg
https://cdn.ncbi.nlm.nih.gov/pmc/blobs/c308/8381014/1adf1cd6b2ef/gr9.jpg
https://cdn.ncbi.nlm.nih.gov/pmc/blobs/c308/8381014/32a1f3456405/gr10.jpg
https://cdn.ncbi.nlm.nih.gov/pmc/blobs/c308/8381014/14f821585c77/gr11.jpg
https://cdn.ncbi.nlm.nih.gov/pmc/blobs/c308/8381014/74644abbd6d3/ga1.jpg
https://cdn.ncbi.nlm.nih.gov/pmc/blobs/c308/8381014/06fbd20756e3/gr1.jpg
https://cdn.ncbi.nlm.nih.gov/pmc/blobs/c308/8381014/bc52e355f549/gr2.jpg
https://cdn.ncbi.nlm.nih.gov/pmc/blobs/c308/8381014/9a9fb3ddbc4b/gr3.jpg
https://cdn.ncbi.nlm.nih.gov/pmc/blobs/c308/8381014/3ad6c7c05379/gr4.jpg
https://cdn.ncbi.nlm.nih.gov/pmc/blobs/c308/8381014/efdc781862e7/gr5.jpg
https://cdn.ncbi.nlm.nih.gov/pmc/blobs/c308/8381014/f77e263ce57e/gr6.jpg
https://cdn.ncbi.nlm.nih.gov/pmc/blobs/c308/8381014/aa3eb2678b2b/gr7.jpg
https://cdn.ncbi.nlm.nih.gov/pmc/blobs/c308/8381014/d5af20a35907/gr8.jpg
https://cdn.ncbi.nlm.nih.gov/pmc/blobs/c308/8381014/1adf1cd6b2ef/gr9.jpg
https://cdn.ncbi.nlm.nih.gov/pmc/blobs/c308/8381014/32a1f3456405/gr10.jpg
https://cdn.ncbi.nlm.nih.gov/pmc/blobs/c308/8381014/14f821585c77/gr11.jpg

相似文献

1
A new cerebral ischemic injury model in rats, preventive effect of gallic acid and approaches.一种新的大鼠脑缺血损伤模型、没食子酸的预防作用及方法
Saudi J Biol Sci. 2021 Sep;28(9):5204-5213. doi: 10.1016/j.sjbs.2021.05.044. Epub 2021 May 24.
2
Cerebroprotective effect of Aloe Emodin: and studies.芦荟大黄素的脑保护作用:[此处缺失具体内容]及研究。
Saudi J Biol Sci. 2022 Feb;29(2):998-1005. doi: 10.1016/j.sjbs.2021.09.077. Epub 2021 Oct 8.
3
Huang-Lian-Jie-Du-Decotion induced protective autophagy against the injury of cerebral ischemia/reperfusion via MAPK-mTOR signaling pathway.黄连解毒汤通过 MAPK-mTOR 信号通路诱导脑缺血/再灌注损伤的保护性自噬。
J Ethnopharmacol. 2013 Aug 26;149(1):270-80. doi: 10.1016/j.jep.2013.06.035. Epub 2013 Jun 28.
4
Neuroprotective effect of Hibiscus rosa sinensis in an oxidative stress model of cerebral post-ischemic reperfusion injury in rats.玫瑰茄在大鼠脑缺血后再灌注氧化应激模型中的神经保护作用。
Pharm Biol. 2010 Jul;48(7):822-7. doi: 10.3109/13880200903283699.
5
Cerebroprotective effect of Eclipta alba against global model of cerebral ischemia induced oxidative stress in rats.旱莲草对大鼠全脑缺血模型诱导的氧化应激的脑保护作用。
Phytomedicine. 2012 Sep 15;19(12):1108-16. doi: 10.1016/j.phymed.2012.07.004. Epub 2012 Aug 27.
6
Cerebroprotective Potential of Hesperidin Nanoparticles Against Bilateral Common Carotid Artery Occlusion Reperfusion Injury in Rats and In silico Approaches.橙皮苷纳米粒对大鼠双侧颈总动脉闭塞再灌注损伤的脑保护作用及计算机模拟方法。
Neurotox Res. 2020 Feb;37(2):264-274. doi: 10.1007/s12640-019-00098-8. Epub 2019 Aug 17.
7
Protective effects of Nesfatin-1 peptide on cerebral ischemia reperfusion injury via inhibition of neuronal cell death and enhancement of antioxidant defenses.Nesfatin-1 肽通过抑制神经元细胞死亡和增强抗氧化防御作用对脑缺血再灌注损伤的保护作用。
Metab Brain Dis. 2019 Feb;34(1):79-85. doi: 10.1007/s11011-018-0323-2. Epub 2018 Sep 30.
8
The effects of gallic acid on pain and memory following transient global ischemia/reperfusion in Wistar rats.没食子酸对Wistar大鼠短暂性全脑缺血/再灌注后疼痛和记忆的影响。
Avicenna J Phytomed. 2013 Fall;3(4):329-40.
9
Neuroprotective effect of Convolvulus pluricaulis Choisy in oxidative stress model of cerebral ischemia reperfusion injury and assessment of MAP2 in rats.旋覆花在脑缺血再灌注损伤氧化应激模型中的神经保护作用及对大鼠 MAP2 的评估。
J Ethnopharmacol. 2020 Mar 1;249:112393. doi: 10.1016/j.jep.2019.112393. Epub 2019 Nov 16.
10
[Acacetin protects rats from cerebral ischemia-reperfusion injury by regulating TLR4/NLRP3 signaling pathway].[刺槐素通过调节TLR4/NLRP3信号通路保护大鼠免受脑缺血再灌注损伤]
Zhongguo Zhong Yao Za Zhi. 2023 Nov;48(22):6107-6114. doi: 10.19540/j.cnki.cjcmm.20230719.401.

引用本文的文献

1
Gallic acid: a dietary metabolite's therapeutic potential in the management of atherosclerotic cardiovascular disease.没食子酸:一种膳食代谢产物在动脉粥样硬化性心血管疾病管理中的治疗潜力。
Front Pharmacol. 2025 Jan 7;15:1515172. doi: 10.3389/fphar.2024.1515172. eCollection 2024.
2
Gallic acid pretreatment mitigates parathyroid ischemia-reperfusion injury through signaling pathway modulation.没食子酸预处理通过信号通路调节减轻甲状旁腺缺血再灌注损伤。
Sci Rep. 2024 Jun 5;14(1):12971. doi: 10.1038/s41598-024-63470-5.
3
Gallic acid and metformin co-administration reduce oxidative stress, apoptosis and inflammation via Fas/caspase-3 and NF-κB signaling pathways in thioacetamide-induced acute hepatic encephalopathy in rats.

本文引用的文献

1
Impact of Gallic Acid on Gut Health: Focus on the Gut Microbiome, Immune Response, and Mechanisms of Action.没食子酸对肠道健康的影响:关注肠道微生物组、免疫反应和作用机制。
Front Immunol. 2020 Sep 16;11:580208. doi: 10.3389/fimmu.2020.580208. eCollection 2020.
2
Quercetin protects against cerebral ischemia/reperfusion and oxygen glucose deprivation/reoxygenation neurotoxicity.槲皮素可预防脑缺血/再灌注和氧葡萄糖剥夺/再给氧神经毒性。
J Nutr Biochem. 2020 Sep;83:108436. doi: 10.1016/j.jnutbio.2020.108436. Epub 2020 May 30.
3
Evaluating the Role of Oxidative Stress in Acute Ischemic Stroke.
没食子酸与二甲双胍联合给药通过 Fas/caspase-3 和 NF-κB 信号通路减轻硫代乙酰胺诱导的大鼠急性肝性脑病的氧化应激、细胞凋亡和炎症。
BMC Complement Med Ther. 2023 Jul 25;23(1):265. doi: 10.1186/s12906-023-04067-9.
4
High-Intensity Ultrasound Processing Enhances the Bioactive Compounds, Antioxidant Capacity and Microbiological Quality of Melon () Juice.高强度超声处理可提高甜瓜汁的生物活性成分、抗氧化能力及微生物质量。
Foods. 2022 Aug 31;11(17):2648. doi: 10.3390/foods11172648.
评估氧化应激在急性缺血性卒中中的作用。
J Neurosci Rural Pract. 2020 Jan;11(1):156-159. doi: 10.1055/s-0039-3402675. Epub 2020 Mar 3.
4
Quercetin Attenuates Decrease of Thioredoxin Expression Following Focal Cerebral Ischemia and Glutamate-induced Neuronal Cell Damage.槲皮素可减轻局灶性脑缺血及谷氨酸诱导的神经元细胞损伤时硫氧还蛋白表达的减少。
Neuroscience. 2020 Jan 21;428:38-49. doi: 10.1016/j.neuroscience.2019.11.043. Epub 2019 Dec 23.
5
Neuroprotective effects of minocycline on focal cerebral ischemia injury: a systematic review.米诺环素对局灶性脑缺血损伤的神经保护作用:一项系统评价
Neural Regen Res. 2020 May;15(5):773-782. doi: 10.4103/1673-5374.268898.
6
Evaluating the Protective Effects of Mitochondrial Glutathione on Cerebral Ischemia/Reperfusion Injury via Near-Infrared Fluorescence Imaging.通过近红外荧光成像评估线粒体谷胱甘肽对脑缺血/再灌注损伤的保护作用。
Anal Chem. 2019 Nov 19;91(22):14728-14736. doi: 10.1021/acs.analchem.9b04082. Epub 2019 Nov 7.
7
Galuteolin attenuates cerebral ischemia/reperfusion injury in rats via anti-apoptotic, anti-oxidant, and anti-inflammatory mechanisms.木犀草素通过抗凋亡、抗氧化和抗炎机制减轻大鼠脑缺血/再灌注损伤。
Neuropsychiatr Dis Treat. 2019 Sep 16;15:2671-2680. doi: 10.2147/NDT.S215263. eCollection 2019.
8
The antioxidant and antimicrobial activities of different phenolic acids grafted onto chitosan.不同接枝到壳聚糖上的酚酸的抗氧化和抗菌活性。
Carbohydr Polym. 2019 Dec 1;225:115238. doi: 10.1016/j.carbpol.2019.115238. Epub 2019 Aug 23.
9
Neuroinflammation: friend and foe for ischemic stroke.神经炎症:缺血性脑卒中的友敌。
J Neuroinflammation. 2019 Jul 10;16(1):142. doi: 10.1186/s12974-019-1516-2.
10
Phased Treatment Strategies for Cerebral Ischemia Based on Glutamate Receptors.基于谷氨酸受体的脑缺血分阶段治疗策略
Front Cell Neurosci. 2019 Apr 26;13:168. doi: 10.3389/fncel.2019.00168. eCollection 2019.