• 文献检索
  • 文档翻译
  • 深度研究
  • 学术资讯
  • Suppr Zotero 插件Zotero 插件
  • 邀请有礼
  • 套餐&价格
  • 历史记录
应用&插件
Suppr Zotero 插件Zotero 插件浏览器插件Mac 客户端Windows 客户端微信小程序
定价
高级版会员购买积分包购买API积分包
服务
文献检索文档翻译深度研究API 文档MCP 服务
关于我们
关于 Suppr公司介绍联系我们用户协议隐私条款
关注我们

Suppr 超能文献

核心技术专利:CN118964589B侵权必究
粤ICP备2023148730 号-1Suppr @ 2026

文献检索

告别复杂PubMed语法,用中文像聊天一样搜索,搜遍4000万医学文献。AI智能推荐,让科研检索更轻松。

立即免费搜索

文件翻译

保留排版,准确专业,支持PDF/Word/PPT等文件格式,支持 12+语言互译。

免费翻译文档

深度研究

AI帮你快速写综述,25分钟生成高质量综述,智能提取关键信息,辅助科研写作。

立即免费体验

骨化纤维瘤的回顾性锥形束计算机断层扫描分析。

A retrospective cone beam computed tomography analysis of cemento-osseous dysplasia.

作者信息

Gumru Birsay, Akkitap Melda Pelin, Deveci Sevilay, Idman Ender

机构信息

Department of Oral and Maxillofacial Radiology, Faculty of Dentistry, Marmara University, Istanbul, Turkey.

出版信息

J Dent Sci. 2021 Oct;16(4):1154-1161. doi: 10.1016/j.jds.2021.03.009. Epub 2021 Apr 7.

DOI:10.1016/j.jds.2021.03.009
PMID:34484583
原文链接:https://pmc.ncbi.nlm.nih.gov/articles/PMC8403794/
Abstract

BACKGROUND/PURPOSE: Radiological examination is indispensable in the diagnosis and follow-up of cemento-osseous dysplasia (COD). The aim of this retrospective study was to describe a series of COD cases, identify the frequencies of COD subtypes, and investigate the demographic and radiological characteristics in relation to subtypes.

MATERIALS AND METHODS

Cone beam computed tomography (CBCT) images/reports of patients with a diagnosis of COD were included in the study. The data collected included information on the age, sex, subtype of COD, location of COD, and region involved. Information regarding the internal density, effects on surrounding structures, and presence of concomitant lesions was also collected. The data obtained were evaluated statistically.

RESULTS

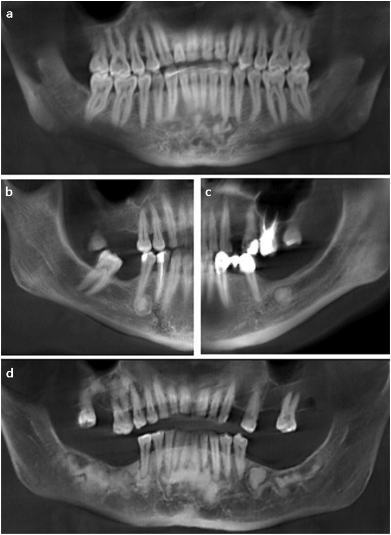
The study group included CBCT images of 142 patients (130 females (91.5%) and 12 males (8.5%)) with a mean age of 46.97 ± 10.57 years. The mandible was involved in almost all cases (99.3%). The most common subtype was florid COD (51.4%) and lesions with hyperdense internal density (81.7%) were more commonly observed. Cortical thinning (78.2%) was a prominent feature. The frequency of root resorption in periapical COD cases (57.1%) was observed to be significantly higher (p < 0.05). All hypercementosis cases were associated with florid subtype (p < 0.05). In a minority of cases (6.3%), the lesions were associated with bone cysts and osteomyelitis.

CONCLUSION

CBCT images clearly demonstrated the effect of COD lesions on surrounding structures. CBCT is an appropriate imaging modality for the diagnosis and follow-up of COD which is the most common fibro-osseous lesion in clinical practice.

摘要

背景/目的:放射学检查在骨化纤维瘤病(COD)的诊断和随访中不可或缺。本回顾性研究的目的是描述一系列COD病例,确定COD亚型的发生率,并研究与亚型相关的人口统计学和放射学特征。

材料与方法

本研究纳入了诊断为COD的患者的锥形束计算机断层扫描(CBCT)图像/报告。收集的数据包括年龄、性别、COD亚型、COD位置和受累区域的信息。还收集了有关内部密度、对周围结构的影响以及伴随病变的存在情况的信息。对获得的数据进行统计学评估。

结果

研究组包括142例患者的CBCT图像(130例女性(91.5%)和12例男性(8.5%)),平均年龄为46.97±10.57岁。几乎所有病例(99.3%)下颌骨均受累。最常见的亚型是弥漫性COD(51.4%),内部密度为高密度的病变(81.7%)更常见。皮质变薄(78.2%)是一个突出特征。根尖周COD病例中牙根吸收的发生率(57.1%)显著更高(p<0.05)。所有牙骨质增生病例均与弥漫性亚型相关(p<0.05)。在少数病例(6.3%)中,病变与骨囊肿和骨髓炎有关。

结论

CBCT图像清楚地显示了COD病变对周围结构的影响。CBCT是临床实践中最常见的纤维-骨病变COD诊断和随访的合适影像学检查方法。

https://cdn.ncbi.nlm.nih.gov/pmc/blobs/be23/8403794/6fb002f90a3a/gr3.jpg
https://cdn.ncbi.nlm.nih.gov/pmc/blobs/be23/8403794/9c5587088b5f/gr1.jpg
https://cdn.ncbi.nlm.nih.gov/pmc/blobs/be23/8403794/0f0c60fe3282/gr2.jpg
https://cdn.ncbi.nlm.nih.gov/pmc/blobs/be23/8403794/6fb002f90a3a/gr3.jpg
https://cdn.ncbi.nlm.nih.gov/pmc/blobs/be23/8403794/9c5587088b5f/gr1.jpg
https://cdn.ncbi.nlm.nih.gov/pmc/blobs/be23/8403794/0f0c60fe3282/gr2.jpg
https://cdn.ncbi.nlm.nih.gov/pmc/blobs/be23/8403794/6fb002f90a3a/gr3.jpg

相似文献

1
A retrospective cone beam computed tomography analysis of cemento-osseous dysplasia.骨化纤维瘤的回顾性锥形束计算机断层扫描分析。
J Dent Sci. 2021 Oct;16(4):1154-1161. doi: 10.1016/j.jds.2021.03.009. Epub 2021 Apr 7.
2
Cone-beam computed tomography analysis of cemento-osseous dysplasia-induced changes in adjacent structures in a Brazilian population.巴西人群中骨-牙骨质发育不良引起的相邻结构改变的锥形束 CT 分析。
Clin Oral Investig. 2020 Aug;24(8):2899-2908. doi: 10.1007/s00784-019-03154-x. Epub 2020 Feb 19.
3
Cemento-Osseous Dysplasias: Imaging Features Based on Cone Beam Computed Tomography Scans.骨水泥发育异常:基于锥形束计算机断层扫描的影像特征
Braz Dent J. 2018 Jan-Feb;29(1):99-104. doi: 10.1590/0103-6440201801621.
4
Differential diagnosis of cemento-osseous dysplasia and periapical cyst using texture analysis of CBCT.应用 CBCT 纹理分析对骨-牙骨质瘤和根尖囊肿进行鉴别诊断。
BMC Oral Health. 2024 Apr 11;24(1):442. doi: 10.1186/s12903-024-04208-7.
5
Radiological follow-up of cemento-osseous dysplasia on cone-beam computed tomography.锥形束计算机断层扫描对骨-骨水泥性发育不良的放射学随访。
J Craniomaxillofac Surg. 2024 May;52(5):644-651. doi: 10.1016/j.jcms.2024.03.008. Epub 2024 Mar 12.
6
Cemento-osseous dysplasia: Clinicopathological spectrum of 10 cases analyzed in a tertiary dental institute.骨水泥发育异常:在一家三级牙科机构分析的10例临床病理谱
J Oral Maxillofac Pathol. 2020 Sep-Dec;24(3):576. doi: 10.4103/jomfp.JOMFP_139_20. Epub 2021 Jan 9.
7
Retrospective radiological analysis of cemento-osseous dysplasia.骨化性纤维瘤的回顾性影像学分析。 (注:原文中“cemento-osseous dysplasia”常见释义为“骨化性纤维瘤” ,但严格来说更准确的是“牙骨质骨发育异常” ,这里按照常见释义翻译)
Dent Med Probl. 2023 Jul-Sep;60(3):393-400. doi: 10.17219/dmp/133405.
8
Cemento-Osseous Dysplasia of the Jaw: Demographic and Clinical Analysis of 191 New Cases.颌骨骨水泥性发育异常:191例新病例的人口统计学和临床分析
Dent J (Basel). 2023 May 19;11(5):138. doi: 10.3390/dj11050138.
9
Osseous (cemento-osseous) dysplasia of the jaws: clinical and radiographic analysis.颌骨骨(骨水泥样骨)发育异常:临床及影像学分析
J Can Dent Assoc. 2011;77:b70.
10
Idiosyncratic Presentation of Cemento-Osseous Dysplasia - An in Depth Analysis Using Cone Beam Computed Tomography.骨水泥发育异常的特殊表现——使用锥形束计算机断层扫描的深入分析
J Clin Diagn Res. 2016 May;10(5):ZD08-10. doi: 10.7860/JCDR/2016/16821.7839. Epub 2016 May 1.

引用本文的文献

1
Clinical characteristics of simple bone cyst associated within florid cemento-osseous dysplasia: a meta-analysis.伴发旺盛性骨化性纤维瘤的单纯性骨囊肿的临床特征:一项荟萃分析。
Med Oral Patol Oral Cir Bucal. 2025 Sep 1;30(5):e709-e720. doi: 10.4317/medoral.27205.
2
Cemento-osseous dysplasia: a multi-centre analysis of surgical management.骨水泥发育异常:手术治疗的多中心分析
Oral Maxillofac Surg. 2025 May 7;29(1):96. doi: 10.1007/s10006-025-01394-8.
3
Periapical cemento-osseous dysplasia masquerading as asymptomatic chronic apical periodontitis in a Chinese woman: A case report.

本文引用的文献

1
Concomitant cemento-osseous dysplasia and aneurysmal bone cyst of the mandible: a rare case report with literature review.下颌骨并存骨水泥-骨瘤样变和动脉瘤样骨囊肿:一例罕见病例报告并文献复习。
BMC Oral Health. 2020 Oct 9;20(1):276. doi: 10.1186/s12903-020-01264-7.
2
A clinicopathologic analysis of 135 cases of cemento-osseous dysplasia: To operate or not to operate?135 例骨-牙骨质发育不良的临床病理分析:是否需要手术?
J Stomatol Oral Maxillofac Surg. 2021 Jun;122(3):278-282. doi: 10.1016/j.jormas.2020.06.002. Epub 2020 Jun 18.
3
A retrospective clinico-pathologic analysis of cemento-osseous dysplasia in a South African patient population.
一名中国女性中伪装为无症状慢性根尖周炎的根尖周牙骨质-骨发育异常:病例报告
Clin Case Rep. 2024 Nov 4;12(11):e9551. doi: 10.1002/ccr3.9551. eCollection 2024 Nov.
4
Simple Bone Cyst Within Florid Cemento-Osseous Dysplasia: A Report of Two Cases.伴发活跃性骨化性纤维瘤病的单纯性骨囊肿:两例报告
Cureus. 2024 Jul 30;16(7):e65803. doi: 10.7759/cureus.65803. eCollection 2024 Jul.
5
Florid cemento-osseous dysplasia: A case report and review of literature.florid cemento-osseous dysplasia: 一例报告并文献复习
Heliyon. 2024 Jun 27;10(14):e33746. doi: 10.1016/j.heliyon.2024.e33746. eCollection 2024 Jul 30.
6
Differential diagnosis of cemento-osseous dysplasia and periapical cyst using texture analysis of CBCT.应用 CBCT 纹理分析对骨-牙骨质瘤和根尖囊肿进行鉴别诊断。
BMC Oral Health. 2024 Apr 11;24(1):442. doi: 10.1186/s12903-024-04208-7.
7
Imaging Characteristics of Embedded Tooth-Associated Cemento-Osseous Dysplasia by Retrospective Study.回顾性研究嵌入牙相关的骨-牙性骨纤维异常增殖症的影像学特征。
Tomography. 2024 Feb 8;10(2):231-242. doi: 10.3390/tomography10020018.
8
Cemento-Osseous Dysplasia of the Jaw: Demographic and Clinical Analysis of 191 New Cases.颌骨骨水泥性发育异常:191例新病例的人口统计学和临床分析
Dent J (Basel). 2023 May 19;11(5):138. doi: 10.3390/dj11050138.
9
Cemento-osseous dysplasia: clinical presentation and symptoms.骨水泥发育异常:临床表现与症状
J Korean Assoc Oral Maxillofac Surg. 2022 Apr 30;48(2):79-84. doi: 10.5125/jkaoms.2022.48.2.79.
南非患者群体中骨水泥发育异常的回顾性临床病理分析
Afr Health Sci. 2019 Dec;19(4):3154-3159. doi: 10.4314/ahs.v19i4.38.
4
Cone-beam computed tomography analysis of cemento-osseous dysplasia-induced changes in adjacent structures in a Brazilian population.巴西人群中骨-牙骨质发育不良引起的相邻结构改变的锥形束 CT 分析。
Clin Oral Investig. 2020 Aug;24(8):2899-2908. doi: 10.1007/s00784-019-03154-x. Epub 2020 Feb 19.
5
Difficulties in the diagnosis of periapical translucencies and in the classification of cemento-osseous dysplasia.根尖透光区诊断困难及骨-牙骨质发育不良分类困难。
BMC Oral Health. 2019 Jul 10;19(1):139. doi: 10.1186/s12903-019-0843-0.
6
Infected Cemento-Osseous Dysplasia: Analysis of 66 Cases and Literature Review.感染性骨化性纤维瘤:66例分析及文献综述。
Head Neck Pathol. 2020 Mar;14(1):173-182. doi: 10.1007/s12105-019-01037-x. Epub 2019 Apr 22.
7
Benign Fibro-Osseous Lesions of the Head and Neck.头颈部良性纤维-骨病变
Head Neck Pathol. 2019 Sep;13(3):466-475. doi: 10.1007/s12105-018-0992-5. Epub 2019 Mar 18.
8
Retrospective Study of 383 Cases of Fibro-Osseous Lesions of the Jaws.383例颌骨纤维骨性病变的回顾性研究
J Oral Maxillofac Surg. 2018 Nov;76(11):2348-2359. doi: 10.1016/j.joms.2018.04.037. Epub 2018 May 10.
9
Cemento-Osseous Dysplasias: Imaging Features Based on Cone Beam Computed Tomography Scans.骨水泥发育异常:基于锥形束计算机断层扫描的影像特征
Braz Dent J. 2018 Jan-Feb;29(1):99-104. doi: 10.1590/0103-6440201801621.
10
Clinical, demographic, and radiographic analysis of 82 patients affected by florid osseous dysplasia: an international collaborative study.82例 florid骨发育异常患者的临床、人口统计学和影像学分析:一项国际合作研究。
Oral Surg Oral Med Oral Pathol Oral Radiol. 2016 Aug;122(2):250-7. doi: 10.1016/j.oooo.2016.04.013. Epub 2016 May 12.