• 文献检索
  • 文档翻译
  • 深度研究
  • 学术资讯
  • Suppr Zotero 插件Zotero 插件
  • 邀请有礼
  • 套餐&价格
  • 历史记录
应用&插件
Suppr Zotero 插件Zotero 插件浏览器插件Mac 客户端Windows 客户端微信小程序
定价
高级版会员购买积分包购买API积分包
服务
文献检索文档翻译深度研究API 文档MCP 服务
关于我们
关于 Suppr公司介绍联系我们用户协议隐私条款
关注我们

Suppr 超能文献

核心技术专利:CN118964589B侵权必究
粤ICP备2023148730 号-1Suppr @ 2026

文献检索

告别复杂PubMed语法,用中文像聊天一样搜索,搜遍4000万医学文献。AI智能推荐,让科研检索更轻松。

立即免费搜索

文件翻译

保留排版,准确专业,支持PDF/Word/PPT等文件格式,支持 12+语言互译。

免费翻译文档

深度研究

AI帮你快速写综述,25分钟生成高质量综述,智能提取关键信息,辅助科研写作。

立即免费体验

病例报告:观察等待?一例反肩关节置换术中球盂假体不完全就位并自发复位的病例

Case Report: Watching and Waiting? A Case of Incomplete Glenosphere Seating With Spontaneous Reversal in Reverse Shoulder Arthroplasty.

作者信息

MacAskill Micah L, Thomas Rachel J, Barnes Leslie A

机构信息

Lewis Katz School of Medicine, Temple University, Philadelphia, Pennsylvania.

Department of Orthopaedic Surgery and Sports Medicine, Lewis Katz School of Medicine at Temple University, Philadelphia, Pennsylvania.

出版信息

J Shoulder Elb Arthroplast. 2020 Aug 27;4:2471549220949147. doi: 10.1177/2471549220949147. eCollection 2020.

DOI:10.1177/2471549220949147
PMID:34497962
原文链接:https://pmc.ncbi.nlm.nih.gov/articles/PMC8282145/
Abstract

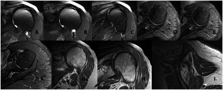
Reverse shoulder arthroplasty is a useful procedure with broadening applications, but it has the best outcomes when used for rotator cuff tear arthropathy. However, this procedure is not without complications. While scapular notching and aseptic loosening are more common complications that have been extensively studied in the literature, dissociation of the glenoid component and incomplete glenosphere seating has not received much attention. Specifically, little research has explored appropriate management of incomplete seating of the glenosphere component, and no gold standard for treatment of this complication has emerged. In the case described here, an elderly patient with an incompletely seated glenosphere component post-operatively opted to pursue conservative management in order to avoid revision surgery if possible. The partially engaged, superiorly directed components in this case exhibited spontaneous complete and symmetric seating of the glenosphere between six and twelve months post-operatively, indicating that conservative management of this complication in low-demand patients may be a viable option to avoid the risks associated with revision surgery. Further research should be pursued to explore what patient and prosthesis design factors may be suited to observation with serial radiographs when incomplete seating of the glenosphere component occurs.

摘要

反肩关节置换术是一种应用日益广泛的有效手术,但用于肩袖撕裂性关节病时效果最佳。然而,该手术并非没有并发症。虽然肩胛切迹和无菌性松动是文献中已广泛研究的较常见并发症,但关节盂组件分离和关节盂球窝不完全就位并未受到太多关注。具体而言,很少有研究探讨关节盂球窝组件不完全就位的适当处理方法,且尚未出现治疗该并发症的金标准。在此所述病例中,一名老年患者术后关节盂球窝组件就位不完全,为尽可能避免翻修手术,选择采取保守治疗。该病例中部分嵌入、向上指向的组件在术后6至12个月内关节盂球窝自发完全且对称就位,表明对需求较低的患者的这种并发症采取保守治疗可能是避免翻修手术相关风险的可行选择。应进一步开展研究,以探索当关节盂球窝组件不完全就位时,哪些患者和假体设计因素可能适合通过系列X线片进行观察。

https://cdn.ncbi.nlm.nih.gov/pmc/blobs/80e9/8282145/aaac9fd73a6d/10.1177_2471549220949147-fig5.jpg
https://cdn.ncbi.nlm.nih.gov/pmc/blobs/80e9/8282145/bc643f0bf2b6/10.1177_2471549220949147-fig1.jpg
https://cdn.ncbi.nlm.nih.gov/pmc/blobs/80e9/8282145/21cc8b82dfb0/10.1177_2471549220949147-fig2.jpg
https://cdn.ncbi.nlm.nih.gov/pmc/blobs/80e9/8282145/3a450852ae22/10.1177_2471549220949147-fig3.jpg
https://cdn.ncbi.nlm.nih.gov/pmc/blobs/80e9/8282145/379d6474f6f0/10.1177_2471549220949147-fig4.jpg
https://cdn.ncbi.nlm.nih.gov/pmc/blobs/80e9/8282145/aaac9fd73a6d/10.1177_2471549220949147-fig5.jpg
https://cdn.ncbi.nlm.nih.gov/pmc/blobs/80e9/8282145/bc643f0bf2b6/10.1177_2471549220949147-fig1.jpg
https://cdn.ncbi.nlm.nih.gov/pmc/blobs/80e9/8282145/21cc8b82dfb0/10.1177_2471549220949147-fig2.jpg
https://cdn.ncbi.nlm.nih.gov/pmc/blobs/80e9/8282145/3a450852ae22/10.1177_2471549220949147-fig3.jpg
https://cdn.ncbi.nlm.nih.gov/pmc/blobs/80e9/8282145/379d6474f6f0/10.1177_2471549220949147-fig4.jpg
https://cdn.ncbi.nlm.nih.gov/pmc/blobs/80e9/8282145/aaac9fd73a6d/10.1177_2471549220949147-fig5.jpg

相似文献

1
Case Report: Watching and Waiting? A Case of Incomplete Glenosphere Seating With Spontaneous Reversal in Reverse Shoulder Arthroplasty.病例报告:观察等待?一例反肩关节置换术中球盂假体不完全就位并自发复位的病例
J Shoulder Elb Arthroplast. 2020 Aug 27;4:2471549220949147. doi: 10.1177/2471549220949147. eCollection 2020.
2
Short and midterm results of reverse shoulder arthroplasty according to the preoperative etiology.根据术前病因的反肩置换术的短期和中期结果。
Arch Orthop Trauma Surg. 2013 Apr;133(4):463-71. doi: 10.1007/s00402-013-1688-7. Epub 2013 Feb 6.
3
Glenosphere disengagement in a reverse total shoulder arthroplasty with a non-Morse taper design.非莫氏锥度设计的反向全肩关节置换术中的球窝关节脱位
Int Orthop. 2015 Feb;39(2):305-8. doi: 10.1007/s00264-014-2653-y. Epub 2015 Jan 21.
4
Comparison of Clinical and Radiological Results according to Glenosphere Position in Reverse Total Shoulder Arthroplasty: A Short-term Follow-up Study.根据反式全肩关节置换术中Glenosphere位置比较临床和影像学结果:一项短期随访研究
Clin Orthop Surg. 2017 Mar;9(1):83-90. doi: 10.4055/cios.2017.9.1.83. Epub 2017 Feb 13.
5
Bony increased-offset-reverse shoulder arthroplasty: 5 to 10 years' follow-up.骨增强型反向肩关节置换术:5 至 10 年随访结果。
J Shoulder Elbow Surg. 2020 Oct;29(10):2111-2122. doi: 10.1016/j.jse.2020.02.008. Epub 2020 Jun 4.
6
Predictors of scapular notching in patients managed with the Delta III reverse total shoulder replacement.采用Delta III型反向全肩关节置换术治疗的患者肩胛切迹的预测因素。
J Bone Joint Surg Am. 2007 Mar;89(3):588-600. doi: 10.2106/JBJS.F.00226.
7
The effect of glenosphere lateralization and inferiorization on deltoid force in reverse total shoulder arthroplasty.在反式全肩关节置换术中,肱骨头外侧化和下移对三角肌力的影响。
J Shoulder Elbow Surg. 2021 Aug;30(8):1817-1826. doi: 10.1016/j.jse.2020.10.038. Epub 2020 Dec 5.
8
A comparison of concentric and eccentric glenospheres in reverse shoulder arthroplasty: a randomized controlled trial.反向肩关节置换术中同心与偏心肱骨头假体的比较:一项随机对照试验。
J Bone Joint Surg Am. 2014 Aug 20;96(16):e138. doi: 10.2106/JBJS.M.00941.
9
Optimizing glenosphere position and fixation in reverse shoulder arthroplasty, Part One: The twelve-mm rule.反向肩关节置换术中优化球盂假体位置及固定,第一部分:12毫米规则
J Shoulder Elbow Surg. 2008 Jul-Aug;17(4):589-94. doi: 10.1016/j.jse.2007.08.013.
10
Evaluation of the role of glenosphere design and humeral component retroversion in avoiding scapular notching during reverse shoulder arthroplasty.评估在反式肩关节置换术中避免肩胛骨切迹时球窝设计和肱骨组件后倾的作用。
J Shoulder Elbow Surg. 2014 Feb;23(2):151-8. doi: 10.1016/j.jse.2013.05.009. Epub 2013 Jul 12.

引用本文的文献

1
An Unusual Case of Onlay Reverse Shoulder Arthroplasty Disassembly Due to Cement Interposition. A Case Report.一例因骨水泥嵌入导致的覆盖式反肩关节置换术假体松动的罕见病例。病例报告。
J Orthop Case Rep. 2023 Nov;13(11):75-79. doi: 10.13107/jocr.2023.v13.i11.4012.

本文引用的文献

1
Glenoid loosening and migration in reverse shoulder arthroplasty.肩袖反向关节成形术中的肩胛盂松动和迁移。
Bone Joint J. 2019 Apr;101-B(4):461-469. doi: 10.1302/0301-620X.101B4.BJJ-2018-1275.R1.
2
Instability after reverse total shoulder arthroplasty.反式全肩关节置换术后不稳定。
J Shoulder Elbow Surg. 2018 Nov;27(11):1946-1952. doi: 10.1016/j.jse.2018.04.015. Epub 2018 Jun 19.
3
Analysis of 4063 complications of shoulder arthroplasty reported to the US Food and Drug Administration from 2012 to 2016.2012 年至 2016 年向美国食品和药物管理局报告的 4063 例肩关节置换术并发症分析。
J Shoulder Elbow Surg. 2018 Nov;27(11):1978-1986. doi: 10.1016/j.jse.2018.03.025. Epub 2018 May 11.
4
Reverse total shoulder arthroplasty.反式全肩关节置换术
EFORT Open Rev. 2018 Feb 28;3(2):58-69. doi: 10.1302/2058-5241.3.170044. eCollection 2018 Feb.
5
Complications in reverse shoulder arthroplasty.反式肩关节置换术的并发症
EFORT Open Rev. 2017 Mar 13;1(3):72-80. doi: 10.1302/2058-5241.1.160003. eCollection 2016 Mar.
6
A Critical Review on Prosthetic Features Available for Reversed Total Shoulder Arthroplasty.关于反向全肩关节置换术可用假体特征的批判性综述。
Biomed Res Int. 2016;2016:3256931. doi: 10.1155/2016/3256931. Epub 2016 Dec 25.
7
Glenoid baseplate fixation using hybrid configurations of locked and unlocked peripheral screws.使用锁定和非锁定周边螺钉的混合配置进行肩胛盂基板固定。
J Orthop Traumatol. 2017 Sep;18(3):221-228. doi: 10.1007/s10195-016-0438-3. Epub 2017 Jan 11.
8
Influence of glenosphere design and material on clinical outcomes of reverse total shoulder arthroplasty.球窝关节假体设计与材料对反式全肩关节置换术临床疗效的影响。
Shoulder Elbow. 2014 Jul;6(3):156-64. doi: 10.1177/1758573214535574. Epub 2014 Jun 17.
9
Current Controversies in Reverse Total Shoulder Arthroplasty.反向全肩关节置换术的当前争议
JBJS Rev. 2016 Jun 14;4(6). doi: 10.2106/JBJS.RVW.15.00070.
10
A nondestructive method to verify the glenosphere-baseplate assembly in reverse shoulder arthroplasty.一种用于验证反肩关节置换术中球窝与基板组件的无损方法。
J Shoulder Elbow Surg. 2016 Jun;25(6):e156-65. doi: 10.1016/j.jse.2016.01.021. Epub 2016 Apr 11.