• 文献检索
  • 文档翻译
  • 深度研究
  • 学术资讯
  • Suppr Zotero 插件Zotero 插件
  • 邀请有礼
  • 套餐&价格
  • 历史记录
应用&插件
Suppr Zotero 插件Zotero 插件浏览器插件Mac 客户端Windows 客户端微信小程序
定价
高级版会员购买积分包购买API积分包
服务
文献检索文档翻译深度研究API 文档MCP 服务
关于我们
关于 Suppr公司介绍联系我们用户协议隐私条款
关注我们

Suppr 超能文献

核心技术专利:CN118964589B侵权必究
粤ICP备2023148730 号-1Suppr @ 2026

文献检索

告别复杂PubMed语法,用中文像聊天一样搜索,搜遍4000万医学文献。AI智能推荐,让科研检索更轻松。

立即免费搜索

文件翻译

保留排版,准确专业,支持PDF/Word/PPT等文件格式,支持 12+语言互译。

免费翻译文档

深度研究

AI帮你快速写综述,25分钟生成高质量综述,智能提取关键信息,辅助科研写作。

立即免费体验

逆行胰空肠吻合术治疗慢性胰腺炎和感染性胰腺囊肿的成功病例报告

Successful outcome of retrograde pancreatojejunostomy for chronic pancreatitis and infected pancreatic cysts: A case report.

作者信息

Kimura Koichi, Adachi Eisuke, Toyohara Ayako, Omori Sachie, Ezaki Kaoru, Ihara Ryo, Higashi Takahiro, Ohgaki Kippei, Ito Shuhei, Maehara Shin-Ichiro, Nakamura Toshihiko, Maehara Yoshihiko

机构信息

Department of Surgery, Kyushu Central Hospital of the Mutual Aid Association of Public School Teachers, Fukuoka 815-8588, Japan.

Department of Internal Medicine, Kyushu Central Hospital of the Mutual Aid Association of Public School Teachers, Fukuoka 815-8588, Japan.

出版信息

World J Clin Cases. 2021 Aug 26;9(24):7224-7230. doi: 10.12998/wjcc.v9.i24.7224.

DOI:10.12998/wjcc.v9.i24.7224
PMID:34540982
原文链接:https://pmc.ncbi.nlm.nih.gov/articles/PMC8409187/
Abstract

BACKGROUND

Chronic pancreatitis occasionally requires surgical treatment that can be performed with various techniques. Often, this type of surgery presents with postoperative complications. We report a case of a successful retrograde pancreatojejunostomy for chronic pancreatitis and infected pancreatic cysts.

CASE SUMMARY

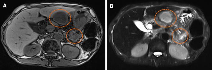
A 62-year-old male with a 10-year history of chronic pancreatitis presented with epigastric pain for one week and a 20 kg weight loss over one year. Computed tomography showed stones in the pancreas (mainly the head), expansion of the main pancreatic duct, and thinning of the pancreatic parenchyma. Magnetic resonance imaging showed infected pancreatic cysts connected to the stomach with a fistula from the splenic hilum to the caudal portion of the liver's lateral segment. An endoscopic retrograde pancreatography was performed; the guide wires could not pass through the stones in the pancreas and therefore, drainage of the main pancreatic duct was not achieved. Next, a distal pancreatomy and splenectomy were performed; however, the pancreatic juice in the remaining parenchyma was blocked by the stones. Hence, we performed a retrograde pancreatojejunostomy and Roux-en-Y anastomosis. The patient had no postoperative complications and was discharged from the hospital on postoperative day 14.

CONCLUSION

A distal pancreatomy, retrograde pancreatojejunostomy, and Roux-en-Y anastomosis could be an effective surgical procedure for intractable chronic pancreatitis.

摘要

背景

慢性胰腺炎偶尔需要手术治疗,可采用多种技术进行。这类手术术后常出现并发症。我们报告一例慢性胰腺炎合并感染性胰腺囊肿逆行胰空肠吻合术成功的病例。

病例摘要

一名62岁男性,有10年慢性胰腺炎病史,出现上腹部疼痛1周,1年内体重减轻20公斤。计算机断层扫描显示胰腺(主要是头部)有结石,主胰管扩张,胰腺实质变薄。磁共振成像显示感染性胰腺囊肿与胃相连,脾门至肝外侧段尾状部有瘘管。进行了内镜逆行胰胆管造影;导丝无法穿过胰腺内的结石,因此未实现主胰管引流。接下来,进行了胰体尾切除术和脾切除术;然而,剩余实质内的胰液被结石阻塞。因此,我们进行了逆行胰空肠吻合术和Roux-en-Y吻合术。患者术后无并发症,术后第14天出院。

结论

胰体尾切除术、逆行胰空肠吻合术和Roux-en-Y吻合术可能是治疗难治性慢性胰腺炎的有效手术方法。

https://cdn.ncbi.nlm.nih.gov/pmc/blobs/8507/8409187/7162f0e94b1d/WJCC-9-7224-g004.jpg
https://cdn.ncbi.nlm.nih.gov/pmc/blobs/8507/8409187/5b8cbd56f412/WJCC-9-7224-g001.jpg
https://cdn.ncbi.nlm.nih.gov/pmc/blobs/8507/8409187/360108744bb1/WJCC-9-7224-g002.jpg
https://cdn.ncbi.nlm.nih.gov/pmc/blobs/8507/8409187/5e67a6fe15f2/WJCC-9-7224-g003.jpg
https://cdn.ncbi.nlm.nih.gov/pmc/blobs/8507/8409187/7162f0e94b1d/WJCC-9-7224-g004.jpg
https://cdn.ncbi.nlm.nih.gov/pmc/blobs/8507/8409187/5b8cbd56f412/WJCC-9-7224-g001.jpg
https://cdn.ncbi.nlm.nih.gov/pmc/blobs/8507/8409187/360108744bb1/WJCC-9-7224-g002.jpg
https://cdn.ncbi.nlm.nih.gov/pmc/blobs/8507/8409187/5e67a6fe15f2/WJCC-9-7224-g003.jpg
https://cdn.ncbi.nlm.nih.gov/pmc/blobs/8507/8409187/7162f0e94b1d/WJCC-9-7224-g004.jpg

相似文献

1
Successful outcome of retrograde pancreatojejunostomy for chronic pancreatitis and infected pancreatic cysts: A case report.逆行胰空肠吻合术治疗慢性胰腺炎和感染性胰腺囊肿的成功病例报告
World J Clin Cases. 2021 Aug 26;9(24):7224-7230. doi: 10.12998/wjcc.v9.i24.7224.
2
Combined Puestow and choledocoduodenostomy for concomitant large pancreatic duct and primary choledochal stones: A case series.联合普斯托手术和胆总管十二指肠吻合术治疗合并大胰管结石和原发性胆总管结石:病例系列
Int J Surg Case Rep. 2018;53:322-326. doi: 10.1016/j.ijscr.2018.10.051. Epub 2018 Nov 12.
3
Evolving Technique for Puestow-Type Procedure for Chronic Pancreatitis: The Combined Roux-en-Y Proximal End-to-Side and Distal Longitudinal Pancreatojejunostomy.Puestow 型手术治疗慢性胰腺炎技术演变:Roux-en-Y 近端端侧吻合联合远端纵向胰肠吻合术。
Am J Case Rep. 2024 Jan 20;25:e942066. doi: 10.12659/AJCR.942066.
4
Laparoscopic pancreatic duct exploration, electrohydraulic shock wave lithotripsy combined with internal drainage for pancreatic duct stones: A case report.腹腔镜胰管探查、体外冲击波碎石联合内引流治疗胰管结石:1例报告
Int J Surg Case Rep. 2023 May;106:108190. doi: 10.1016/j.ijscr.2023.108190. Epub 2023 Apr 13.
5
Long-term results of pancreatojejunostomy in patients with chronic pancreatitis.慢性胰腺炎患者胰空肠吻合术的长期结果
Am J Surg. 1987 Feb;153(2):207-13. doi: 10.1016/0002-9610(87)90816-6.
6
Failure of percutaneous catheter drainage of pancreatic pseudocyst.经皮胰腺假性囊肿导管引流失败。
Am Surg. 2000 Mar;66(3):256-61.
7
[Pancreatojejunostomy in pancreatic head resection using a resorbable monofilament for internal drainage of the anastomosis - clinical experience and perioperative results].[使用可吸收单丝进行胰头切除术中胰肠吻合术以实现吻合口内引流——临床经验及围手术期结果]
Zentralbl Chir. 2012 Dec;137(6):575-9. doi: 10.1055/s-0032-1327843. Epub 2012 Dec 21.
8
Obstructing pseudocyst of the duct of Santorini in pancreas divisum.胰腺分裂症中桑托里尼管阻塞性假性囊肿
Am J Gastroenterol. 1987 Mar;82(3):258-61.
9
Surgery in tropical pancreatitis.
Br J Surg. 1988 Feb;75(2):161-4. doi: 10.1002/bjs.1800750225.
10
Parenchyma Preserving Surgery for Idiopathic Chronic Calcific Pancreatitis in Children: A Report of Three Cases.儿童特发性慢性钙化性胰腺炎的实质保留手术:三例报告
J Pancreat Cancer. 2019 Oct 3;5(1):51-57. doi: 10.1089/pancan.2019.0008. eCollection 2019.

本文引用的文献

1
Pancreatic abscess within hepato-gastric ligament: case report of an extremely rare disease.肝胃韧带内胰腺脓肿:一种极其罕见疾病的病例报告
BMC Surg. 2020 Jan 30;20(1):20. doi: 10.1186/s12893-020-0688-0.
2
Efficacy and safety of acupuncture as an adjuvant treatment for acute pancreatitis: a protocol of systematic review and meta-analysis.针灸作为急性胰腺炎辅助治疗的疗效和安全性:系统评价和荟萃分析方案。
BMJ Open. 2019 Jul 4;9(7):e029327. doi: 10.1136/bmjopen-2019-029327.
3
Anterograde Endoscopic Ultrasound-Guided Pancreatic Duct Drainage: A Technical Review.
经内镜超声引导下胰管引流术:技术综述。
Dig Dis Sci. 2019 Jul;64(7):1770-1781. doi: 10.1007/s10620-019-05495-9. Epub 2019 Feb 7.
4
Modified Blumgart Mattress Suture Versus Conventional Interrupted Suture in Pancreaticojejunostomy During Pancreaticoduodenectomy: Randomized Controlled Trial.改良 Blumgart 褥式缝合与胰十二指肠切除术中胰肠吻合的传统间断缝合的比较:随机对照试验。
Ann Surg. 2019 Feb;269(2):243-251. doi: 10.1097/SLA.0000000000002802.
5
Treatment options for chronic pancreatitis.慢性胰腺炎的治疗选择。
Nat Rev Gastroenterol Hepatol. 2014 Sep;11(9):556-64. doi: 10.1038/nrgastro.2014.74. Epub 2014 Jun 10.
6
Pregabalin reduces pain in patients with chronic pancreatitis in a randomized, controlled trial.在一项随机对照试验中,普瑞巴林可减轻慢性胰腺炎患者的疼痛。
Gastroenterology. 2011 Aug;141(2):536-43. doi: 10.1053/j.gastro.2011.04.003. Epub 2011 Apr 14.
7
Long-term follow-up of a randomized trial comparing the beger and frey procedures for patients suffering from chronic pancreatitis.一项比较Beger手术和Frey手术治疗慢性胰腺炎患者的随机试验的长期随访
Ann Surg. 2005 Apr;241(4):591-8. doi: 10.1097/01.sla.0000157268.78543.03.
8
A prospective, randomized trial comparing endoscopic and surgical therapy for chronic pancreatitis.一项比较内镜治疗与手术治疗慢性胰腺炎的前瞻性随机试验。
Endoscopy. 2003 Jul;35(7):553-8. doi: 10.1055/s-2003-40237.
9
Endoscopic treatment of chronic pancreatitis: a multicenter study of 1000 patients with long-term follow-up.慢性胰腺炎的内镜治疗:一项对1000例患者进行长期随访的多中心研究。
Endoscopy. 2002 Oct;34(10):765-71. doi: 10.1055/s-2002-34256.
10
Lateral pancreatojejunostomy in the surgical management of chronic pancreatitis. Current concepts and future perspectives.
Dig Liver Dis. 2001 Mar;33(2):187-91. doi: 10.1016/s1590-8658(01)80076-1.